Рубрика «Полезная информация»

Мочевая кислота в крови: что это такое, норма по возрастам, причины повышения показателя

Из этой статьи вы узнаете, что означает мочевая кислота в анализе крови, какие в норме значения у взрослых и детей, что вызывает повышение этого показателя. Особенности лечения патологии, осложнения, прогноз. Функции в организме Мочевая кислота — продукт пуринового обмена, концентрат натриевых солей, крайне опасный для здоровья человека. В норме кислота выводится с мочой и калом, …

10 эффективных компрессов при растяжении связок

Сразу после травмы накладывают холодный компресс при вывихах. Снимает боль, уменьшает отечность и предотвращает образование синяков. В период выздоровления можно применять теплые компрессы с использованием различных растений, лекарств и продуктов. Их преимущество будет заключаться в улучшении питания тканей, ускорении выздоровления, снятии боли и предотвращении осложнений. Спиртовой компресс при растяжении связок Водочный компресс при вывихе связок …

Таргетная и иммунотерапия

Заблуждение, что фармакологическое лечение рака основано исключительно на химиотерапии и гормонах. Благодаря детальному пониманию клеточной структуры возникли два совершенно новых направления: таргетная терапия и иммунотерапия. Насколько эффективны эти методы? Их достоинства и отличия рассмотрены в статье. Таргетная терапия Таргетная терапия — новое направление лечения рака, относящееся к молекулярной медицине. «Target» в переводе с английского означает …

Особенности питания при туберкулезе легких во время лечения

По сей день значение туберкулеза остается высоким. Большинство вновь диагностированных заболеваний протекают с серьезными осложнениями. Успешное лечение зависит от правильного питания при туберкулезе легких и комплексного подхода, который обязательно включает соблюдение специальных диетических рекомендаций. Особенности диеты Правильное питание при туберкулезе легких — важный элемент комплексного подхода к лечению этого заболевания у взрослых. Отмечено несколько правил: …

Что такое острая пневмония у ребенка

Острая пневмония — это инфекционное поражение легких, сопровождающееся инфильтративными изменениями тканей и поражением нижних дыхательных путей. Данная патология чаще всего диагностируется у детей до 3 лет (20 на 1000 случаев), у детей старшего возраста частота инфекций ниже (5-6 на 1000 случаев). Пневмония чаще всего возникает во время сезонных эпидемий ОРЗ. В чем опасность этой патологии? …

Лечение и осложнения цирротического туберкулеза легких

Цирротический туберкулез легких (ЦТБ) возникает на фоне длительного инфицирования. Некоторые туберкулезные поражения регрессируют, но легочная ткань не восстанавливается. На месте очага разрастается соединительная ткань, образуя толстые волокна коллагена, которые сливаются в нити к корню легкого и плевре. Общая информация Периферический туберкулез легких — одна из форм этого инфекционного заболевания. Согласно Международной классификации болезней, редакция 10 …

Сыворотка крови человека

Сыворотка человека — это плазма, не содержащая фибриногена. Медицине известны 2 основных метода ее получения. Компоненты крови человека, в том числе сыворотка, выполняют огромное количество функций. О сыворотке Это вещество имеет желтый оттенок из-за того, что в нем содержится определенное количество билирубина. При нарушении метаболизма пигмента пострадает и концентрация этого элемента. В этом случае сыворотка …

Простуда — описание, симптомы, причины и лечение простуды

Добрый день уважаемые читатели! В сегодняшней статье мы рассмотрим заболевание, имеющее свою сезонность осень-зима-весна — простуду. Простуда (в просторечии) — болезнь, развитие которой спровоцировано переохлаждением. Сразу подчеркнем, что термин «простуда» — это разговорный термин, при этом он относится к инфекционному заболеванию — острой респираторной вирусной инфекции, реже ОРЗ. Иногда это правда, и вы можете услышать, …

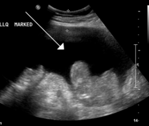
Подготовка и расшифровка УЗИ органов брюшной полости

УЗИ брюшной полости — один из наиболее распространенных способов исследования здоровья тканей желудка, печени, мочевого пузыря, поджелудочной железы, кишечника, двенадцатиперстной кишки и почек для выявления возможного наличия заболевания и начала лечения на ранней стадии. Для того, чтобы диагностическая процедура проходила гладко, а врач, проводящий обследование, мог предоставить высококачественный анализ дешифрования, перед проведением ультразвукового исследования аденомы …

Симвагексал: инструкция по применению, аналоги, цена, отзывы

Simvagesal это лекарство производится Гексал АГ, Германия. В соответствии с инструкциями, его основные свойства являются снижение холестерина, триглицеридов, «вредных» липопротеидов крови. Примечание: Вы прочитали упрощенных инструкцию по использованию Simvagexal. Состав, форма выпуска Simvagexal является однокомпонентным препаратом с единственным активным веществом — симвастатин. Другие ингредиенты, действующие на основании вспомогательных веществ или включены: крахмал, целлюлоза, butylhydroxyanizol E320, …