Архивы за месяц Ноябрь, 2025

Эксперты оценили риски покупки токенизированных акций через Телеграм

Телеграм предложил своим пользователям инвестировать в токенизированные акции. К сожалению, ранее похожая инициатива Robinhood столкнулась с регуляторным давлением Эксперты объяснили, безопасно ли инвестировать в токенизированные акции компаний через Телеграм. Кошелек для криптовалюты Телеграм: обзор и инструкция Что случилось 27 октября 2025 года в кошельке Wallet, встроенном в Телеграм, появился раздел «Акции и фонды». Теперь пользователи …

На рынке биткоина усилился медвежий тренд, но отскок не исключается

Сегодня дневной график биткоина рисует медвежью картину, так как с дневного максимума в $110,665 цена BTC снизилась на 3,1% до $106,500. С ростом объёма на красных свечах, продавцы продолжают толкать цену главной криптовалюты вниз. Красная свеча поглощения 2–3 ноября предвещает ещё большие проблемы, усиливая текущий медвежий настрой. Дневной график BTC/USD на Bitstamp 3 ноября 2025 …

Как вылечить коронавирус в домашних условиях

В этой статье вы узнаете, когда инфекция коронавируса можно лечить дома, что может делать врачи и какие терапевтические диаграммы. Лечится ли коронавирус дома? Прежде всего, в соответствии с постановлением Министерства здравоохранения Российской Федерации (Интернет-правовой информационный портал), пациент от коронавируса можно лечить в домашних условиях, если у него есть возможность полностью изолировать от других (по крайней …

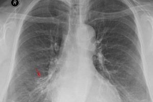
Причины и лечение диффузного эндобронхита

Диффузный бронхит — это воспаление стенки бронха, которое поражает только слизистую оболочку (эндобронхит) или все слои (панбронхит). Воспаление поражает все бронхи, начиная от альвеол в легких и заканчивая бронхами первого и второго порядка. Диффузный бронхит может быть первичным или вторичным. В первом случае патологические изменения вызваны инфекционными факторами и неблагоприятными факторами внешней среды (курение, плохая …

Золотой ус при диабете 2 типа

Потенциал многих лекарственных растений позволяет успешно использовать их в комплексном лечении диабета типа 2. Природные лечебные средства хорошо зарекомендовали себя, и, хотя они не могут полностью заменить лекарства и диету, их можно успешно использовать в качестве дополнительной терапии. Одна из таких трав — золотой ус (также известный как каллизия душистая). Химический состав этого растения позволяет …

Спайки и другие изменения после пневмонии у взрослых

Плеврально-диафрагмальные спайки — это разросшаяся соединительная ткань между серозными оболочками плевральной полости (ткань, покрывающая стенки грудной клетки и легких). Образования в легких могут быть единичными или множественными. Часто остаточные изменения являются результатом перенесенной пневмонии. В медицине у них есть другие названия — синехии, легочные заболевания или спайки. Общее количество швартов иногда даже приводит к полному …

Отек при растяжении

Отек вызывается скоплением жидкости в тканях и развитием воспаления. Отек свидетельствует о нарушении микроциркуляции и сопровождается рядом неприятных симптомов. В случае растяжения связок верным признаком будет отек, и важно знать, как правильно от него избавиться. Почему возникает отек после растяжения Стягивание связок вызывается резкими движениями во время физических нагрузок, игр и занятий спортом. Это может …

«Металлург» вернул лидерство в КХЛ

Магнитогорский «Металлург» на домашнем льду разгромил «Шанхайских Драконов» – 6:1. Как передает корреспондент РИА «Новый День», встреча началась неприятным для хозяев сюрпризом. На 1-й минуте матча защитник «Металлурга» Александр Сиряцкий ошибся в своей зоне, отправив шайбу из левого угла площадки напрямую на Никиту Попугаева, и нападающий «Драконов», не раздумывая, вогнал ее в сетку ворот магнитогорцев …

В Челябинске хозяин нашел в диване тело пятилетней дочери квартирантки

В Челябинске возбуждено уголовное дело по факту убийства малолетней. Как сообщили РИА «Новый День» в пресс-службе следственного управления СКР по Челябинской области, тело пятилетней девочки с колото-резаными ранами нашли сегодня, 3 ноября, днем в квартире одного из домов по улице 250-летия Челябинска. По данным следствия, квартиру снимала 43-летняя женщина с ребенком. Она сообщила хозяину, что …

Федеральную трассу Р-254 «Иртыш» закрыли для автобусов и большегрузов

На федеральной трассе Р-254 «Иртыш» в Курганской области ввели временный запрет на движение на участке с 362 по 465 км из-за неблагоприятных погодных условий. Как передает корреспондент РИА «Новый День», ограничения касаются пригородных и междугородних автобусов, маршрутных такси, а также грузовиков, перевозящих крупногабаритные и тяжеловесные грузы. Курган, Игорь Юров © 2025, РИА «Новый День» Источник