
Плеврально-диафрагмальные спайки — это разросшаяся соединительная ткань между серозными оболочками плевральной полости (ткань, покрывающая стенки грудной клетки и легких).
Образования в легких могут быть единичными или множественными. Часто остаточные изменения являются результатом перенесенной пневмонии.
В медицине у них есть другие названия — синехии, легочные заболевания или спайки. Общее количество швартов иногда даже приводит к полному срастанию соединительных тканей со многими негативными последствиями в виде боли и острой дыхательной недостаточности.
Механизм формирования
Спайки могут возникать везде, где есть соединительная ткань. Причина их появления, как правило, — воспалительный процесс, например, пневмония или плеврит. Острый бронхит, паразиты в легких, наличие саркомы, туберкулеза, а также курение, травмы и новообразования также способствуют развитию синехий.

Еще одним фактором, способствующим образованию наростов, является вдыхание вредных веществ, например, на химических предприятиях. Спайки образуются, когда в плевральных мембранах накапливается слишком много жидкости, что приводит к накоплению фибрина (нерастворимого волокнистого белка), который не исчезает во время выздоровления и образует трещину.
Симптомы
Симптоматика наличия спаек довольно похожа на симптомы пневмонии. Но заподозрить наличие данной патологии вполне можно. Наиболее частые симптомы:
- Появление острой боли при дыхании.
- Одышка при физической нагрузке.
- Высокая температура.
- Беспричинное сердцебиение.
- Бледная кожа.
- Ощущение тяжести при вдохе и выдохе.
- Повышенная частота кашля.
- Головные боли.
- Слабость, сонливость.
- Когнитивные проблемы.
Эти симптомы никогда не следует недооценивать, так как они могут не только вызывать спайки, но и указывать на наличие других заболеваний.
При образовании большого количества спаек постепенно может развиться дыхательная недостаточность — при затруднении дыхания у пациента усиливается одышка. Физические упражнения могут вызвать приступ одышки, требующий неотложной помощи.
Диагностика
Обнаружить спаечные процессы без должного осмотра врача невозможно. Диагностика начинается с устных вопросов пациента об истории болезни, например, бронхита или пневмонии. Также обязательно спросить о наличии перенесенных ранее операций или травмах грудины. Затем врач пальпирует, то есть пальпирует грудную клетку, и осматривает пациента. Затем при необходимости назначается более подробная диагностика.
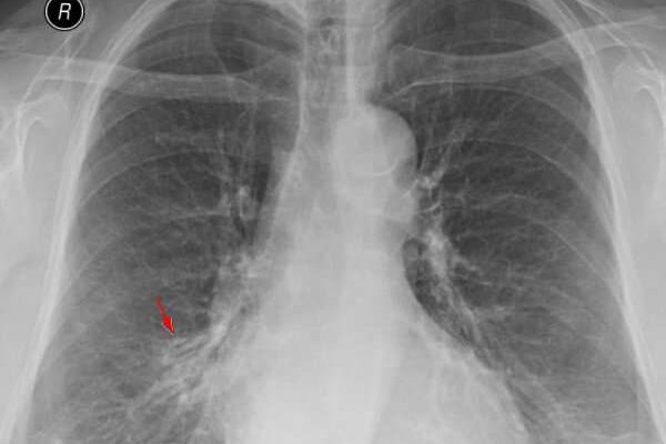
Самый распространенный метод диагностики легких — рентген грудной клетки. Однако, если врач подозревает, что у пациента есть спайки, пациента направляют на рентгенологическое обследование. На рентгеновском снимке синехии можно определить по мутным темным пятнам. Это похоже на затемнение тени и неподвижно на вдохе и выдохе.

Иногда обнаруживается деформация грудной клетки и диафрагмы. Чаще всего спайки обнаруживаются в нижней части легкого. Этот тип спаек называется плевродиафрагмальным, а тип спаек в верхней части — плевроапикальными.
Лечение
Лечение спаек основано на запущенности процесса и причин, приводящих к его развитию. В период обострения у пациентов снижается функция дыхания, поэтому принимаются различные меры для подавления гнойно-воспалительного процесса, а также санации дыхательных путей. Процедура предполагает откачку скопившейся жидкости через специальную трубку. Также обязательно введение антибиотиков внутримышечно или внутривенно. В некоторых случаях эти препараты вводят путем эндобронхиальной инъекции во время санации.
Спайки, появляющиеся после воспаления, часто покрывают почти всю поверхность легкого. Из-за вытянутых тяжей, расположенных по всей плевре, у человека затрудняется дыхание, нарушается вентиляция легких, что приводит к кислородному голоданию.
В этом случае назначают хирургическое вмешательство — лапароскопию. Операцияо разделении спаек путем сжигания или рассечения липких тканей. Этот прием выполняется только в самых запущенных случаях, когда лечебный массаж и физиотерапия не действуют.

Иногда может потребоваться удаление всего легкого. В этом случае плевра и находящаяся под ней доля легкого полностью удаляются. Это очень сложная операция, требующая от пациента всегда соблюдения определенных ограничений и специальной диеты.

Рекомендуются умеренные физические нагрузки — плавание, прогулки и езда на велосипеде. Необходимо меньше есть соленого, траханого, жареного, фастфуда и острой пищи. В рацион должны входить продукты, приготовленные на пару, большое количество жидкости, свежие фрукты и овощи.
Важно употреблять много белка — молочных продуктов, молока, белого мяса, яиц. Такой образ жизни и диета будут способствовать постепенному разрешению спаек и улучшению общего состояния здоровья пациента.
При развитии спаек желательно принимать антибиотики, ведь принцип устранения спаек заключается в избавлении от причины заболевания. В основном болезнь заразна, что создает «благодатную среду» для развития спаек. В терапию также входит прием отхаркивающих средств, так как спайки препятствуют удалению скопившегося секрета. Для снятия отеков и уменьшения воспаления назначают противовоспалительные препараты и щелочные напитки.
Заключение
Самостоятельная постановка диагноза, а тем более лечение спаек в легких невозможна и даже опасна. После пневмонии любые симптомы, даже если они не очень очевидны, являются поводом для обращения к врачу. Пневмония — серьезное заболевание, и его последствия не менее серьезны.
Спайки после плохо леченной пневмонии — частое и коварное явление, так как гайморит может развиваться очень медленно, не вызывая подозрений об их наличии в легких. Постоянный контроль за самочувствием обеспечивает своевременное устранение негативных осложнений.