Архивы за месяц Ноябрь, 2025

Кружится голова при ходьбе и чувство опьянения – что это может быть?

В этой статье вы узнаете о причинах неустойчивой, неустойчивой походки, связанной с головокружением, о том, как уменьшить головокружение и какие варианты лечения доступны. Причины патологии Головокружение в сочетании с неустойчивой походкой не всегда указывает на серьезную проблему. Если накануне человек много работал физически, в его организме накопилось много адреналина, который вырабатывался ночью, что неизбежно приводит …

Спаечный процесс в малом тазу

Несмотря на длительный период исследований спаек в брюшной полости, особенно в тазу, до сих пор не выработано единых взглядов на механизм их образования и профилактики. По данным американских исследователей, смертность от кишечной непроходимости, вызванной спаечным процессом, составляет около 2000 человек в год. Частота спаек таза у женщин в 2,6 раза выше, чем у мужчин, а …

В новый год без долгов: Как избежать лишних трат на праздники

Кризис-менеджер рассказал, на чем можно сэкономить при подготовке к Новому годуПолина КутеповаНовогодние расходы часто негативно влияют на семейный бюджет. Дополнительной нагрузкой становятся затраты на подарки, поездки и спонтанные покупки. В январе количество заявлений на банкротство физлиц растет, говорит юрист компании «Финансово-правовой альянс» Евгений Боднар. Эксперты советуют заранее определить праздничный бюджет и не увлекаться кредитами. Нельзя …

В Ripple опровергли планы по проведению IPO

Ripple в ближайшее время не намерена выходить на биржу по примеру ряда американских участников криптоиндустрии. Об этом Bloomberg заявила президент финтех-компании Моника Лонг. «У нас нет графика IPO. Ни планов, ни сроков», — подчеркнула она. С начала года статус публичных компаний получили эмитент стейблкоинов Circle, биткоин-биржи Bullish и Gemini, а также платформа криптокредитования Figure. В …

Власти Южной Кореи готовы ужесточить санкции в отношении Северной Кореи

По словам замминистра иностранных дел Южной Кореи Ким Джи На, власти страны, как и их американские коллеги, готовы пересмотреть санкции в отношении Северной Кореи. Координация между Южной Кореей и Соединёнными Штатами важна для борьбы с кражей криптовалюты северокорейскими хакерами, которая может использоваться для финансирования ядерных и ракетных программ Северной Кореи и представлять угрозу для нашей …

Что противопоказано и как жить с бронхиальной астмой

Бронхиальная астма — хроническое комплексное заболевание. Многие пациенты воспринимают это как приговор. Однако при правильном поведении и лечении астматики ведут полноценный образ жизни. В статье рассказывается о том, что можно, а что нельзя таким пациентам, как улучшить качество их жизни. Общая информация Астму нельзя вылечить, но вы можете улучшить качество жизни пациента и жить полноценной …

Как делать расслабляющий массаж воротниковой зоны ребенку

Массаж воротниковой зоны ребенку Массаж зоны ключицы у ребенка помогает уменьшить отечность и накопление солей, что предотвращает развитие болей в спине, плечах и голове. В детстве его назначают как по показаниям, так и с профилактической целью. Несложные приемы помогают сделать это дома. Показания для массажа В профилактических целях массаж воротниковой зоны способствует обильному притоку крови …

Ушиб мизинца на ноге

Никто не застрахован от травм такого типа. Ушибленный розовый палец вызывает резкую боль и множество неприятных моментов. Не позволяйте процессу заживления идти сам по себе, это может привести к серьезным последствиям. Особенности строения мизинца Этот палец имеет довольно сложное строение. Наиболее подвержены травмам мелкие кости и тонкие сухожилия. Ногтевая пластина небольшого размера, а значит, может …

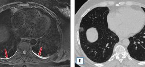
Принципы дифференциальной диагностики пневмонии

Пневмония имеет серьезные симптомы и может привести к серьезным осложнениям и даже смерти. По этой причине очень важно своевременно обратиться к врачу для постановки диагноза и постановки точного диагноза. Диагностика наиболее важна при лечении болезни, поскольку существует множество патогенов. Успех лечения зависит от результатов диагностики. Симптомы и критерии воспаления легких у взрослых Клиническая картина заболевания …

Лучшие лекарственные травы и сборы от бронхита у взрослых

Комплексное лечение бронхита предполагает использование различных лекарственных трав, компонентов природного происхождения. Травы подбираем сами с учетом проверенных рецептов, либо покупаем в аптеке готовый сбор от бронхита. При использовании таких мер всегда необходимо учитывать противопоказания к их применению. Лечебные сборы и настои При бронхите травы применяют самостоятельно или в составе многокомпонентного сбора. Из растений получают отвары, …