Рубрика «Полезная информация»

Анализ на пролактин: оптимальный период сдачи крови для женщин

Анализ на пролактин является неотъемлемой частью обследования женщин, особенно в случае подозрения на гормональные нарушения. Пролактин – гормон передней доли гипофиза, который играет важную роль в регуляции функции половых органов и лактации. Обычно, у женщин уровень пролактина может меняться в течение дня. Максимальный пик приходится на утренние часы, а минимальные значения наблюдаются ночью. Поэтому лучшее …

Дэп 1, 2 и 3 степени: определение, симптомы и лечение

Сосудистые заболевания, особенно когда они поражают головной мозг, могут привести к осложнениям, включая деменцию и инсульт. Важно вовремя отследить первые тревожные симптомы и начать квалифицированное лечение под наблюдением врача. Определение ДЭП Дисмеребральная энцефалопатия (ДЭП) диагностируется при множественных изменениях ткани головного мозга, обусловленных хроническими нарушениями мозгового кровообращения. Причины Ученые выяснили, какие состояния влияют на развитие дислексической …

Можно ли принимать Смекту при запоре у взрослых пациентов?

Смекта при запорах помогает облегчить симптомы, выводит избыток болезнетворных микроорганизмов, аллергенов и токсинов. Действующее вещество создает защитный, обволакивающий слой на слизистой оболочке желудка, очищает кишечник. Препарат не предназначен для самолечения. Перед приемом проконсультируйтесь с врачом. Диосмектит стабилизирует слизистую оболочку и избирательно влияет на всасывание. Активный компонент поглощает только токсические вещества, сохраняет полезную микрофлору, необходимые витамины, …

Ингаляции при сухом кашле

Врачи советуют соблюдать осторожность при использовании антибиотиков и противовоспалительных препаратов. Эти препараты имеют внушительный список побочных эффектов и назначаются только в крайнем случае (при остром развитии инфекционного поражения). Хорошей альтернативой классической фармакотерапии являются ингаляции при сухом кашле. Можно использовать небулайзер или воспользоваться народными рецептами (вдыхание паров трав). Когда лечение паром актуально Ингаляции при сухом кашле …

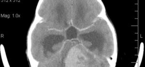
Медуллобластома: что это такое, симптомы, лечение, прогноз

Что такое медуллобластомы? Медуллобластома — наиболее частая злокачественная опухоль головного мозга у детей. Медуллобластомы по определению возникают в мозжечке, части головного мозга у основания черепа, чуть выше ствола мозга. Мозжечок участвует во многих функциях, включая координацию произвольных движений (например, ходьба, мелкая моторика) и регуляцию равновесия и позы. Медуллобластомы возникают из примитивных, неразвитых клеток головного мозга. …

Трава манжетка для лечения сахарного диабета

Если состояние представляет собой хроническую гипергликемию (высокий уровень сахара в крови), вызванную недостаточной выработкой инсулина поджелудочной железой или изменением его воздействия на клетки и ткани организма, то это называется диабетом. Различают несколько видов патологического состояния. Первый тип характеризуется дефицитом гормонов, возникает в результате генетической предрасположенности, часто связан с аутоиммунными процессами. Второй тип диабета вызывается ожирением, …

Бляшки на члене: причины и лечение атеросклероза полового члена

Человеческий пенис имеет много капилляров и кровеносных сосудов. Кровяная циркуляция полового члена нарушена, что приводит к снижению потенции. Атеросклероз может быть одним из ключевых факторов этой патологии. Атеросклероз всегда считался болезнью пожилых людей. К сожалению, Всемирная организация здравоохранения показывает, что число пациентов с этой коварной болезнью от тридцати до тридцати пятен увеличивается. Механизм возникновения заболевания …

Понятие, причины перинатальной энцефалопатии, актуальные вопросы диагностики и лечения

Перинатальная энцефалопатия (PEEP) — ​​поражение головного мозга новорожденного на стадии внутриутробного формирования, во время родов и в течение первой недели жизни. Этиологические причины поражения мозговой ткани могут быть различными. Поражение головного мозга может быть вызвано гипоксией (дефицитом кислорода) внутриутробно или во время родов (напряжение матки, затяжные роды), повышенным уровнем билирубина, циркулирующим в крови матери алкоголем …

Зуд в носу — причины жжения и частого чихания

Зуд в носу – симптом заболевания, доставляющего сильный дискомфорт. Часто сопровождается частым чиханием и насморком. Есть много факторов, которые могут вызвать этот дискомфорт. Когда это происходит, у человека возникает непреодолимое желание потереть нос, чтобы облегчить дискомфорт. Однако этих мер недостаточно для решения проблемы. Для устранения симптома заболевания необходимо пройти грамотное лечение, цель которого – устранение …

Признаки наличия бычьего цепня в человеке

Тениаринхоз, т.е. наличие в организме человека паразитарной формы жизни, которой является бычий цепень (невооруженный), представляет собой заболевание, поражающее пищеварительную систему своего хозяина. Червь паразитирует в полости тонкой кишки и питается питательными веществами, поступающими в хозяина червя с пищей. Источником яиц паразита является сырое мясо, в котором в основном собирается львиная доля личинок, готовых заразить пищеварительный …