Архивы за месяц Октябрь, 2025

Что такое мастопатия молочных желез, и какие причины ее возникновения?

Мастопатия — заболевание, поражающее молочные железы. Какие риски? На какие формы он подразделяется? Каковы причины мастопатии? Есть ли симптомы мастопатии? Когда нужно обратиться к маммологу? Как лечить мастопатию современными методами? Вопросов много, давайте выясним и ответим на них. Мастопатия молочной железы: что это такое, чем опасна, формы и классификация? Мастопатия груди может появиться как у …

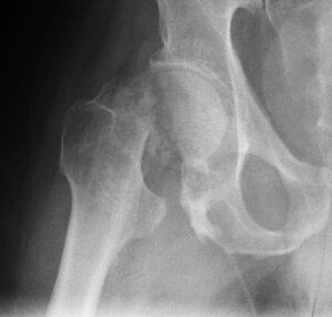
Что такое патологический перелом кости

Патологический перелом — это нарушение целостности кости, возникающее в области патологического ремоделирования. Он отличается от обычного перелома тем, что возникает в результате легкого удара, падения с небольшой высоты или даже простого напряжения мышц. В остальном симптомы этих травм точно такие же, как и при обычном переломе. Причины возникновения патологических переломов Такие травмы являются результатом снижения …

Причины звона в ушах при низком, высоком и нормальном давлении и что делать

Шум в ушах при надавливании — неприятный симптом, сигнализирующий о нарушении артериального давления. Однако эта проблема затрагивает не только людей, склонных к повышенному или пониженному артериальному давлению, но и тех, кто никогда раньше не сталкивался с подобным явлением. Тиннитус поражает даже здоровых людей, которые не жалуются на нестабильную и частую смену давления. Ведь человек в …

Как принимать льняное масло при гиперхолестеринемии

Льняное масло получают из семян методом холодного отжима. Этот процесс обеспечивает сохранение максимального количества витаминов, макро- и микроэлементов, что делает растительный продукт настоящим лекарством. Как принимать льняное масло с повышенным холестерином, чтобы быстро понизить его уровень и нормализовать обмен веществ? В каких случаях использование продукта не рекомендуется? Состав, полезные свойства Линоленовая кислота (Омега-3) влияет на …

Нарост на шейке матки – вариант «не нормы». Основные патологические состояния с такой симптоматикой

Здоровая и неповрежденная шейка матки гладкая. У небеременных женщин отверстие цервикального канала имеет округлую форму, а после родов или увеличения шейки матки оно имеет форму щели. Любое образование на шейке матки должно вызывать бдительность, оно не всегда бывает легким и не проходит само. Что может быть причиной Шейка матки выполняет защитную функцию. Он отделяет полость …

«Ломать баланс — дело неблагодарное»: Путин предупредил о последствиях резкого уменьшения доли нефти из РФ

Путин предупредил о последствиях резкого уменьшения доли нефти из РФВиктория ИльинаРезкое уменьшение количества российской нефти на мировом рынке приведет к росту цен. Так президент России Владимир Путин прокомментировал новые санкции со стороны США и Евросоюза. «Если посмотреть объективно и профессионально на экономическую сторону санкций, что мы видим? Сейчас в США, по-моему, добыча где-то 13,5 млн …

Pave Bank привлек $39 млн с участием Accel и Tether

Необанк получил капитал в размере $39 млн для расширения банковских услуг в сфере цифровых активов. Среди инвесторов — Accel, Tether Investments, Wintermute и Quona Capital. Участники раунда воспринимают Pave Bank как мост между традиционными финансами и цифровыми активами. Необанк Pave Bank, который сочетает традиционные банковские услуги с инфраструктурой для цифровых активов, привлек $39 млн в …

Дональд Трамп угрожает потенциальным участникам БРИКС введением пошлин

Президент США Дональд Трамп пригрозил ввести пошлины против стран, которые намереваются вступить в экономический блок БРИКС. Во время обеда с президентом Аргентины Хавьером Милей в Белом доме Трамп заявил, что «БРИКС — это атака на доллар». В настоящее время более 50 стран стремятся к членству в БРИКС, и движение за создание альтернатив доминированию доллара продолжает …

Особенности туберкулеза внутригрудных лимфатических узлов (бронхоаденит)

Туберкулез внутригрудных лимфатических узлов (сокращенно TBLU) или бронхит (бронхоаденит) — клинический вариант заболевания, характеризующийся развитием специфических поражений в лимфатических узлах корня легкого или средостения. Четких симптомов, которые являются маркерами заболевания, нет. В клинической картине преобладает синдром интоксикации разной степени выраженности и симптомы изменения дыхательной системы. Что такое ТВГЛУ? Туберкулез внутригрудных лимфатических узлов (ILTNT) обнаруживается примерно …

Чем грозит недолеченная пневмония

В медицине термина «нелеченная пневмония» не существует, под ним понимается прекращение лечения по собственной инициативе, а также нежелание пациента выполнять врачебные рекомендации в остром и реабилитационном периоде. Такое неуважительное отношение к собственному здоровью приводит к рецидиву патологии или развитию опасных для жизни осложнений. Патологические процессы в легких могут включать ткани, прилегающие к воспаленным легким — …