Архивы за месяц Июль, 2025

В деле Тимура Иванова могут появиться новые коррупционные эпизоды

Облако новых коррупционных обвинений сгущается над бывшим высокопоставленным чиновником Минобороны. Словно гром среди ясного неба, 24 апреля 2024 года прогремело задержание замминистра обороны Тимура Иванова и его закадычного друга, руководителя «Волжского берега» Сергея Бородина. Им вменяют получение взятки в астрономическом размере — более 1,185 млрд рублей (ч. 6 ст. 290 УК РФ). Следствие полагает, что …

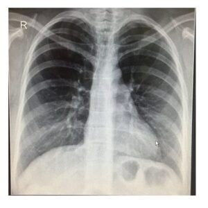
Что покажет флюорография при воспалении лёгких: ценность диагностики

Флюорография — это традиционная рентгенографическая диагностический метод, который, хотя устаревший все еще используется в современной медицине. Исследование включает в себя фотографирование изображения на матрице для обнаружения воспалительного процесса. Флюориграфия помогает увидеть симптомы заболевания, его местоположения и характера. Эта техника, однако, не всегда эффективна, должна быть понята, когда разбирательство неоправдано и стоит достичь других видов диагностических …

Мазь Ауробин — инструкция по применению

Некоторые препараты против геморроя могут быть неэффективными. Но некоторые из них могут быстро вылечить даже в резком стадионе. Один из них — Ауробин. Инструкция по применению, противопоказанию, лечению и всей важной информации об ауробине ниже в статье. Форма выпуска и состав Препарат продается в следующей форме: Мазь Aurobin для наружного или ректального использования; Состав препарата: …

Лечение геморроя народными средствами

Из-за определенных факторов или образа жизни человек заболевает неприятным заболеванием — геморроем. Лечение в больнице не очень перспективное, потому что врачи будут делать вам уколы, в больнице придется плохо питаться и лежать в постели. Но не расстраивайтесь, геморрой можно вылечить домашними средствами! В этой статье мы расскажем, как лечить геморрой с помощью народной медицины. Что …

Признаки, симптомы и лечение портальной гипертензии

Портальная гипертензия относится к категории патологических состояний в организме, которые возникают в результате повышенного давления в воротной вене печени. Со временем у пациента с таким диагнозом развиваются нарушения правильного кровотока, что вызывает ряд негативных симптомов со стороны тела. Чтобы понять происходящие изменения, суть терапии и опасность заболевания, специалисты рекомендуют ознакомиться с данным типом информации сразу …

Что такое серозометра матки, обязательно ли лечить заболевание?

В нормальных условиях, если женщина не беременна, в полости матки не должно быть ничего постороннего. Но иногда в нем может появиться что-то странное. Это не только рак, но и, например, жидкость в полости матки. Это явление называется серомембранным и чаще всего возникает у женщин после наступления менопаузы. Что это такое — серозометр в период постменопаузы, …

В Подмосковье многоквартирные дома переходят на электронные собрания собственников жилья

В Московской области в 2025 году планируется перевести на электронный формат общие собрания собственников жилья в половине многоквартирных домов (МКД), всего их в регионе 54 тысячи. Об этом сообщил губернатор Андрей Воробьев на совещании с руководством правительства области и главами округов. «Электронное голосование — это гарантия честности, прозрачности каждого важного решения, будь то смена управляющей …

«Роснефть» провела корпоративный фестиваль «Энергия талантов» в Москве

В Москве в конференц-центре «Моспродюсер» состоялся финал корпоративного творческого фестиваля «Роснефти» «Энергия талантов», в котором приняли участие работники 44 предприятий Компании со всей страны. «Роснефть» с 2011 года ежегодно проводит творческие фестивали для своих сотрудников. В 2025 году заявки на участие в отборочном этапе «Энергии талантов», проходившем в онлайн-формате, подали более 7 тысяч человек из …

Как в Челябинской области местный филиал «Русской общины» пытались в «экстремисты» записать

Прецедент с неправомерными претензиями к общественной организации «Русская община», которая защищает интересы коренного населения страны от нападок со стороны этнических группировок, ставших «обычным» явлением в стране, случился в Челябинской области. Здесь комиссия по противодействию экстремизму разыскивает среди своих сотрудников членов «Русской общины». Информацию сообщает издание Readovka. Коллеги описывают недавний случай, когда в Троицком муниципальном районе …

Почему лопаются капилляры на ногах

Сосуды для волос на ногах являются серьезными причинами думать о вашем здоровье. Чаще всего эти изменения в кровеносных сосудах являются начальная форма варикозных вен. Если заболевание пренебрегают, венозная кровь стоит застойная, и существует высокий риск вены. Блокировка оттока крови от ног приводит к расстройствам в питании тканей, что приводит к высушению кожи, его стены и …