Архивы за месяц Август, 2025

Уртикарный васкулит: проявления и лечение

Крапивный васкулит — заболевание, характеризующееся воспалением стенок капилляров и мелких сосудов (в редких случаях поражаются вены, артерии и т. д.). Клиническое проявление патологии — уремическая сыпь на коже (толстые волдыри, папулы, геморрагическая сыпь, узелки, часто «сросшиеся» между собой). Почему возникает это заболевание? Основными причинами возникновения данной патологии являются: Аллергические реакции (на продукты, бытовую химию, лекарства …

Инструкция по применению Нифуроксазида при кишечных инфекциях

Большинство пищеварительных органов обусловлены развитием вредных микроорганизмов, которые разрушают микрофлору и предотвращают правильное функционирование органов. Чтобы облегчить неприятные симптомы, используются специальные антибактериальные препараты. Должен быть нифуроксид для таких лекарств. Инструкции по использованию нифуроксазида содержит рекомендации для использования, но для достижения видимых результатов специалист по консультациям. Форма выпуска и состав Лечебный продукт антибактериального типа вырабатывается в …

Магнитно-резонансная томография спинного мозга: снимки с контрастом

МРТ спинного мозга — информативный и безопасный метод поиска причины неврологических симптомов. На снимках показаны последствия травм, опухолей, метастазов, давления грыжами и позвонками, наличие полостей и других возможных патологий. Ограничения теста небольшие, их можно проводить даже детям и беременным в 2-3 триместре, не беспокоясь об их здоровье. Основы анатомии и физиологии спинного мозга для понимания …

Сотрясение мозга – настолько ли безобидно, как кажется?

Сотрясение мозга считается легкой закрытой травмой головы (CBI), которая диагностируется чаще, чем другие травмы. Сотрясение мозга само по себе не угрожает жизни или здоровью, если его правильно лечить и соблюдать рекомендованный режим, но иногда после травмы возникают нежелательные последствия в виде различных неприятных симптомов. Последствия сотрясения мозга могут проявиться только через несколько лет, что значительно …

Влияние окружающей среды на здоровье детей: ключевые факторы и советы

В современном мире тема здоровья детей становится все более актуальной и волнующей родителей, педагогов и врачей. Мы живём в обществе, где качество воздуха, условия дома, школьная среда и даже уровень шума – всё это напрямую влияет на развитие и самочувствие маленьких людей. Понимать, как именно окружающая среда влияет на здоровье наших детей, — значит делать …

Причины, симптомы и лечение микобактериоза легких

Микобактериоз легких — это воспаление легочной ткани с изменениями структуры и функции органа, вызванное атипичными (нетуберкулезными) микобактериями. Недостаточная информация о возбудителе и отсутствие чувствительных методов диагностики ограничивают возможность точного отслеживания распространенности этого заболевания среди населения. Этот патоген все чаще выявляется у людей, инфицированных ВИЧ. Как выглядит микобактериоз легких клинически? Как это можно обнаружить и лечить? …

Ожоговый шок

Ожоговый шок — это реакция организма на сильное термическое повреждение кожи. Такое патологическое состояние требует оперативного медицинского вмешательства, чтобы избежать необратимых последствий. Причины появления ожогового шока Шоковое состояние у человека может наступить при получении от 15-20% ожоговых травм. Ожоговый шок у детей и пожилых людей встречается с меньшей частотой — 50-10% всей поверхности кожи. Особенность …

Проба Манту и Диаскинтест

Туберкулез — серьезная социальная проблема во всем мире. Основная задача фитозиатров — создание новых высокоэффективных методов профилактики и раннего выявления заболевания. Иммунодиагностика в настоящее время является лучшим методом скрининга для массового выявления людей, инфицированных возбудителями туберкулеза. Проба Манту (не вакцина!) И нетуберкулезный диацинтест широко используются в практике фитосирации. Описание Туберкулиновая диагностика началась в 1907 году, …

Особенности течения и терапии острого бронхиолита

Среди многих заболеваний дыхательной системы острый бронхит занимает ключевое место. Эта патология чаще всего встречается у детей до 9 месяцев и у пожилых людей из-за нестабильного функционирования иммунной системы. Сезонный пик заболеваемости в нашей стране приходится на холодное время года (с октября по март). Общая информация Острый бронхит — респираторное заболевание, сопровождающееся воспалением мелких бронхов …

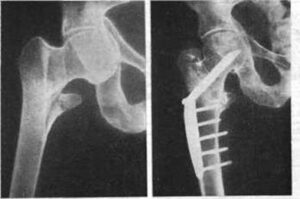
Ложный сустав после перелома шейки бедра или голени

Псевдосустав после перелома — одна из самых частых и сложных патологий. В данном случае мы имеем дело с костной мозолью, которая не имеет четких границ. Это явление может сопровождать переломы любых суставов. Однако чаще всего псевдосустав возникает при травмах голени и переломах бедра. Причины образования ложного сустава Основная причина образования псевдосустава — ненадежная фиксация сломанных …