Отличия ЭЭГ и МРТ при обследовании головного мозга

Методы визуализации анатомических или функциональных особенностей используются для диагностики аномалий функционирования головного мозга.

При выборе теста внимание уделяется безопасности и надежности. Популярными методами являются магнитно-резонансная томография и электроэнцефалография головного мозга. Они различаются принципом действия, каждый метод информативен при конкретных заболеваниях.

Главные отличия ЭЭГ, МРТ

По сравнению с ЭЭГ — МРТ — молодой метод исследования мозга. С изобретением компьютерного томографа возможности диагностики расширились, каждый метод стал назначаться в зависимости от заболевания.

Давайте посмотрим на особенности каждого из методов:

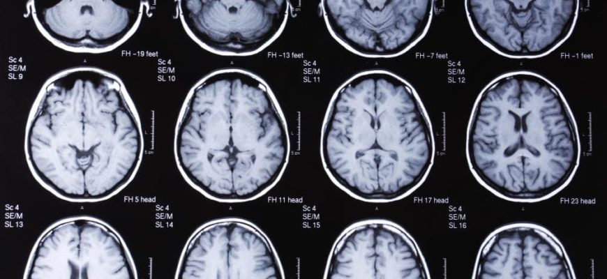
  • МРТ — основана на действии магнитного поля, которое воздействует на атомы водорода в организме. Они меняют свой потенциал, а специальные сенсоры устройства улавливают сигнал и преобразуют его в изображение. На фотографиях показаны структуры головного мозга и патологические структуры. Во время процедуры пациент находится в капсуле аппарата, ему запрещается совершать малейшие движения, что снижает качество изображения.
  • ЭЭГ головного мозга отличается тем, что является графическим отображением его активности. Эти значения считываются специальными датчиками шлема, которые чувствительны к слабым электрическим сигналам от нейронов. Процедура занимает несколько минут, и во время теста пациент может совершать небольшие движения. Главное условие — эмоциональная устойчивость, которая может привести к неверным результатам.

Из сравнения видно, что МРТ отличается тем, что показывает органические изменения в головном мозге, ЭЭГ — физиологические процессы.

В магнитной томографии врач анализирует изображение и после энцефалограммы расшифровывает график.

Информативность методов

При появлении неврологических симптомов врач выбирает один из двух методов в зависимости от заболевания.

Каждый вариант диагностики информативен при одних патологиях и не имеет отношения к другим.

МРТ может помочь определить:

  • травмы;
  • кровоизлияния;
  • нарушения кровообращения;
  • закаливание нервной ткани;
  • сосудистые изменения и аномалии;
  • местное воспаление;
  • опухоль головного мозга.

Симптомы этих состояний видны на снимках; Для повышения информативности проводится тест на контрастность.

Заболевание диагностируется по разрушению нервной ткани или сосудов, ее утолщению или гипоплазии.

ЭЭГ рекомендуется при длительных физиологических нарушениях, экстренное обследование проводится редко. Полученная таким образом диаграмма используется для расчета нарушений мозговой деятельности в определенных областях.

Исследование энцефалограммы поможет в диагностике:

  • эпилепсия;
  • гипертония;
  • психические расстройства;
  • нарушение сна.

По косвенным признакам ЭЭГ определяется онкология, инсульт. В этом случае МРТ более надежна, но если ее невозможно провести, проводится энцефалограмма.

Достоинства и недостатки методов

Оба метода безопасны и используются повторно для постановки точного диагноза.

Но у каждого варианта есть положительные стороны и недостатки — поговорим о них подробнее.

Перечислим достоинства и недостатки магнитной томографии:

  1. Достоинства — эффективное устройство дает детальное изображение сканируемой области. Это позволяет выявить патологический участок, оценить состояние окружающих тканей и сосудов.
  2. Недостаток — обследование проводится только в диагностическом кабинете, время ограничено. Томограф не показывает очагов возбуждения, запрещено проводить процедуру беременным, наличие ортодонтических аппаратов, металлических коронок, кардиостимуляторов, инсулиновых помп.

Плюсы и минусы ЭЭГ:

  1. Плюсы: Обследование проходит у постели больного. Процедуры можно проводить в течение длительного периода времени и распознавать медленную патологию. Устройство показывает нейронную активность.
  2. Минусы — врач не видит тканевых структур, есть ошибка определения очага поражения. Незначительные патологические изменения остаются незамеченными.

Ограничения к исследованию

Для начала отметим общие противопоказания к проведению ЭЭГ или МРТ головного мозга:

  1. Тяжелая травма головы — при повреждении мягких тканей и кровотечении.
  2. Психические расстройства и интоксикация — в этом случае существует риск неадекватного поведения пациента, прерывания процедуры или повреждения оборудования.

ЭЭГ не имеет противопоказаний, метод безопасен и проводится по протоколу.

МРТ имеет более широкий перечень ограничений — исследование запрещено при следующих условиях:

  • первый и третий триместры беременности, период лактации;
  • ортодонтические аппараты, металлические коронки;
  • кардиостимулятор в организме или инсулиновая помпа;
  • непереносимость контраста;
  • сильное ожирение;
  • клаустрофобия.

Последнее противопоказание трактуется как относительное противопоказание, при легкой клаустрофобии обследование проводится, если пациент способен преодолеть тревогу.

Какой метод безопаснее

ЭЭГ безопаснее из-за меньшего количества ограничений. МРТ хуже и отличается только при игнорировании списка противопоказаний — магнитные волны вредны для ребенка на ранних сроках беременности, они обездвиживают электронные устройства в организме.

Цены на диагностику

Стоимость зависит от года выпуска прибора, на котором проводится проверка, прейскуранта медицинского центра и цен в регионе.

Обследование с энцефалограммой стоит в среднем 2000-5000 рублей. Стоимость МРТ от 5 500 до 11 000 рублей. Стоимость вырастет на 1000-2000 рублей, если использовать успокаивающее средство.

Магнитно-резонансные изображения позволяют детально рассмотреть органическую патологию, не могут выявить физиологические нарушения.

ЭЭГ показывает активность нейронов и играет важную роль в диагностике психосоматических расстройств. Оба метода безопасны и дополняют друг друга в сложных клинических случаях.

Источник — http://mdc51.ru/otlichiya-eeg-i-mrt-pri-obsledovanii-golovnogo-mozga.html

Добавить комментарий

Ваш адрес email не будет опубликован. Обязательные поля помечены *