Пневмония — это воспаление легких, вызванное инфекцией, которое может быть вызвано бактериями, вирусами или грибками. Это заболевание представляет собой серьезную угрозу для здоровья, особенно для детей, пожилых людей и людей с ослабленной иммунной системой. В данной статье мы рассмотрим основные симптомы пневмонии, методы диагностики и современные подходы к лечению.

Что такое пневмония?
Пневмония — это воспалительное заболевание легких, которое может затрагивать один или оба легких. При этом в альвеолах (маленьких воздушных мешочках в легких) скапливается жидкость или гной, что затрудняет дыхание и обмен кислорода. Пневмония может возникнуть как самостоятельное заболевание или как осложнение других инфекций, таких как грипп.
Симптомы пневмонии
Симптомы пневмонии могут варьироваться в зависимости от тяжести заболевания и возбудителя инфекции. Наиболее распространенные симптомы включают:
- Кашель: Часто сопровождается выделением мокроты, которая может быть зеленой, желтой или даже кровяной.
- Боль в груди: Может усиливаться при глубоком дыхании или кашле.
- Одышка: Чувство нехватки воздуха, особенно при физической нагрузке.
- Лихорадка: Повышение температуры тела, часто сопровождающееся ознобом.
- Усталость: Общая слабость и усталость, которые могут быть выражены.
Методы диагностики пневмонии
Диагностика пневмонии включает несколько этапов:
- Физикальное обследование: Врач выслушивает легкие с помощью стетоскопа, чтобы выявить признаки воспаления.
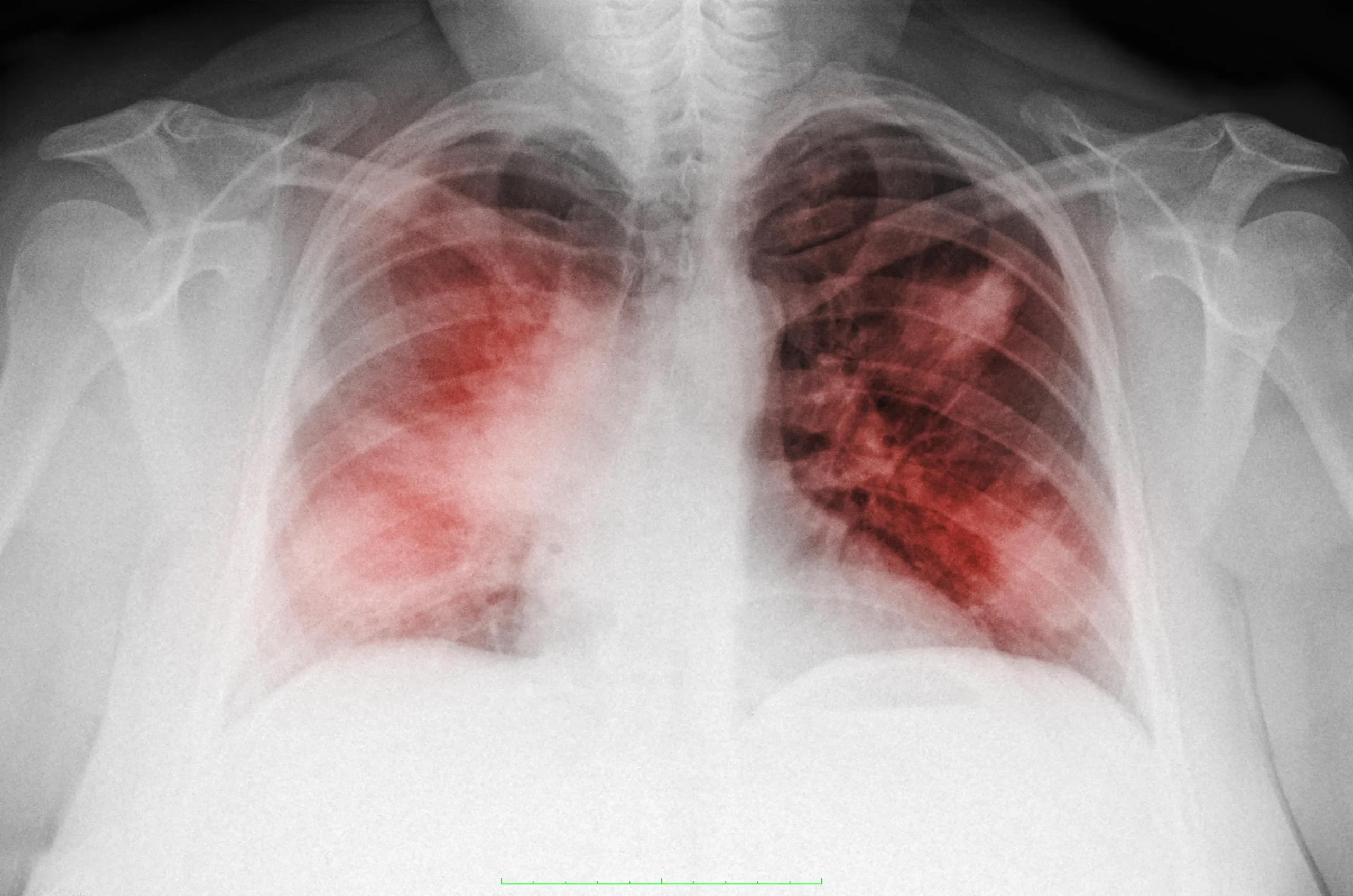
- Рентгенография грудной клетки: Позволяет визуализировать состояние легких и выявить наличие жидкости или воспалительных изменений.
- Лабораторные анализы: Анализ крови и мокроты помогает определить возбудителя инфекции.
Современные методы лечения пневмонии
Лечение пневмонии зависит от ее причины и тяжести. Основные методы лечения включают:
- Антибиотики: Применяются для лечения бактериальной пневмонии. Врач может назначить антибиотики широкого спектра действия или специфические, в зависимости от типа бактерий.
- Противовирусные препараты: Используются при вирусной пневмонии, особенно если заболевание вызвано гриппом.
- Поддерживающая терапия: Включает в себя отдых, обильное питье и использование жаропонижающих средств для снижения температуры.
Профилактика пневмонии
Профилактика пневмонии включает в себя несколько рекомендаций:
- Вакцинация: Вакцины против пневмококка и гриппа могут значительно снизить риск развития пневмонии.
- Здоровый образ жизни: Правильное питание, регулярные физические нагрузки и отказ от курения укрепляют иммунную систему.
- Своевременное лечение заболеваний: Лечение инфекций верхних дыхательных путей и других заболеваний может предотвратить развитие пневмонии.
Заключение
Пневмония — это серьезное заболевание, требующее внимательного отношения и своевременного лечения. Знание симптомов и методов диагностики позволяет быстро обратиться за медицинской помощью. Современные методы лечения, включая антибиотики и поддерживающую терапию, обеспечивают высокую эффективность в борьбе с заболеванием. Профилактика, включая вакцинацию и здоровый образ жизни, играет важную роль в снижении заболеваемости пневмонией.