Архивы за месяц Сентябрь, 2025

Что делать при симптомах ротавирусной инфекции у детей

Заболевания кишечника у детей так же распространены, как и у взрослых. При этом именно симптомы ротавируса у детей больше всего беспокоят родителей, так как заболевание может сопровождаться не только диареей, но и сильной болью. Именно поэтому так важно знать все о симптомах инфекции, ее причинах и особенностях лечения. Первые признаки ротавируса у детей Симптомы ротавируса …

Причины появления коревой пневмонии

Несмотря на массовую вакцинацию в 1960-х годах, корь остается серьезной угрозой. За первые 10 месяцев 2019 года в Европе было зарегистрировано 100000 рабочих мест. случаи кори. По статистике, у каждого четвертого заболевшего развиваются осложнения, требующие стационарного лечения. Одно из таких осложнений — корная пневмония. Общая информация Корь — высококонтагиозное вирусное заболевание, характеризующееся интоксикацией, лихорадкой, специфическими …

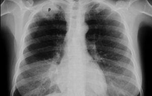
Синдром Панкоста или опухоль верхней борозды легкого

Синдром Панкоста — собирательный термин, который включает злокачественные новообразования, расположенные на верхушке легкого, под плеврой, с дополнительным поражением сосудисто-нервного пучка, шейных позвонков, ребер и других прилегающих анатомических структур. Диагноз ставится на основании клинической картины и результатов инструментального исследования. Общая информация и код МКБ-10 Опухоль Панкоста, то есть злокачественная опухоль верхней части соска легкого, — это …

Особенности симптомов и лечения бронхита у детей до года

Бронхит — это заболевание, при котором очаг воспаления располагается в нижних дыхательных путях, а точнее на слизистой оболочке бронхов. Данная патология широко распространена среди детей первого года жизни: регистрируется около 75 случаев на 1000 человек. Это связано с анатомическими особенностями человеческого тела в младенчестве. Код МКБ-10 (Международная классификация болезней, 10-я редакция) — это код J20. …

Особенности психосоматики бронхиальной астмы

Генетическая предрасположенность и внешние факторы играют роль в развитии бронхиальной астмы. Стресс может быть одним из триггеров приступа. Психосоматическая форма заболевания развивается у пациентов с определенными чертами характера. В статье подробно рассказывается, какие люди более подвержены этому заболеванию и насколько важна психотерапия для их выздоровления. Психосоматические причины Бронхиальная астма — хроническое заболевание, которое сопровождается приступами …

Возбудители, классификация и клинические рекомендации по микобактериозу

Помимо Mycobacterium tuberculosis, род Mycobacterium включает более 160 видов микроорганизмов. Большинство из них не опасны для человека, но есть группа так называемых атипичные микобактерии. Входящие в него микроорганизмы являются условно-патогенными и вызывают заболевания только при определенных условиях. Микобактериоз — это группа инфекционных заболеваний человека, которые вызываются нетуберкулезными бациллами (НТМБ). В группу нетуберкулезных заболеваний входят условно-патогенные …

1,4 миллиарда человек страдают от повышенного давления

Во всем мире 1,4 миллиарда человек страдают от повышенного артериального давления, однако даже каждый пятый (320 миллионов) не может контролировать его с помощью лекарств или устранения факторов риска. Это лишь некоторые данные из «Глобального доклада о гипертонии 2025», подготовленного ВОЗ, которые рисуют тревожную картину одной из основных причин сердечно-сосудистых событий. «Каждый час более 1000 человек …

Число смертей от рака к 2050 году резко вырастет

Число смертей от рака во всем мире резко возросло за четверть века и может превысить 18,5 миллиона к 2050 году. Это говорится в исследовании, опубликованном в четверг в журнале The Lancet. Несмотря на достижения в лечении и усилия по ограничению факторов риска, число новых случаев рака более чем удвоилось с 1990 года и достигло 18,5 …

26 сентября ожидаются следующие события – Челябинск

26.09.2025, пятница 10:00 Челябинск – Открытие Всероссийского книжного фестиваля и Южно-Уральской книжной ярмарки «РыжийФест» (Центр международной торговли, пр. Ленина, 35) 15:00 Челябинск – Шахматный клуб «Ладья» (библиотека №1, ул. Б. Хмельницкого, 17) 16:00 Челябинск – Концерт, посвященный юбилею ДК «Бригантина» (ДК «Бригантина», ул. Капитанская, 10а) 18:00 Челябинск – Паблик-ток «Дизайн-код города» (Дом архитектора, пр. Ленина, …

Гросси сообщил о заинтересованности многих стран в сотрудничестве с «Росатомом»

Многие страны хотели бы сотрудничать с госкорпорацией по атомной энергии «Росатомом». Об этом 25 сентября заявил глава Международного агентства по атомной энергии (МАГАТЭ) Рафаэль Гросси в ходе встречи с президентом России Владимиром Путиным. «Россия в лице «Росатома» играет ведущую роль во многих странах, многие страны заинтересованы в сотрудничестве с «Росатомом», мы видим это сегодня», — …