Архивы за месяц Ноябрь, 2025

Первые симптомы пневмонии у детей 1, 2 и 3 лет

Пневмония сопровождается характерными изменениями в легких, которые видны на рентгеновских снимках. Если болезнь вовремя не диагностировать и не лечить, она может закончиться плачевно. Пневмония довольно часто встречается у детей, особенно в сезон сезонного гриппа. Маленькие дети, особенно до трех лет, находятся в зоне риска. Всем родителям будет полезно знать, каковы начальные симптомы, чтобы определить начало …

Виды рентгена при пневмонии у детей

Рентген — это современный способ диагностики многих респираторных заболеваний. Часто это важно при диагностике пневмонии у детей. Современные медицинские клиники используют рентген для определения типа и стадии воспаления в легких, что дает возможность назначить более точное и эффективное лечение. Во многих случаях можно обойтись без рентгена. Например, при безобидной экологической пневмонии не всегда целесообразно подтверждать …

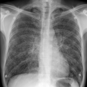
Как отличить вирусную пневмонию от бактериальной

Пневмония или пневмония — это острое инфекционное заболевание, поражающее различные части легких и нижние дыхательные пути (бронхи и трахею). В этой статье мы кратко обсудим бактериальные и вирусные пневмонии, их основные различия в симптомах и лечении. Отличия заболеваний Бактерии и вирусы — одни из наиболее частых причин пневмонии. Несмотря на то, что общая картина течения …

Опасная форма заболевания легких — кавернозный туберкулез

от нескольких миллиметров до 20 см и более. Чаще всего диагностируются дефекты диаметром от 2 до 4 см. Что это такое? Течение кавернозного туберкулеза не отличается яркими симптомами, образование полостей в легких — процесс медленный. Клиническая картина определяется исходной формой заболевания, а также расположением и размером полостей. Чем больше полость, тем более выражены симптомы. В …

Главу киноальманаха «Россия, я люблю тебя» представили в День народного единства

В День народного единства Сбер открыл новую главу всероссийского альманаха «Россия, я люблю тебя» — истории о большой любви к своей стране, рассказанной языком искусства, сообщает пресс-служба Сбербанка, который выступает одним из организаторов показов. «В создании картины объединились мастера отечественного кинематографа — Константин Богомолов, Алексей Нужный, Николай Хомерики, Алексей Куприянов — и молодые режиссеры Матвей …

Президент России Путин поздравил патриарха Кирилла с Днем народного единства

Президент России Владимир Путин поздравил патриарха Московского и всея Руси Кирилла с Днем народного единства. «Поздравляю Вас с Днем народного единства. Россия всегда была сильна традициями гражданской солидарности и сплоченности вокруг больших, созидательных целей, во имя свободы и независимости родины. И сегодня сбережение народного укрепления — наш незыблемый ориентир, надежный залог уверенного развития страны, укрепления …

США не намерены давать России и КНР устанавливать мировые стандарты

Постпред США при ООН Майк Уолтц заявил, что Вашингтону нужно участвовать в работе Организации Объединенных Наций, чтобы не позволить России и Китаю устанавливать мировые стандарты в различных сферах. Это заявление прозвучало в интервью порталу Breitbart. «Нам нужно сделать выбор. Мы просто отходим в сторону и позволяем Китаю и России и всем остальным странам устанавливать мировые …

Путин учредил два новых праздника

Архив. Фото: kremlin.ru Президент России Владимир Путин в День народного единства 4 ноября подписал указы о введении двух новых праздников – Дня коренных малочисленных народов РФ и Дня языков РФ. Согласно указу главы государства, День коренных малочисленных народов России будут отмечать по всей стране 30 апреля. Праздник устанавливается «в целях сохранения традиционных образа жизни, хозяйственной …

Жилые дома повреждены под Нижним Новгородом при падении обломков БПЛА

В Нижегородской области обломки украинских беспилотников повредили четыре жилых дома, обошлось без пострадавших. Об этом сообщил губернатор региона Глеб Никитин. «Ночью силы ПВО отразили атаку 20 БПЛА в Кстовском районе. По предварительным данным, пострадавших нет. При падении обломков повреждения получили 3 частных и один многоквартирный дом», – написал он в своем телеграм-канале. Глава региона добавил, …

Промышленный комплекс Стерлитамака подвергся террористической атаке двух БПЛА

Взрыв в цеху водоочистки Стерлитамакского нефтехимического завода (НСХ) произошел из-за террористической атаки двух беспилотных летательных аппаратов (БПЛА). Об этом 4 ноября сообщил глава республики Башкортостан Радий Хабиров. «Промышленный комплекс Стерлитамака подвергся террористической атаке двумя БПЛА», — написал он в Telegram-канале. Уточняется, что силы Минобороны России и службы безопасности предприятий успешно сбили оба беспилотника. Обломки упали …