Архивы за месяц Ноябрь, 2025

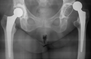
Вывих эндопротеза тазобедренного сустава

Вывих эндопротеза тазобедренного сустава Вывих бедра — редкая и неприятная патология, возникающая по разным причинам. Лечение в этом случае может быть консервативным или хирургическим. Все зависит от характера вывиха и самочувствия пациента. Вывих эндопротеза: причины По статистике вывих эндопротеза чаще диагностируется у представителей женского пола, чем у представителей мужского пола. В группу риска также входят …

В Анталье ищут пропавшую российскую туристку

Турецкие правоохранители ведут поиски пропавшей в Анталье туристки из России, сообщили в генконсульстве РФ в Анталье. По данным СМИ, жительница Санкт-Петербурга вместе с 12-летним сыном остановилась в отеле Royal Atlantis Spa & Resort. Вечером 31 октября 41-летняя женщина вышла из гостиницы, заявив, что направляется в магазин, и не вернулась. Ее сын остался в отеле. В …

Армия России поразила связанные с ВСУ объекты инфраструктуры

Вооруженные силы России нанесли новые удары по энергообъектам и транспортной инфраструктуре, которые связаны с ВПК Украины. Об этом сообщается в сводке Минобороны. В результате нанесено поражение объектам энергетической и транспортной инфраструктуры, обеспечивающим работу предприятий военно-промышленного комплекса Украины, цеху производства артиллерийских снарядов, складу горючего. Кроме того, поражены пункты временной дислокации ВСУ и иностранных наемников в 152 …

ВС РФ сжимают «котлы» в Купянске и Димитрове и не дают ВСУ вырваться из окружения

Российские войска в зоне спецоперации продолжают теснить противника в ДНР, Харьковской, Запорожской и Днепропетровской областях. По данным Минобороны, в районе Купянска Харьковской области подразделения 6-й армии группировки «Запад» сжимают кольцо окружения группировки ВСУ. Кроме того, сорвана попытка контратаки противника у Петровки с целью прорваться к реке Оскол и обеспечить отход окруженных украинских подразделений с левого …

Полиция Норвегии сообщила о модернизации систем наблюдения на границе с РФ

Норвегия направит 191 млн крон (€16,4 млн) на модернизацию системы наблюдения на границе с Россией. Об этом 4 ноября сообщило Национальное управление полиции Норвегии на своем сайте. «В конце 2024 года Норвегия получила около 191 млн норвежских крон (€16,4 млн) на модернизацию норвежско-российской границы. Деньги были выделены в рамках Инструмента управления границами и виз ЕС …

В Кремле исключили передачу США карт линии боевого соприкосновения на Украине

Россия сейчас не передает США карты с реальной линией фронта на Украине. Об этом 4 ноября сообщил официальный представитель Кремля Дмитрий Песков. «Сейчас не передаем. Когда были контакты, разумеется, пояснения по картам давались», — указал он в беседе с ТАСС. Пресс-секретарь президента РФ добавил, что американский лидер Дональд Трамп не поздравлял президента России Владимира Путина …

LIMÉ открыл самый большой магазин в Санкт-Петербурге (ФОТО)

Фото: пресс-служба LIMÉ В Санкт-Петербурге в торговом центре «Галерея» открылся обновленный магазин LIMÉ. Он стал самым большим по площади пространством бренда в городе — 3989 кв. метров.Архитекторы использовали интерьерный подход и разделили пространства двух линий бренда на секции с трендовыми капсулами и базовыми моделями. Такое решение делает навигацию в магазине более эффективной. Как работает акция …

Доставка цветов через онлайн-сервис в цветочной мастерской

Доставка цветов через онлайн-сервис в цветочной мастерской

Доставка цветов онлайн стала привычной частью флористических услуг. Заказ оформляется через витрину мастерской, после чего композиции собирают вручную и передают получателю курьером или посредством передачи на выдаче. В таком формате внимание уделяется деталям оформления, точности стиля и сохранности цветочной продукции. Процесс оформления включает выбор композиции, уточнение параметров доставки и финальное оформление документации. https://lightwood.store/ Выбор букетов …

Новый клип группы «ЕЩЁ» посвятили работе журналистов в горячих точках

Новая песня «Без бронежилетов» посвящена работе журналистов «за ленточкой» К 7 ноября в социальных сетях появится клип на песню группы «ЕЩЁ» «Без бронежилетов» (музыка Роман Рыкалов, слова Александр Малькевич и Елена Кулешова). Эта композиция посвящена журналистам, работающим в горячих точках. Песня уже завоевала популярность среди военкоров, телеведущих и кинодокументалистов — всех представителей СМИ, чья работа …

Нельзя быть против своих

Когда-то я дружил с Андреем Макаревичем*. Вернее, начинал дружить. Мы ходили друг к другу в гости.Продлилось это недолго — ровно до февраля 2022-го. Даже после Русской весны 2014-го была надежда, что мы можем договориться. Вернее, что мы должны договориться. Потому что вся наша историческая память сводится к простой формуле: когда мы едины — мы непобедимы. …