
При разрыве слоевища пациент испытывает сильную боль и дискомфорт. Это серьезная травма, требующая правильного лечения и своевременной медицинской помощи. Высокая кость расположена между пяточной, большеберцовой и малоберцовой костями. Он небольшой по размеру, но выполняет важную функцию. К пластине не прикреплены мышцы.
Анатомия таранной кости и локализация
Талус редко получает травмы. Он несет на себе весь вес человека. К нему не прикреплены мышцы, но он необходим для нормального функционирования стопы.
Анатомические особенности строения высокой кости:
- Поверхность покрыта хрящом. Если она повреждена или сломана, возникают серьезные проблемы с подвижностью всей стопы.
- Нарушение кровообращения. Неправильное лечение приводит к длительному сращиванию перелома, что приводит к некрозу мягких тканей.
Крестец состоит из задней части, головки и шкива. Передняя часть соединяется с шиловидным отростком локтевой кости. К основному блоку справа и слева прикреплены лодыжки.
Причины перелома
Перелом пяточной кости стопы возникает по разным причинам. В большинстве случаев это падение с большой высоты. Некоторые пациенты не испытывают тяжелого вывиха осколков. Разрушение часто происходит в результате сильного удара и давления.
У пациента смещение сломанного диафиза, полный вывих. В этом состоянии происходит разрыв внутренней суставной капсулы и задних связок голеностопного сустава. Если стержень кости смещен назад, ахиллово сухожилие сжимается. Кожа сдавливается изнутри, поэтому у пациента возникает риск некроза мягких тканей и ишемии.
По статистике, повреждение диска происходит в результате дорожно-транспортного происшествия. В большинстве случаев дополнительно повреждается поясничный отдел позвоночника. Если перелом открытый, вероятность распространения инфекции увеличивается в несколько раз. Можно выделить и другие частые причины:
- толчок пяткой в прыжке;
- Дорсифлексия с вращением стопы;
- Механическое воздействие тяжелым предметом во время занятий спортом.
Во время катания на сноуборде может произойти поломка диска. Мужчина не носит жесткую обувь, поэтому при падении она не обездвиживает стопу и не может предотвратить повреждение костей.

Поломка диска может быть вызвана спортивной травмой.
Характерные признаки перелома таранной кости
Главный симптом перелома высокой кости — сильная и резкая боль. У пациента есть и другие характерные клинические симптомы:
- сильная опухоль;
- иррадиация боли в голеностопный сустав (неприятные ощущения усиливаются при движении стопы или большого пальца ноги)
- Гематома и визуальное искажение стопы.
Маргинальный перелом пяточной кости не вызывает сильного дискомфорта или боли. Объем движений не нарушен. Пациенты с такими симптомами редко обращаются за помощью к травматологу. При отсутствии лечения патология перерастает в хроническую форму, из-за чего у пациента возникают серьезные осложнения и последствия в виде перелома высокой кости.

При переломе пяточной кости голеностопный сустав начинает быстро опухать.
Виды перелома таранной кости и клинические проявления
Лечение перелома высокой кости назначается в зависимости от выраженности клинической симптоматики, а также вида патологии. Существует следующая классификация:
- Переломы заднего отростка высокой кости. Данная патология возникает в результате разрыва определенного фрагмента большеберцово-предплюсневой коллатеральной связки. В результате удара может деформироваться дельтовидная связка. С этой травмой часто сталкиваются спортсмены, в том числе футболисты. Боль возникает при попытке совершать круговые движения стопой.
- Маргинальный перелом высокой кости. При такой деформации стопы пациент испытывает легкую боль и небольшое ограничение движений. Эта патология возникает из-за инверсии, внешнего вращения и осевых нагрузок. Этот типтравмы часто встречаются у сноубордистов.
- Переломы пяточной кости со смещением отломков. Характерный симптом — положение согнутого большого пальца. При попытке больного пошевелить возникает резкая и сильная боль в области щиколотки. В случае перелома поясничного гребня перелом лечится гипсом или хирургическим вмешательством.
- Переломы шейки пяточной кости. На фото этот вид травм диагностируется в 50% всех случаев. Патология возникает в результате дорожно-транспортного происшествия или падения с большой высоты. Механизм травмы основан на принудительном тыльном сгибании стопы с одновременной нагрузкой на ось диска. В большинстве случаев травма бедра происходит одновременно.
При травмах различной этиологии головка голени может сломаться. Для данной патологии не характерен изолированный вариант. Высокая кость имеет сложную этиологию, поэтому в ее окрестностях много источников крови. В результате врачам сложно выбрать метод лечения, определить степень поражения.
Оказание первой помощи
Первая помощь необходима пациенту с подозрением на перелом высокой кости. Для этого соблюдайте следующие правила и рекомендации:
- Обеспечение полного покоя и ограничение движений. Эти меры помогут предотвратить дальнейшие травмы высокой кости. Если это место небезопасно, пациента следует переместить на носилках.
- Пациенту дают обезболивающие согласно инструкции по применению. Наиболее эффективные препараты — Анальгин, Ибупрофен, Нимесил, Кеторол. Они выпускаются в форме инъекций и таблеток.
- Вызовите скорую.
- Если травма носит закрытый вид, необходимо аккуратно снять обувь и носки. Для иммобилизации костей используется шина или повязка.
- При обнаружении открытых ран обработайте их антисептиком.
- К пораженному месту прикладывают холодный компресс. Важно контролировать время, чтобы не произошло обморожения.
Если скорая помощь не приедет или вызвать ее нет возможности, необходимо самостоятельно доставить пациента в больницу. В противном случае вам могут грозить осложнения, длительное лечение и реабилитация.

К пораженному месту прикладывают холодный компресс.
Диагностика
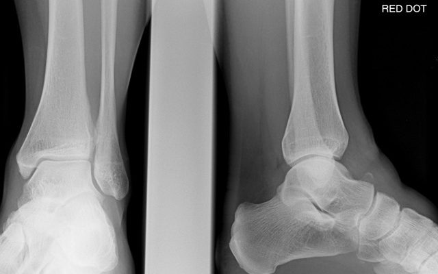
Помимо общего осмотра пациенту требуется комплексная диагностика. Для более тщательного изучения места перелома делают рентгеновские снимки. Вашему врачу потребуются боковые и передние снимки для подтверждения диагноза. Рентген делает шейку бедра полностью видимой.
Проекция Canale производится в зоне максимального эквинуса. Пронация — 15 градусов, снимок сделан под углом 75 градусов. Если изображение нечеткое или рентгенограмма не может быть сделана, выполняется компьютерная томография.

Для подтверждения диагноза делается рентген голеностопного сустава.
Способы лечения
После того, как пациенту поставят диагноз и проведут обследование, врач назначит соответствующее лечение перелома пяточной кости. Комплексная терапия показана только для скорейшего выздоровления.
Консервативное
Способ зависит от формы и степени тяжести заболевания. Если врач не обнаружил смещения, на ногу накладывается гипсовая повязка или шина. Носить его нужно 3-4 недели. Если костные отломки подвижны, производится закрытая репозиция.
В качестве анестезии используется местная анестезия. Последовательность закрытой репозиции:
- стопа пациента вытянута и резко согнута;
- крепление гипсовым башмаком;
- смена повязки и изменение положения стопы;
- Чтобы кости или их фрагменты правильно зажили, необходимо их жестко зафиксировать в правильном анатомическом положении.
Пациенту нужно будет принимать обезболивающие, чтобы облегчить симптомы. При наличии показаний врач может порекомендовать противовоспалительные препараты.

Если нога сломана без вывиха, будет наложена гипсовая повязка, которую пациенту придется носить в течение 3-4 недель.
Оперативное
Если перелом диска серьезный и врачи не могут выполнить закрытое репозицию перелома, пациентпотребует срочного хирургического вмешательства. Иммобилизация стопы выполняется спицами Киршнера. Операция проводится под рентгенологическим контролем.
Если врач обнаруживает некроз одного из отломков, проводится дополнительный артродез. Это сращение и фиксация соседних костей для получения целостного сустава. После завершения манипуляции делается повязка и обрабатывается каждый шов.
Осложнения
Если вовремя не оказать медицинскую помощь, пациент может столкнуться с серьезными последствиями и осложнениями:
- некроз;
- артроз или артроз лодыжек;
- инфицирование пластины (если есть открытая рана и в нее попали бактерии);
- контрактура голеностопного сустава;
- проблемы с ходьбой, если кости не срослись должным образом.
Чтобы предотвратить перелом, следует соблюдать меры предосторожности при ходьбе. Зимой, когда на дороге гололед, не торопитесь. Во время тренировки Носите защитное снаряжение и жесткую обувь.

УВЧ голеностопного сустава ускорит реабилитацию
Реабилитация
Пациенту потребуется длительный период восстановления и реабилитации после разрушения пластины. Гипс необходимо носить не менее 3 недель. Продолжительность зависит от многих факторов — это тяжесть заболевания, степень перелома. Нося гипс, нельзя давить на травмированную стопу.
При ходьбе рекомендуется использовать костыли или трость. Пациенту проводятся физиотерапевтические процедуры, в которые входят:
- магнитотерапия;
- Электрофорез с использованием лечебных растворов;
- УВЧ;
- парафиновые аппликации.
Все процедуры проводятся в амбулаторных условиях. Физиотерапевтические процедуры рекомендуются после наложения пластыря и продолжаются после его снятия. Помимо основного лечения следует назначить прием мочегонных средств, кальциевых, витаминно-минеральных комплексов.
Самостоятельно подбирать лекарства категорически запрещено. Врач обязательно учтет наличие аллергических реакций, а также сопутствующих заболеваний.
После снятия гипсовой повязки осторожно выполняйте упражнения. Принудительная иммобилизация стопы приводит к ослаблению связочного аппарата. Обездвиженные мышцы нужно осторожно тренировать.