
Рак дыхательных путей является третьей по значимости причиной смерти в Европе. С каждым годом количество заболевших постоянно увеличивается. Рак средостения легкого — одна из редких, но очень опасных форм. Заболевание характеризуется быстрым ростом опухолевых клеток в органах средостения.
Общая информация
Рак легкого средостения — один из атипичных видов рака дыхательной системы. Для этого вида онкопатологии характерно множественное поражение лимфатических узлов средостения без локализации очага в легких. Структура и тип клеток зависят от типа первичной опухоли.
Среди всех онкологических заболеваний доля рака легких не превышает 10%. Количество пациентов с формой средостения составляет примерно 1%. Несмотря на то, что заболевание встречается редко, к его обнаружению относятся крайне ответственно. Рак средостения длительное время протекает бессимптомно и чаще диагностируется в терминальной стадии.

К развитию болезни предрасполагают следующие факторы:
- Генетический (случаи рака среди родственников);
- Наличие хронических заболеваний дыхательной системы;
- Тяжелые и изнурительные заболевания;
- возраст старше 50 лет;
- Вредные привычки (в основном курение);
- Профессиональные опасности (работа с асбестом, тяжелыми металлами, ядами, химикатами);
- неблагоприятные условия окружающей среды.
Классификация
Средостенная форма — один из атипичных видов рака легких. Для него характерно быстрое увеличение метастазов в узлах средостения, при этом первичная опухоль может развиваться очень медленно.
Гистологическая классификация основана на клеточной структуре опухоли.
Выделяют следующие виды рака легких:
- плоские (эпидермоидные) клетки;
- маленькая ячейка;
- аденокарцинома;
- большая ячейка;
- смешанный.
В зависимости от степени дифференцировки тканей различают:
- высокодифференцированные опухоли;
- умеренно разнообразный;
- слабо дифференцированный.
В клинической практике также используется классификация, учитывающая стадии патологического процесса.
Стадии
- I — основная опухоль диаметром не более 3 см, расположенная в одном сегменте или в сегментарном бронхе, без метастазов;
- 2. — опухоль имеет диаметр до 6 см, расположена в одном сегменте или в сегментарном бронхе, единичные метастазы;
- III — опухоль больше 6 см, распространяется на соседнюю долю, инфильтрирует бронх, возникают регионарные метастазы;
- 4 — процесс выходит за пределы легкого, распространяется на другие органы; регионарные и отдаленные метастазы.

Симптомы
Клиническая картина рака легкого средостения состоит из нескольких наборов симптомов:
- местные симптомы;
- общие признаки;
- симптомы сдавления органов и сосудов метастазами.
К местным симптомам относятся:
- кашель;
- кровохарканье;
- боль в груди;
- одышка.
Эти симптомы возникают раньше других. Обычно они вызваны ростом первичной опухоли. При раке средостения симптомы легкие.
Общие симптомы следующие:
- слабость;
- усталость;
- повышенная температура тела;
- тошнота;
- потеря аппетита;
- потеря веса;
- депрессия.
Эти симптомы вызваны воздействием опухоли на организм, разрушением тканей и воспалением.
Симптомы сдавления соседних органов и сосудов наиболее характерны для рака средостения легкого. Часто возникает синдром компрессии верхней полой вены. Это затрудняет отток крови из верхней части туловища, а сосудистые и нервные пучки этой области сдавливаются.
Клинически проявляется синдромом компрессии верхней полой вены:
- отек лица и шеи;
- цианоз этой области;
- расширение вен шеи и груди.
Афония или охриплость голоса, затруднение глотания и другие симптомы возникают при сдавлении нерва.
На начальных стадиях рак средостения не дает четкой клинической картины, но по мере прогрессирования заболевания появляются специфические патологические симптомы.
Диагностика
Врач начинает диагностику заболевания с собеседования. Важно выявить все недуги, выявить предрасполагающие факторы. Затем пациент обследуется, проводится физикальное обследование (пальпация, перкуссия, аускультация).
Тогда рекомендуетсяесть исследование, которое включает:
- лабораторные исследования (общие анализы крови и мочи, биохимия, анализы крови на онкомаркеры);
- Инструментальные методы диагностики (рентген, КТ, МРТ, ПЭТ).
Лабораторные данные обычно не показывают особых изменений. Иногда могут наблюдаться признаки воспаления и общего истощения.
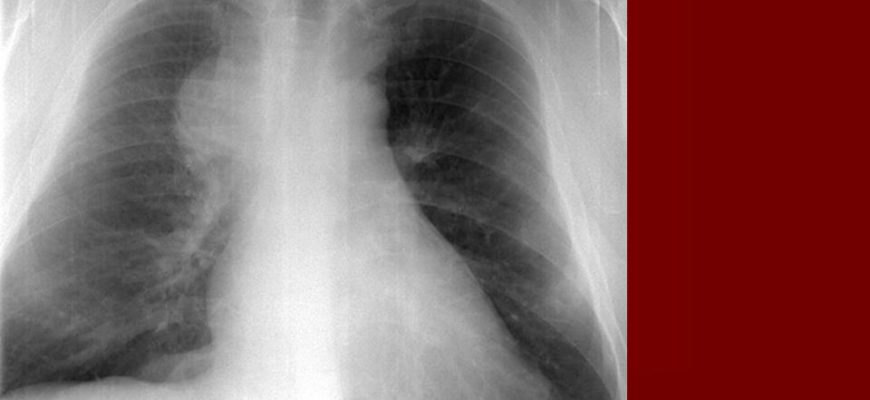
Из инструментальных обследований методом выбора является рентгенография грудной клетки. Изображение выполнено в двух проекциях. При медиастинальной форме рака легкого наблюдается расширение медиальной тени. В некоторых случаях можно увидеть очертания опухоли.
КТ и МРТ показывают большие конгломераты с волнистыми контурами. Позитронно-эмиссионная томография (ПЭТ) показывает скопление контрастного вещества в средостении.

С целью уточнения диагноза проводятся специальные исследования:
- Цитологический анализ мокроты (поиск опухолевых клеток);
- бронхоскопия с биопсией;
- Пункционная биопсия (сбор плевральной жидкости для исследования);
- Медиастиноскопия (обследование органов средостения).
Исследование тканей позволяет поставить точный диагноз и порекомендовать рациональную терапию.
Лечение
Стратегия лечения подбирается индивидуально в каждом случае. Это зависит от гистологического строения опухоли, ее размера и степени метастазирования. Чаще всего терапия комплексная. Это позволяет уменьшить объем хирургического вмешательства и добиться стойкой ремиссии.
Хирургическим методом удаляется часть паренхимы легкого, в которой находится опухоль. В этом случае вместе с пораженной тканью удаляется не менее 2 см здорового легкого по периметру. Также удаляются ближайшие лимфатические узлы. Особенно это касается рака средостения.
В этом случае первичная опухоль имеет очень скромные размеры, а метастатические узлы занимают почти все средостение.
Лучевая терапия используется в сочетании с хирургическим вмешательством или как самостоятельное лечение. Облучают область опухоли и регионарные метастазы. Как самостоятельный метод лечения лучевая терапия применяется при неоперабельных опухолях.
Химиотерапия классифицируется как адъювантное лечение.
Может быть использован
- Перед операцией (для уменьшения объема хирургического вмешательства);
- после операции (для уничтожения остатков раковых клеток);
- в сочетании с лучевой терапией (при неоперабельных формах).
В последние годы стала популярной таргетная терапия. Его суть заключается в преднамеренном уничтожении клонов опухоли. В настоящее время это одно из основных средств лечения плоскоклеточного рака. Активная разработка и тестирование лекарств продолжаются. Эта терапия улучшила пятилетнюю выживаемость у пациентов с немелкоклеточными опухолями.
Прогноз
Рак легкого с метастазами в средостение обычно 3-4 стадии. По этой причине прогноз часто неблагоприятный. Около 87% пациентов умирают в течение 2 лет без лечения. В случае своевременного радикального лечения пятилетняя выживаемость может составить 30%.
Использование химиотерапии или лучевой терапии в сочетании с хирургическим вмешательством может увеличить выживаемость до 40%.
Осложнения
Помимо самого рака, осложнения также опасны для жизни.
- Множественные отдаленные и регионарные метастазы;
- Сильный болевой синдром (возникает при повреждении нервных стволов или метастазах в кости);
- плевральный выпот;
- тромбоз;
- метаболические и иммунологические осложнения (паранеопластический синдром, массивный гемолиз эритроцитов);
- присоединение к вторичной инфекции;
- осложнения, связанные с лечением (хирургические, побочные эффекты лекарственных средств).
Полезное видео
На видео врач-координатор рассказывает о лучших способах диагностики рака легких:
Справочные материалы (скачать)
| # | файл | Размер файла |
|---|---|---|
| 1 |
Статья. Опыт использования медиастиноскопии в диагностике заболеваний с признаками поражения средостенных лимфатических узлов.2018 г. |
126 КБ |
| 2 |
Статья. РЕЗУЛЬТАТЫ РЕЗЕКЦИИ ВЕРХНЕЙ ВЕНЫ У БОЛЬНЫХ РАКОВОЙ БОЛЕЗНЬЮ ЛЕГКИХ И СРЕДИЗЕМНИКОВ.2019 |
690 КБ |
| 3 |
Статья: Роль парастернальной медиастинотомиив диагностике опухолей средостения.2019 |
374 КБ |
| 4 |
История болезни.Периферический рак верхней доли правого легкого T2N0M0. Метастазы в легкое и парротрахеальные лимфатические узлы. |
110 КБ |
| 5 |
Для пациентов с ранним и местнораспространенным немелкоклеточным раком легкого.NCCN.2019. |
7 МБ |
Заключение
Рак средостения легких встречается крайне редко, но эта форма очень тяжелая.Многочисленные метастазы давят на жизненно важные органы, что приводит к нарушению их функций.Лечение этого варианта также не всегда эффективно.Поэтому основная задача — это профилактика и раннее выявление болезни.При обнаружении патологии лечение нужно начинать немедленно.
