Архивы за месяц Февраль, 2025

Как правильно использовать кружку Эсмарха для очищения

Преимущество некоторых очищающих процедур в том, что их можно проводить дома. Это случай с чашей Эсмарха, которую многие люди знают уже сотни лет. Он прост в использовании и имеет множество показаний, но нельзя забывать об ограничениях и инструкциях по его применению. Что такое кружка Эсмарха и в каких случаях применяется Чашка или кружка Эсмарха — …

Печаевские таблетки в борьбе с изжогой – преимущества и недостатки

На сегодняшний день существует огромное количество средств от изжоги, как лекарственных, так и немедикаментозных. Таблетки Печаева от изжоги относятся к группе биологически активных добавок, действие которых направлено на улучшение самочувствия человека. Как действует это лекарство, чем оно отличается от лекарств и можно ли его принимать во время беременности? Таблетки Печаев относятся к группе биологически активных …

Как проявляется рак молочной железы Педжета, удаление опухоли, прогноз

В последние десятилетия рак груди стал одним из самых распространенных злокачественных новообразований у женщин. До 20% всех пациентов онкологических учреждений России поступают и проходят лечение с этим диагнозом. Ежегодно во всем мире регистрируется до 1,5 миллиона новых случаев заболевания, и ежегодно умирает до 500 000 женщин. Эти виды рака также очень опасны, потому что, в …

Какие таблетки от давления не влияют на потенцию мужчины

Проблемы со здоровьем, в том числе колебания в артериальном давлении, могут привести к расстройствам эрекции у мужчин. По этой причине пациенты предпочитают использовать таблетки артериального давления, которые не влияют на потенцию мужчин. Страдание, чтобы прыгать кровяное давление, лучше проконсультироваться с врачом, который предписывает лекарства, учитывая текущее состояние здоровья. Связь гипертонии и потенции у мужчин Связанные …

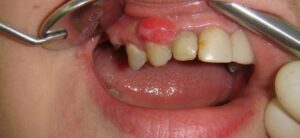
Воспалилась десна около зуба, что делать в домашних условиях

Гингивит (грипп) является распространенным заболеванием полости рта. Эта распространенная проблема может возникнуть по разным причинам. Если отек десны держится более нескольких дней, следует обратиться к стоматологу. Если по какой-то причине ваш визит к стоматологу задерживается, а опухшие десны доставляют вам дискомфорт, есть несколько вещей, которые вы можете сделать, чтобы облегчить эту проблему в домашних условиях. …

10 причин пониженного коэффициента атерогенности, особенности низкого индекса у женщин, мужчин, детей

В статье вы узнаете, почему индекс атерогенности может быть низким, опасно ли это, какой анализ используется для определения уровня липидов крови, какова норма значения индекса у женщин и мужчин, и стоит ли бороться. гипохолестеринемия. В чем важность индекса атерогенности Проще говоря, индекс атерогенности раскрывает суть обменных процессов, происходящих в организме. Индекс помогает понять характер питания …

Что такое наджелудочковая экстрасистолия

Аномалии сердца, характеризующиеся незапланированными сокращениями сердца, вызванными дополнительными импульсами в верхних частях органа или в атриовентрикулярном узле, называются наджелудочковыми экстрасистолиями. Классификация Чтобы понять, что это за патология, нужно знать, что сердечная мышца сокращается до того, как сердце наполняется кровью, чтобы выпустить ее в кровеносную систему. Заболевание, вызывающее эти нарушения, называется «экстрасистолия». Патология классифицируется по нескольким …

Пониженный гематокрит: причины и возможные последствия

Кровь — это жидкая соединительная ткань. Его основная функция — снабжать внутренние органы питательными веществами и кислородом. Эта жидкость циркулирует по телу благодаря развитой сети капилляров. Кровь состоит из плазмы и нескольких вариантов прилегающих элементов. Любой патологический процесс напрямую влияет на качественный состав жидкой формы соединительной ткани. Когда человек заболевает, изначально врач назначает общий анализ …

Связь надпочечников и давления, симптомы болезней, лечение, профилактика

Устойчивое повышение артериального давления не происходит само по себе. Иногда причиной патологического состояния становятся заболевания эндокринной системы. И тогда лечение одними только гипотензивными препаратами облегчения пациенту не принесет. Они связывают высокое кровяное давление с надпочечниками, щитовидной железой и гипофизом. Нарушения в механизме выработки гормонов приводят к гипертонии или гипотонии. Таким образом, определение первопричины важно для …

Причины и симптомы фригидности у женщин и мужчин, и возможно ли это исправить

Навязанность на физическом уровне до противоположного пола является одним из функций, определяющих привлекательность в человеческой природе и в отсутствие провала, мы можем говорить о развитии неровностей. Что означает холод у женщин и мужчин и методов лечения в нашей статье. Что такое фригидность Сегодня врачи называют частоту самой распространенной дисфункции в области сексуальных соотношений — она …