Архивы за месяц Октябрь, 2025

Что такое медиастинальная форма рака легких

Рак дыхательных путей является третьей по значимости причиной смерти в Европе. С каждым годом количество заболевших постоянно увеличивается. Рак средостения легкого — одна из редких, но очень опасных форм. Заболевание характеризуется быстрым ростом опухолевых клеток в органах средостения. Общая информация Рак легкого средостения — один из атипичных видов рака дыхательной системы. Для этого вида онкопатологии …

Первая помощь при ранах

Первая помощь при ранениях имеет свои особенности, которые зависят от этиологии и локализации. Поверхностные раны не опасны для жизни, и первая помощь заключается в наложении стерильной повязки. Проникающие раны также требуют большей ответственности, а неправильные действия могут стоить человеку жизни. Рекомендации по оказанию первой помощи и спасению жизни будут рассмотрены ниже. Поверхностная рана Этот тип …

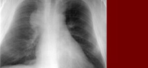
Диагностика и лечение эозинофильной пневмонии (синдром Леффлера)

Эозинофильная пневмония (синдром Леффлера) — редкое заболевание у взрослых, при котором кровь и легочная ткань поражены эозинофилами. Они представляют собой серию гранулярных лейкоцитов, которые имеют двудольное ядро ​​и могут краснеть при воздействии специального вещества — эозина. Отсюда и название этого типа лейкоцитов. Выявить это заболевание можно только с помощью лабораторных исследований. В основном возрастной порог …

Губернатор Ямала Артюхов прямо на совещании признался, что планирует второго ребёнка

фото – крин трансляции совета Губернатор Ямала Дмитрий Артюхов признался, что его семья планирует второго ребёнка. Об этом он сообщил публично – на заседании совета при президенте РФ по реализации демографической политики. Председательствующий на мероприятии спикер СовФеда Валентина Матвиенко спросила у главы ЯНАО, который рассказывал о поддержке многодетных семей, как много детей у него самого. …

Сегодня днем силы ПВО уничтожили 15 беспилотников ВСУ над двумя регионами РФ

Сегодня в период с 12.00 до 16.00 мск средства противовоздушной обороны нейтрализовали 15 украинских беспилотных летательных аппаратов самолетного типа. Как сообщает Министерство обороны РФ, 14 БПЛА сбили над территорией Белгородской области и еще один – в Брянской области. Ранее губернатор Белгородской области Вячеслав Гладков сообщил о массированной атаке беспилотников ВСУ, в результате чего, по предварительным …

Испания присоединилась программе вооружения Киева

Фото pixabay Испания присоединилась к программе закупок оружия для киевского режима у США. Об этом сообщил премьер-министр страны Педро Санчес. «У меня была возможность поговорить с президентом [Украины Владимиром] Зеленским, и я проинформировал его, что мы собираемся присоединиться к этой программе», – цитирует его слова испанская газета El Pais. В публикации, выдержки из которой приводит …

«Яндекс Еда» запустила доставку авторских блюд в Новосибирске

Фото: Яндекс Еда В Новосибирске появилась возможность заказывать еду из премиальных ресторанов города с помощью.Сервис «Ultima Яндекс Еда» уже сотрудничает с более чем 20 ресторанами в городе, среди которых «Магадан», «Горячий Цех», Poketop и другие. Некоторые заведения впервые начали работать с доставкой, к примеру,  «Жерарня», «Териберка», Taqueria del centro. Сейчас доставка доступна в Центральном, Железнодорожном, Заельцовском, …

Психиатр объяснил, почему возникают драки на работе

Психиатр Шуров: драки на работе могут произойти из-за денег и власти Психиатр Василий Шуров сообщил, что драки на работе могут произойти в условиях замкнутого пространства из-за денег и власти. Также может помешать неправильное распределение рабочих обязанностей. Как пишет Сiбдепо со ссылкой на NEWS.ru, конфликты и напряжение могут случиться в любой группе, где люди долго контактируют …

«В окопах все братья». Как уроженцы Средней Азии защищают общую Родину

Тимур Карачев: «Для нас потеря любого мирного — больнее смерти боевого товарища Я российский гражданин, и это мой осознанный выбор», — так объясняет своё решение участвовать в СВО Гайрат Мавлянов из Таджикистана. Его история, как и истории других добровольцев из Средней Азии, — это ответ на мифы о «наёмниках». На фронте для них нет национальных …

Чемпион по следованию правильному пути живет в Севастополе

Спортивное ориентирование Сергей Рыжиков стал обладателем трех медалей чемпионата России по спортивному ориентированию. Севастополец — член спортивной сборной города и страны. Он принял участие в соревнованиях в Волго-Ахтубинской пойме Волгоградской области. Сергей одержал победу в дисциплинах «кросс-выбор» и «кросс-классика общий старт» и стал третьим в «кросс-лонг-общий старт». Спортивное ориентирование – вид спорта, в котором участники при помощи …