Синдром Панкоста или опухоль верхней борозды легкого

Синдром Панкоста или опухоль верхней борозды легкого

Синдром Панкоста — собирательный термин, который включает злокачественные новообразования, расположенные на верхушке легкого, под плеврой, с дополнительным поражением сосудисто-нервного пучка, шейных позвонков, ребер и других прилегающих анатомических структур. Диагноз ставится на основании клинической картины и результатов инструментального исследования.

Общая информация и код МКБ-10

Опухоль Панкоста, то есть злокачественная опухоль верхней части соска легкого, — это патология, относящаяся к верхушке легкого, сопровождающаяся определенной клинической картиной.

Название болезни происходит от имени радиолога Х.К. Панкост из США, который в начале 20 века впервые описал на снимке признаки этой опухоли и перечислил ее основные симптомы. Они были объединены в концепцию синдрома Панкоста.

Причиной может быть не только рак верхушки легкого, но и доброкачественная опухоль, активный воспалительный процесс с массивным экссудатом и последующим угнетением органических структур.

Основная причина этого вида рака — активное или пассивное курение. Еще один фактор риска — постоянный контакт с парами химических веществ, аэрозолями (загрязнителями воздуха), частицами, содержащими тяжелые металлы и другими раздражителями.

Патология может быть вызвана:

  • перенесенный туберкулез;
  • хронический бронхит и альвеолит;
  • прогрессирующий атеросклероз легких;
  • наличие бронхоэктазов;
  • наследственный анамнез.

Рак панкосты — это последовательность симптомов, которая встречается только в 5% всех случаев рака легких. У молодых людей практически не диагностируется, чаще всего пациенты относятся к категории 40+.

Самый распространенный вид рака — немелкоклеточный рак (более 80% случаев).

Опухоль поражает определенный перечень анатомических структур:

  • брахиоцефальная вена (лат. v. brachiocephalica);
  • подключичная артерия (лат. a. subclavicularis);
  • Диафрагмальный нерв (лат. Phrenicus);
  • ретроградный гортанный нерв (лат. n. laryngeus recurrens);
  • блуждающий нерв (лат. n. vagus);
  • звездчатые свитки (лат. ganglium cervicotoracicum s. stellatum).

Рак верхней доли левого или правого легкого, согласно Международной классификации болезней, редакция 10 (МКБ-10), имеет код C34.1.

Симптомы и синдромы рака

Клиника рака Панкосты состоит из симптомов одноименного синдрома; в некоторых случаях включается синдром Горнера. Симптомы синдрома Панкоста при раке легких развиваются медленно, на ранних стадиях роста злокачественной опухоли они вообще не возникают.

В дальнейшем на фоне инфильтрации опухолью плечевого сплетения и появления нервных корешков клиническая картина включает:

  • изнуряющая боль в плече на пораженной стороне;
  • дискомфорт, распространяющийся по лучевому нерву;
  • ослабление скелетных мышц плечевого пояса и верхней конечности;
  • онемение в дистальных фалангах пальцев;
  • Редко происходит мышечное истощение.

При повреждении и защемлении ретроградного гортанного нерва в голосе появляется непродуктивный грубый кашель и охриплость.

Может развиться синдром полой вены — острое состояние, при котором нарушается отток венозной крови из верхней части тела.

Синдром Горнера вызывается повреждением симпатических волокон, идущих от уровня верхнего шейного ганглия к первому сегменту грудного позвонка.

Синдром Панкоста или опухоль верхней борозды легкого

Отмечаются следующие симптомы:

  • Птоз (птоз) верхнего века;
  • миоз — уменьшение диаметра зрачка;
  • энофтальм — втягивание глазного яблока;
  • Снижение потоотделения на пораженной стороне.

Кроме того, могут возникнуть общие симптомы отравления: повышение температуры тела, общая слабость, снижение или полное отсутствие аппетита.

По этой причине клиническая картина сопровождается желтухой кожи и слизистых оболочек, головными болями, дискомфортом за грудиной.

Диагностика

При изменении подвижности рук и болях в верхней конечности пациенты не обращаются к онкологу. Сначала они посещают невролога, хирурга-травматолога и хирурга. Процесс поиска причины может затянуться, время будет потрачено зря, и опухоль постепенно перейдет на следующую стадию.

После подробного сбора данных о недугах, истории болезни и истории жизни человека направляют на лабораторные анализы иинструментальный. Общий и биохимический анализы крови, общий анализ мочи устанавливаются стандартами для всех без исключения пациентов для выявления возможной сопутствующей патологии.

Однако эти анализы никакими изменениями не обусловлены.

Наиболее информативными считаются:

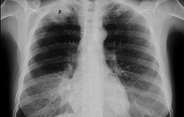
  • обзорная рентгенография органов грудной клетки — при опухоли Панкоста на рентгенограмме видны специфические симптомы: затемнение в области верхней борозды, увеличение толщины плевры, разрушение или деформация первых трех ребер, 6 -7 шейных и верхних грудных позвонков;
  • компьютерная томография и магнитно-резонансная томография — визуализация пораженного участка позволяет определить проникновение опухоли в сосуды, лимфатические узлы, костные элементы.

Синдром Панкоста или опухоль верхней борозды легкого

Дополнительно, чтобы подтвердить рак панкостомы, выполняется трансторакальная тонкоигольная аспирационная биопсия для получения гистологического материала и его дальнейшего исследования под микроскопом.

Лечение

Лечение рака Панкоста является комбинированным. При низком риске летального исхода и высокой вероятности выживания пациента на ранних сроках проводится хирургическое вмешательство, направленное на удаление доли легкого или всего органа. Если операция невозможна, пациенту назначают химиолучевую терапию.

Существует два основных типа схем лечения:

  • Неоадъювантное лечение — использование химиотерапии перед резекцией легкого (2-4 курса);
  • адъювантная терапия — удаление мелких метастазов после операции с применением специализированных препаратов (4-6 курсов).

Лекарственные препараты, их сочетание и дозы подбираются индивидуально с учетом течения патологии, состояния пациента.

Стандарты и клинические рекомендации по лечению НМРЛ как наиболее распространенной гистологической формы представлены в таблице ниже.

Схема Расчет дозы, мг / м2 Продолжительность лечения, сутки Пребывание в стационаре (койко-дни)
Цисплатин

Интервалы между курсами химиотерапии должны составлять ровно три недели. На четвертой стадии апикального рака легкого рекомендуется паллиативное лечение, чтобы замедлить прогрессирование заболевания и улучшить самочувствие пациента.

Подробнее о лечении пациентов с апикальным немелкоклеточным раком легкого вы можете узнать из видео:

Прогноз

Поскольку синдром Панкосты выявляется поздно и опухоль считается агрессивной, быстро появляются отдаленные метастазы, указывающие на четвертую стадию рака. Показатели выживаемости низкие, хотя за последние десятилетия они несколько увеличились.

Так, после хирургического вмешательства и комбинированной химиолучевой терапии в 40-60% случаев средняя продолжительность жизни составляет 5-6 лет. Осложнения возникают в 15-25% случаев. 75% пациентов живут в течение двух лет.

Источник

Добавить комментарий

Ваш адрес email не будет опубликован. Обязательные поля помечены *