
Гингивит (грипп) является распространенным заболеванием полости рта. Эта распространенная проблема может возникнуть по разным причинам.
Если отек десны держится более нескольких дней, следует обратиться к стоматологу.
Если по какой-то причине ваш визит к стоматологу задерживается, а опухшие десны доставляют вам дискомфорт, есть несколько вещей, которые вы можете сделать, чтобы облегчить эту проблему в домашних условиях.
Причины возникновения
Боль во рту может быть вызвана множеством различных факторов:
- воспаление в области верхушки корня зуба;
- кариес и пульпит;
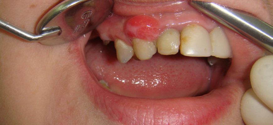
- Удаление зуба;
- появление зуба мудрости;
- гингивит, пародонтоз;
- плохая гигиена полости рта; зубной камень;
- травма десны после установки протеза;
- плохое питание;
- расстройства иммунной системы.
Какой бы ни была причина, необходимы срочные действия для облегчения дискомфорта и предотвращения осложнений.
Провоцирующие факторы к развитию воспаления десны
Есть много факторов, которые могут объяснить, почему воспаляется десна возле зуба. Часто воспаление вызвано стоматологической проблемой. Воспаление вызывают:
- простуда;
- курение;
- отсутствие своевременной медицинской помощи;
- стресс.
Отек также может быть вызван сердечно-сосудистыми заболеваниями или заболеваниями всего организма.
Симптомы

Иногда ситуация не требует медицинского вмешательства. Если отеку предшествовало удаление зуба, это нормальная реакция, если отек с каждым днем становится меньше.
Может быть достаточно полоскания рта травяным настоем или смены зубной щетки. Визит к стоматологу неизбежен, если с опухолью связаны следующие симптомы:
- усиление воспаления и боли в деснах;
- Помимо отека, нарушается целостность зуба;
- наличие пустул;
- болезненное ощущение укуса;
- недомогание, лихорадка, озноб, слабость;
- рецидивирующий гингивит;
- кровотечения после приема твердой пищи; боль после глотания; болезненность после глотания; опухоль и боль во рту;
- боль при глотании;
- отек распространяется на щеку; или
- неприятный запах;
Своевременное посещение медицинского центра позволит диагностировать и лечить причину отека.
Стадии воспаления
Ухудшает общее самочувствие человека, температура, слабость, озноб, как снять отечность? Правильное лечение, начатое в нужное время, способствует быстрому выздоровлению и полноценной жизнедеятельности.
Диагностика
Для эффективного лечения и устранения воспаления необходимо установить диагноз и обратиться за консультацией к стоматологу.
Лечение
Стоматолог сделает рентген, чтобы подтвердить диагноз и тяжесть воспаления, а также определить варианты лечения. В целом лечебная деятельность выглядит следующим образом:
- Консервативное лечение. Этот метод предполагает дренирование гноя через корневые каналы.
- Хирургическое лечение. Зуб удаляется, лунка очищается.
- Комбинированные процедуры. Если есть воспалительный процесс и зуб нужно спасти, под пломбу можно поставить антисептическую пломбу. Делается надрез, чтобы гной мог выйти.Дантист решает, какой метод будет использоваться.
Рекомендуются домашние лечебные процедуры:
- полоскание;
- антибиотики;
- противовоспалительные препараты.
Медикаментозное лечение (лекарственные препараты)

После осмотра и постановки диагноза специалист назначает препарат для лечения гингивита.
Зубные пасты, помогающие уменьшить воспаление:
- Лакалют.Актив,
- Парадонтакс.
Полоскание рта противовоспалительными препаратами:
- Хлоргексидин;
- мирамистин;
- Хлорофилл.
Для купирования гингивита назначают антибактериальное лечение, прием антибиотиков:
- линкомицин;
- Метронидазол
При сахарном диабете применяют следующие препараты:
- Цифлокс;
- Нолицин.
Все препараты назначает врач, не стоит заниматься самолечением.
Хирургия
При неэффективности лечения мягкими методами проводят оперативное вмешательство. Хирургические методы устраняют прогрессирование заболевания. Различают три вида хирургических вмешательств:
- Открытый кюретаж. Операция проводится под местной анестезией и позволяет очистить глубокие карманы. Делаются надрезы в десне и полость очищается с помощью ультразвука. Дефект заполняется препаратами, стимулирующими рост тканей. После операции разрезы зашиваются и операция считается завершенной. В последнее время кюретаж проводят диодным лазером: без кровопотери и без боли.
- Гингивэктомия. Операция проводится под местной анестезией. Некоторые десны и пародонтальные карманы удаляются. Он также укрепляет костную ткань.
- Гумпластика. Удаляется часть десневой ткани, выравнивается высота десны, пломбируются карманы и восстанавливается эстетический вид. Операция проводится под местной или общей анестезией. Выбор за пациентом. Метод лечения определяет специалист.
Если предстоит хирургическое вмешательство, об этом можно не беспокоиться, квалифицированные специалисты предотвратят осложнения заболевания.
Дополнительные и альтернативные методы лечения в домашних условиях
Что делать в домашних условиях при воспаленных деснах? Иногда есть припухлость, но зуб не болит, что делать в этом случае? Если у человека нет доступа к квалифицированной медицинской помощи, есть несколько способов лечения в домашних условиях для облегчения его симптомов.
Лучше избежать осложнений и принять срочные меры до посещения специалиста.
- Прополощите рот солевым раствором. Используйте 1 чайную ложку соли и добавьте такое же количество пищевой соды на 1 стакан воды. Также можно полоскать десны антисептическим раствором: Фурацилин, Хлоргексидин, следуя инструкции.
- Чистка зубов противовоспалительными зубными пастами против кровотечения: Пародонтакс, Тебодонт.
- Обработка десен препаратом Метрогил Дента после чистки зубов 3 раза в день.
- Если чистка зубов болезненна, нанесите анестетик для десен Dentol.
Воспаленные десны нельзя нагревать грелкой. Тепло вызывает размножение микробов и ухудшение воспаления.
При отсутствии положительного результата через 2 дня следует обратиться в стоматологическую клинику для лечения у специалиста.
Антибиотики не следует принимать без рецепта, чтобы не омрачать картину болезни. Не рекомендуется смешивать разные препараты, чтобы не навредить своему здоровью.
Народные средства (травы для полоскания рта)

При лечении опухших десен используются народные средства (травы). Пациенты задаются вопросом, чем полоскать рот в домашних условиях, какое средство выбрать?
- Ромашка обладает противовоспалительными свойствами. Возьмите 2 столовые ложки сухих цветов и залейте 1 стаканом кипяченой горячей воды. Охлажденный настой процеживают и используют для полоскания рта.
- Препараты тысячелистника принесут облегчение пациентам с гингивитом. 2 столовые ложки сухих цветков залить 0,5 л горячей воды и кипятить четверть часа. Затем раствор следует процедить и использовать для полоскания рта несколько раз в день.
- Подорожник часто используется для опухших десен. На больное место нужно положить лист. Из платанов готовят настой или отвар.
- Крапива используется для предотвращения кровоточивости десен. Залейте траву крутым кипятком и дайте настояться 30 минут. Настой используют для полоскания рта после еды.
- Цветы календулы очень эффективны против опухших десен. Это растение обладает ранозаживляющими и противовоспалительными свойствами. Это самое простое и доступное средство от проблем с деснами.
- Лечение золотым усом приносит хорошие результаты. Раздавите большой лист и доведите до кипения с 1 стаканом воды. Настаивать 2-3 часа под крышкой. Процедить, добавить чайную ложку соли и полоскать рот два раза в день.
К народным средствам также относятся следующие методы:
- По совету народной медицины, при появлении состояния, при котором опухла десна возле зуба, необходимо прикладывать к воспаленному месту кашицу растения алоэ, готовят содовый раствор с добавлением небольшого количества соли. Для усиления эффекта используют 50 мл раствора, содержащего листья шалфея.
- Перекись водорода – отличный антисептик. Раствор используют в качестве полосканий при гингивите.
- Кора дуба обладает целебным действием. Настой останавливает воспаление и устраняет неприятный запах изо рта.
- Прополис обладает свойствами, которые влияют на отек десен. 20 капель настойки нужно развести в стакане теплой воды. Раствор применяют для полоскания рта несколько раз в день.
- Хвою мелко нарезать, сложить в эмалированную кастрюлю, залить водой и довести до кипения. Отвар охлаждают и фильтруют. Полощите рот 3-4 раза в день, пока не почувствуете облегчение.
- Берем свеклу, натираем. Полученную массу кладут за щеку на 20 минут. Затем промыть настоем трав.
- Небольшой сырой картофель тщательно вымойте и вместе с кожурой натрите на мелкой терке. Наносить на больную щеку 3-4 раза в день, меняя свежий состав.
Рецептов домашнего лечения много, необходимо выбрать эффективный метод, который нам больше всего подходит.
Питание
При воспаленных деснах пища не должна сдавливать припухлость и раздражать воспаленные десны.
В рацион должны входить продукты, содержащие витамины, микроэлементы и минералы для улучшения состояния зубов и укрепления иммунитета.
Проанализируйте свой рацион.
- Молочные продукты восполняют дефицит кальция, материала для построения костной ткани. В меню должны входить молочные продукты, творог и сыр.
- Цитрусовые, квашеная капуста, ягоды, содержащие витамин С, укрепят сосуды и уменьшат кровоточивость десен.
- Свежие травы — эффективное средство для крепких зубов. Они содержат много полезных веществ. Богат калием и витамином В.
- Чеснок и лук содержат цинк, который является сильным антиоксидантом, борющимся с воспалением в тканях.
- Продукты пчеловодства способны повысить иммунитет и помочь защитить десны от воспалительных процессов.
- Ягоды, содержащие пектин, помогают остановить инфекции.
- Яйца, кедровые орехи и миндаль являются источниками витамина D.
Упражнения
Стоматологи рекомендуют массажи для укрепления состояния десен, предотвращения заболеваний. Во время чистки зубов массируйте область десен круговыми движениями в течение 2 минут. Эта простая процедура приносит хорошие результаты.
Можно использовать следующее упражнение:
Закройте рот и коснитесь внутренней части верхней челюсти языком. Постучите зубами 20-30 раз.
Делать это нужно 3 раза в день. Манипуляция укрепляет мышцы рта и области десен. Проведите некоторое время со своими деснами.
Профилактика
Если вы хотите, чтобы ваши десны оставались здоровыми, вам необходимо принимать профилактические меры:
- правильная гигиена полости рта (чистка зубов два раза в день по 3 минуты);
- подбор кистей с учетом жесткости кисти;
- использование лечебной зубной пасты;
- сбалансированное питание.
- здоровый образ жизни.
- Профилактические контрольные визиты к стоматологу не реже одного раза в полгода; профессиональная очистка от шлама.
Важно соблюдать эти простые правила – болезни легче предупредить, чем лечить.
Витаминные добавки для профилактики
Организму необходимы витамины для укрепления организма и профилактики гингивита.
- Дефицит витамина А может ослабить десны и повредить зубную эмаль. Витамин А содержится в моркови, апельсинах, рыбьем жире и печени.
- Недостаток витамина D может привести к повреждению костей и кариесу. Витамин D содержится в молоке, жирной рыбе и яичных желтках.
- Когда организму не хватает витамина С, десны кровоточат, а иммунная система ослабевает. Дополнить его могут апельсины, черная смородина, красный перец, шиповник и щавель.
- Недостаток витамина В может привести к потере зубов. Витамин Е содержится в молоке, бобовых, гречке, дрожжах, чесноке и говяжьей печени.
- Витамин Е влияет на целебные раны. Витамин Е находится в треске, маслом и пшенице.
- Витамин К помогает устранить кровотеченные десны. Это происходит в больших количествах в помидорах, зеленом горохе и картофеле.
- Дефицит витамина П влияет на полость рта. Вы можете найти его в бобах, говядины и дрожжевой печени.
Аптеки производят сбалансированные витаминные комплексы, которые полезны для зубов и десен.
- Кальций D3 Nicomed — помогает завершить нехватку кальция.
- Кальцинова — укрепляет глазурь зубов, обеспечивает профилактику развития полостей.
- Dentovitus — витаминный комплекс, который защищает зубы и десны от болезней.
Следует выбрать подходящую комбинацию витаминов, минералов и пищевых добавок.
В случае ухватки зубов и десных кровотечений следует принимать специальные добавки: витамины A, C (доза, рекомендованная врачом), витамин D (400-600 мг), остроумие.
Пищевые добавки — это дополнение к диете, а не лекарством. Перед использованием добавок, пожалуйста, проконсультируйтесь со своими добавками врачей, следует принимать перед едой.
Прогноз
Не опосредованное воспаление может привести к потере челюсти и передних опухолей. Раковые десны не смертельны, а прогноз хорош. Только качество жизни ухудшается болезненными заболеваниями.
Если появятся первые симптомы воспаления, перейдите в стоматологический кабинет. Стоматолог посоветует, какие меры следует применять для исцеления заболевания десен и улучшить их состояние.
Есть много разных способов помочь вашим густям. Важно найти правильные средства правовой защиты, чтобы знать, что делать дома. Использование народных лекарств будет иметь смягченный эффект и может использоваться в качестве дополнительного агента при лечении воспаления десен.
Видео
Инструкции по использованию Holisal® являются противопоказаниями. Пожалуйста, обратитесь к инструкции или обратитесь к специалисту.
Источник — http://mdc51.ru/vospalilas-desna-okolo-zuba-chto-delat-v-domashnix-usloviyax.html