
Что такое медуллобластомы?
Медуллобластома — наиболее частая злокачественная опухоль головного мозга у детей. Медуллобластомы по определению возникают в мозжечке, части головного мозга у основания черепа, чуть выше ствола мозга. Мозжечок участвует во многих функциях, включая координацию произвольных движений (например, ходьба, мелкая моторика) и регуляцию равновесия и позы.
Медуллобластомы возникают из примитивных, неразвитых клеток головного мозга. Большинство медуллобластом возникают у младенцев и детей. Реже эти опухоли могут развиваться и у взрослых. Симптомы, связанные с медуллобластомой, включают утренние головные боли, усиливающиеся в течение дня, прерывистую рвоту, трудности при ходьбе и нарушении равновесия. Медуллобластома может распространиться на другие отделы центральной нервной системы. Точная причина медуллобластомы неизвестна.
Признаки и симптомы
Конкретные симптомы, связанные с медуллобластомой, будут варьироваться от человека к человеку в зависимости от точного местоположения и размера медуллобластомы, а также от того, распространилась ли опухоль на другие области. Пострадавшие люди могут не иметь всех симптомов, описанных ниже. Пострадавшие люди должны поговорить со своим врачом и медицинской бригадой о своем конкретном случае, сопутствующих симптомах и общем прогнозе.
Симптомы медуллобластомы обычно возникают из-за повышенного внутричерепного давления (внутричерепного давления). Медуллобластомы обычно возникают у основания черепа или рядом с ним в области, называемой задней черепной ямкой. В задней ямке черепа располагаются ствол мозга и мозжечок.
Медуллобластомы обычно поражают заполненную жидкостью четвертую полость (желудочек) головного мозга. Головной мозг имеет четыре полости, называемые камерами, которые заполнены спинномозговой жидкостью (ЦСЖ) и соединены каналами, по которым эта жидкость циркулирует. Поскольку опухоль часто заполняет четвертый желудочек, нарушается циркуляция спинномозговой жидкости, что приводит к гидроцефалии. Гидроцефалия — это состояние, при котором накопление избыточного количества спинномозговой жидкости в головном мозге вызывает различные симптомы, в том числе повторяющуюся, часто сильную рвоту, сонливость и головные боли, которые часто возникают утром и уменьшаются в течение дня. Дополнительные симптомы могут включать:
- раздражительность;
- увеличение головы;
- паралич (парез) мышц, помогающих контролировать движения глаз (экстраокулярные мышцы).
У многих младенцев и детей с медуллобластомой развивается отек сосков, состояние, при котором диск зрительного нерва отекает из-за повышенного внутричерепного давления. Зрительный нерв – это нерв, передающий импульсы от сетчатки к головному мозгу. Отек отпечатков пальцев может привести к снижению четкости зрения. Поскольку многие симптомы, связанные с медуллобластомой, неспецифичны и часто трудно различимы, папиллярный отек может быть первым признаком подозрения у невролога.
У детей с медуллобластомой часто наблюдаются симптомы дисфункции мозжечка. Симптомы могут включать нарушение координации, трудности при ходьбе и неуклюжесть (атаксия). Больные дети могут часто падать, у них может развиться неустойчивая, неуклюжая походка. Они могут стоять с широко расставленными ногами, шататься или раскачиваться при ходьбе и легко терять равновесие.
Дополнительные симптомы могут появляться по мере роста или распространения опухоли. Симптомы могут включать двоение в глазах (диплопия), быстрые, внезапные движения глаз (нистагм), лицевую слабость, шум в ушах (звон в ушах), потерю слуха и ригидность затылочных мышц. Некоторые дети с диплопией могут наклонять голову, пытаясь совместить оба изображения.
Причины
Точная причина медуллобластомы неизвестна. Большинство случаев возникают случайно без видимой причины (спорадически).
Многие случаи медуллобластомы связаны с хромосомными аномалиями. Эти аномалии не передаются по наследству (то есть не передаются из поколения в поколение), а появляются в какой-то неизвестный момент развития ребенка, даже во время развития плода или эмбриона. Хотя медуллобластомы связаны с хромосомными изменениями, они не передаются по наследству.
У людей, больных раком, злокачественные опухоли могут развиваться из-за аномальных изменений в структуре и ориентации определенных клеток. Как упоминалось выше, конкретные причины или факторы таких изменений неизвестны. Однако исследования показывают, что в основе злокачественных трансформаций клеток лежат аномалии в структуре ДНК (дезоксирибонуклеиновой кислоты), являющейся носителем генетического кода организма. В зависимости от формы присутствующего рака и ряда других факторов эти аномальные генетические изменения могут возникать спонтанно по неизвестным причинам (спорадически).
Имеющиеся данные свидетельствуют о том, что примерно от одной трети до половины людей с медуллобластомой опухолевые клетки могут иметь специфическую хромосомную аномалию, известную как изохромосома 17q, с ассоциированной потерей или инактивацией определенной генетической информации. Хромосомы, присутствующие в ядре клеток человека, несут генетические характеристики каждого человека. Пары хромосом человека пронумерованы от 1 до 22, причем мужчины имеют неравные 23 пары хромосом X и Y, а женщины имеют две хромосомы X. Каждая хромосома имеет короткое плечо, отмеченное буквой «p», длинное плечо, отмеченное буквой «p». с буквой «q» и суженным участком, в котором соединяются оба плеча (центромера).
Изохромосома представляет собой аномальную хромосому с одинаковыми плечами по обе стороны от центромеры. В частности, в некоторых случаях медуллобластомы наблюдается дупликация длинного плеча и делеция короткого плеча хромосомы 17. Некоторые исследователи предположили, что такие структурные аномалии хромосомы 17 могут привести к инактивации гена в этой хромосоме, который обычно действует как супрессор опухоли, потенциально приводящий к злокачественной трансформации некоторых клеток. Однако последствия таких выводов остаются неясными.
У людей с медуллобластомой были выявлены дополнительные хромосомные аномалии, в том числе аномалии хромосом 1, 7, 8, 9, 10q, 11 и 16. Неизвестно, как эти различные аномалии играют роль в развитии медуллобластомы. Необходимы дополнительные исследования для выявления сложных механизмов, лежащих в основе развития медуллобластомы.
У людей с онкологическими заболеваниями, включая медуллобластому, злокачественные опухоли могут развиваться из-за аномальных изменений в структуре и ориентации определенных клеток, известных как онкогены или гены-супрессоры опухолей. Онкогены контролируют рост клеток; Гены-супрессоры опухолей контролируют деление клеток и обеспечивают своевременную гибель клеток. Онкогены, ассоциированные с медуллобластомой, включают ERBB2, MYCC и OTX2. Многие медуллобластомы характеризуются изменениями в специфических молекулярных сигнальных путях, которые приводят к неконтролируемому росту клеток. Пути, вовлеченные в медуллобластому, включают путь Wnt, путь SHH и путь myc.
В крайне редких случаях медуллобластомы возникают у людей с определенными наследственными заболеваниями, в том числе:
- синдром Горлина-Гольца (наследственный первично-множественный базально-клеточный рак кожи);
- синдром Тюркотта;
- команда Ли Фраумени;
- синдром Рубинштейна-Тайби;
- синдром Неймегена;
- нейрофиброматоз;
- атаксия телеангиэктазии.
Люди с этими заболеваниями имеют повышенный риск развития медуллобластомы.
Исследователи предполагают, что медуллобластома возникает из незрелых клеток, которые каким-то образом препятствуют созреванию (или дифференцировке) в более специализированные клетки, выполняющие «предназначенные» специфические функции в данной ткани. Эти незрелые или не полностью дифференцированные клетки могут расти и делиться с чрезвычайно высокой, неконтролируемой скоростью, которую не останавливают естественные защитные силы организма. В конечном счете, эта пролиферация аномальных клеток может привести к образованию массы, называемой новообразованием.
По классификации Всемирной организации здравоохранения (классификация ВОЗ) медуллобластомы подразделяются на несколько типов в зависимости от гистологических признаков/определений:
- Классическая медуллобластома (специалисты используют английскую аббревиатуру CMB)
- Десмопластическая/узелковая медуллобластома (специалисты называют этот вид опухоли «десмопластическая/узелковая медуллобластома»).
- Медуллобластома с обширной узловатостью (специалисты используют аббревиатуру MBEN; также называется «медуллобластома с обширной узловатостью»).
- Анапластическая медуллобластома (специалисты используют аббревиатуру АМБ)
- Медуллобластома крупноклеточная (специалисты используют аббревиатуру LCMB)
Различные подтипы медуллобластомы различаются на клеточном уровне, но пока не влияют на варианты лечения. Однако в будущем такие различия могут быть использованы для разработки новых таргетных методов лечения, основанных на конкретном подтипе и других факторах.
Обширное профилирование транскрипции медуллобластом человека недавно привело к разработке второй и более точной системы классификации, которая стратифицирует медуллобластомы в соответствии с их профилями экспрессии мРНК. Это медуллобластомы WNT (т.е. медуллобластомы с активацией сигнального пути WNT), медуллобластомы SHH (т.е. медуллобластомы с активацией сигнального пути SHH), медуллобластомы группы 3 и медуллобластомы группы 4.
Медуллобластомы из подгруппы WNT характеризуются генетическими изменениями, которые затрагивают участников сигнального пути Wnt, связанного с процессами эмбриогенеза и онкогенеза. Мутации Ss-катенина и моносомия 6 являются одними из наиболее распространенных генетических событий, определяющих эту подгруппу, и их частота примерно одинакова у мужчин и женщин. Медуллобластомы WNT обычно поражают детей старшего возраста и редко встречаются у взрослых. Опухоли WNT имеют лучший прогноз и клинический исход среди определенных подгрупп.
Подгруппа SHH характеризуется повышенной активностью членов сигнального семейства SHH. Распространенными генетическими событиями, за исключением этой подгруппы, являются мутации в генах PTCH, рецептора SHH и SUFU, негативного регулятора сигнального пути SHH. Опухоли SHH являются наиболее распространенной подгруппой медуллобластом у детей и взрослых и имеют промежуточный прогноз. Как и в подгруппе WNT, частота опухолей SHH одинакова у мужчин и женщин.
Опухоли группы 3 характеризуются чрезмерной амплификацией MYC и генов, связанных с фототрансдукцией и передачей сигналов глутамата. Также известно, что эти опухоли имеют высокую скорость метастазирования и худший прогноз среди всех подтипов медуллобластомы. Опухоли группы 3 крайне редко встречаются у взрослых и чаще встречаются у мужчин, чем у женщин. Последняя подгруппа, теперь известная как группа 4, характеризуется активацией генов, связанных с нейрональной или глутаматергической передачей сигналов. Хотя эти опухоли распространены во всех возрастных группах, о них известно относительно мало. Как и группа 3, опухоли группы 4 чаще встречаются у мужчин и имеют высокую склонность к метастазированию. Прогноз у них косвенный.
Медуллобластому иногда классифицируют как первичную нейроэктодермальную опухоль или PNED. PNEO — это группа раковых заболеваний, возникающих из примитивных нервных клеток головного мозга. Медуллобластому иногда называют первичной нейроэктодермальной опухолью задней ямки черепа.
Затронутые группы населения
Медуллобластома может поражать людей всех возрастов, но чаще всего встречается у детей в возрасте до 15 лет, с пиком заболеваемости в возрасте от 3 до 9 лет. Медуллобластома — наиболее частая злокачественная опухоль головного мозга у детей. Около 80 процентов пострадавших моложе 15 лет. Медуллобластомы крайне редко встречаются у взрослых, составляя 1-2 процента всех опухолей головного мозга у взрослых. У взрослых большинство медуллобластом возникает в возрасте от 20 до 44 лет. Медуллобластомы крайне редко встречаются у людей старше 45 лет.
Среди детей мальчики болеют чаще, чем девочки. Однако у взрослых соотношение такое же. Точная заболеваемость медуллобластомой неизвестна, и в медицинской литературе было сделано много разных оценок. Как правило, медуллобластомы составляют 2% всех первичных опухолей головного мозга и 18% всех опухолей головного мозга у детей.
Близкие по симптомам расстройства
Симптомы следующих заболеваний могут быть сходными с симптомами медуллобластомы. Сравнение может быть полезным в дифференциальной диагностике.
Различные типы опухолей головного мозга могут приводить к повышенному внутричерепному давлению и системным симптомам, сходным с симптомами, потенциально связанными с медуллобластомой, таким как рвота, головная боль, нарушение походки, изменение сознания, нечеткость зрения, увеличение головы у детей раннего возраста и/или другие аномалии. Такие опухоли также могут приводить к дополнительным генерализованным или более локальным симптомам, обычно не связанным с медуллобластомами; иметь среднюю продолжительность симптомов до постановки диагноза; и/или имеют другие клинические признаки, которые обычно не наблюдаются при медуллобластомах. Клиническое и неврологическое обследование, полный анамнез, расширенные тесты визуализации и другие диагностические меры обычно требуются для подтверждения наличия опухоли головного мозга и определения конкретного типа опухоли.
Диагностика
Медуллобластома диагностируется на основании тщательной клинической и неврологической оценки, характерных симптомов и физических признаков, истории болезни и специальных диагностических тестов. Такие тесты могут включать анализы крови; оценка остроты зрения, поля зрения и движений глаз; использование инструмента (офтальмоскопа), который визуализирует внутреннюю часть глаза (например, для обнаружения папиллярного отека); передовые методы визуализации (MMR, компьютерная томография); и/или другие диагностические тесты.
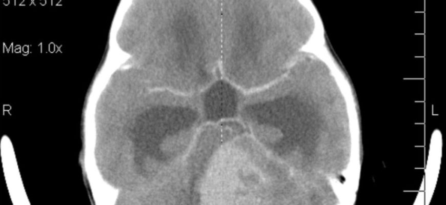
Основным специализированным методом визуализации, используемым в диагностике медуллобластомы, является магнитно-резонансная томография (МРТ) головного и спинного мозга. МРТ использует магнитные поля и радиоволны для создания подробных изображений поперечных сечений органов и тканей. Эксперты отмечают, что при наличии МРТ предпочтительнее компьютерной томографии (КТ) в качестве диагностического инструмента для медуллобластом, поскольку он может дать более точное представление о распространении опухоли, возможной инвазии мозговых оболочек и поражении позвоночника. МРТ проводится до и после внутривенного введения контрастного вещества на основе гадолиния. Контрастное вещество заставляет опухоль появляться на экране в виде светлой массы (намного ярче, чем окружающая ткань). Когда МРТ недоступна, может быть выполнена компьютерная томография. Компьютерная томография использует компьютер и рентгеновские лучи для создания изображения внутренних структур.
МРТ позвоночника с гадолинием также можно выполнить, чтобы определить, распространилась ли медуллобластома на спинномозговую жидкость и спинной мозг. В некоторых случаях также может быть рекомендована люмбальная пункция для анализа раковых клеток в спинномозговой жидкости. (Во время люмбальной пункции в спинномозговой канал вводят полую иглу для сбора спинномозговой жидкости для анализа.) Однако специалисты могут посоветовать, что люмбальная пункция нецелесообразна (противопоказана) в большинстве случаев до удаления опухоли.
Хирургическое удаление и микроскопическое исследование (биопсия) пораженной ткани могут быть выполнены для подтверждения диагноза медуллобластомы. В некоторых случаях могут быть выполнены и другие диагностические тесты.
Стандартные методы лечения
Лечение медуллобластомы может потребовать согласованных усилий группы медицинских работников, включая педиатров; специалисты по нервной системе (неврологи), специалисты по диагностике и лечению рака (медицинские онкологи) и по использованию радиации при лечении рака (онкологи-радиологи); детские онкологи; медсестры онкологического отделения; нейрохирурги; и/или других медицинских работников. Конкретные методы лечения могут зависеть от размера, местоположения, характера, стадии и/или развития опухоли; возраст пациента и общее состояние здоровья, а также другие факторы.
Агрессивная хирургия с последующей лучевой терапией и химиотерапией, которые могут использоваться отдельно или в комбинации, является текущим стандартом лечения пациентов с медуллобластомой. Терапия, которая работает в одной группе, может оказаться неэффективной в другой. Например, химиотерапия, которая была эффективна у детей и подростков, может оказаться неэффективной или непереносимой у взрослых.
Хирургическое вмешательство может быть выполнено для получения образца биопсии, уменьшения давления на мозг путем дренирования скопившейся спинномозговой жидкости и максимально возможного удаления опухоли без повреждения окружающей ткани головного мозга. Целью операции является полное удаление опухоли или максимально возможное ее удаление. Некоторые исследования показали, что результат лучше, когда вся опухоль, видимая хирургу, была удалена (полная резекция). Однако полная резекция не всегда возможна. Вскоре после операции могут быть выполнены передовые методы визуализации (такие как компьютерная томография и магнитно-резонансная томография) и другие диагностические методы, чтобы определить, какая часть опухоли остается, и помочь определить соответствующие варианты послеоперационного лечения.
В редких случаях перед операцией по удалению опухоли может быть рекомендовано шунтирование. Шунтирование может помочь удалить избыток жидкости и снизить внутричерепное давление. Шунты — это специализированные устройства, которые перенаправляют избыток спинномозговой жидкости из головного мозга в другую часть тела для поглощения кровотоком. Однако обычно предоперационное шунтирование спинномозговой жидкости не выполняется из-за некоторого риска (например, грыжа, возможно способствующая распространению раковых клеток), а гидроцефалия у некоторых пациентов разрешается после удаления опухоли. Некоторым пациентам может потребоваться шунт после операции по удалению опухоли.
Стандартное послеоперационное лечение часто включает краниоспинальное облучение, начиная примерно через 2-4 недели после операции. Во время лучевой терапии излучение (через рентгеновские лучи или другие источники радиоактивности) проходит через определенные участки тела, чтобы уничтожить раковые клетки и уменьшить размер опухоли. Лучевая терапия проводится в точно определенных дозах, чтобы свести к минимуму повреждение нормальных клеток организма. Лучевая терапия является важной вспомогательной терапией, поскольку она может разрушать микроскопические раковые клетки, которые слишком малы, чтобы их можно было увидеть, и которые могут остаться после операции. Эти микроскопические клетки могут привести к рецидиву опухоли.
В запущенных случаях рекомендуемая терапия может также включать лечение некоторыми лекарствами от рака (химиотерапия) во время или после лучевой терапии. Врачи могут порекомендовать комбинированную терапию несколькими химиотерапевтическими препаратами, которые по-разному действуют на уничтожение раковых клеток и/или предотвращение их размножения. Химиотерапевтические препараты, которые использовались для лечения медуллобластомы, включают винкристин, ломустин, цисплатин, циклофосфамид, карбоплатин и этопозид.
Младенцам и детям в возрасте до трех лет можно назначать химиотерапию вместо лучевой терапии, чтобы избежать потенциальных долгосрочных побочных эффектов лучевой терапии. В некоторых случаях лучевая терапия может быть рекомендована в более старшем возрасте.
Поскольку количество взрослых с медуллобластомой меньше, чем детей, эффективных схем лечения для взрослых до сих пор не разработано. Было показано, что различные химиотерапевтические препараты, используемые для лечения детей, менее эффективны у взрослых, у которых часто возникают более тяжелые побочные эффекты.
Прогноз
В последние десятилетия у детей и подростков с медуллобластомой значительно увеличились шансы на излечение от заболевания. Современные методы диагностики и лечения, которые стали комбинированными, интенсивными и стандартизированными, привели к тому, что примерно 75% диагностированных людей живут пять лет после постановки диагноза (медицинская статистика исходила из 5-летней выживаемости).Данные о 10-летней выживаемости составляют чуть менее 70% от общего числа больных детей и подростков.
Источник — http://mdc51.ru/medulloblastoma-chto-eto-takoe-simptomy-lechenie-prognoz.html