Лечение прикорневой пневмонии у детей

Высокая восприимчивость детей к различным инфекционно-воспалительным процессам является следствием их слабого и неразвитого иммунитета. Одна из самых опасных патологий — бронхопневмония.

Заболевание коварное, ведь вовремя поставить диагноз сложно, так как воспаление находится в необычном месте — в корне легкого.

Как протекает патология, как распознать первые симптомы? Узнайте об этих и других функциях в этой статье.

Что это такое?

Радикальная пневмония — воспалительный процесс нижних дыхательных путей, отличающийся специфическим расположением очага заболевания. Из-за нетипичного расположения между легкими и бронхами эта патология входит в список самых опасных поражений. Инфекция вызывает воспаление альвеолярной и интерстициальной ткани (расположенной в воротах легкого).

В начальной стадии развития бронхиальной пневмонии нет характерной симптоматики: дыхание остается прежним, шумов и повышения температуры нет.

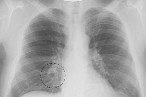
Выделение патологии в отдельную группу оправдано тем, что она имеет специфические диагностические, клинические и прогностические свойства. Этот тип пневмонии сложно визуализировать на рентгеновских снимках, потому что локализация похожа на корень легкого.

Обнаружение заболевания в запущенной форме может вызвать осложнения — это абсцесс и пневмоторакс (скопление гноя в плевре). Клиническая картина бронхопневмонии у детей характеризуется хроническим течением с чередованием периодов обострения и ремиссии.

Далее периостит подразделяется на несколько типов:

  1. Правая рука. Чаще всего развивается у маленьких детей.
  2. Левая сторона. Наблюдается у детей с недостаточной дренажной функцией (возникает гиперемия).
  3. Опухолевый. Бронхи сдавливаются у корня и доли легких разрушаются (ателектаз). Из-за таких нарушений возникает дыхательная недостаточность. Заболевание протекает более спокойно, без жара и кашля. Хорошо подходит для терапии.
  4. Воспаление. Состояние ребенка тяжелое, симптомы очень выражены. Трудно лечить.

На развитие заболевания у детей раннего возраста влияют нарушения развития плода, врожденные пороки сердца (которые подразумевают нарушения кровотока), сезонные эпидемии ОРЗ, хронические заболевания (рахит), плохой рост и задержка физического развития. развитие, частые переохлаждения. Если ребенок пассивный курильщик, это тоже провоцирует развитие пневмонии.

Первые признаки и симптомы

Симптомы патологии в начальной стадии легко спутать с ОРЗ. Пневмония вызывает сухой кашель и насморк, сонливость и снижение аппетита. Температура тела повышается незначительно или остается нормальной, первоначально на уровне 37,5 ° C. По мере прогрессирования болезни появляются следующие симптомы:

  • высокая температура, которую невозможно снизить с помощью лекарств (более 39 ° C);
  • вы слышите специфические хрипы;
  • выраженные симптомы интоксикации: обезвоживание, головная боль, увеличение лимфатических узлов;
  • детская потливость;
  • интенсивность кашля увеличивается.

Особенности у детей от 1 года

У детей с 1 года корневая пневмония имеет волновое течение: ремиссии чередуются с обострениями.

Продолжительный и медленный процесс ослабляет защитные силы иммунной системы.

Во время обострения ребенку не хватает воздуха, он чувствует боли в груди. Еще один характерный симптом — цианоз (посинение), которое появляется на коже и слизистых оболочках.

Если у вашего ребенка 3 или более общих симптома, немедленно обратитесь к врачу.

Выраженность у грудничков до 1 года

Заметить патологию на ранней стадии можно только при ежедневном комплексном обследовании ребенка. Симптомы пневмонии включают:

  • пониженный аппетит (малыш кричит о груди, но вялый);
  • Помутнение кожи вокруг носогубного треугольника (хорошо видно во время кормления)
  • учащенное дыхание (при вдохе кожа между ребрами отступает).

Также нормальное поведение у младенцев может измениться: отот пассивного и апатичного до чрезмерно возбудимого.

Диагностика

Выявление патологии у ребенка — сложный процесс, потому что малыши не могут четко сформулировать свои ощущения и указать места боли. Педиатр или пульмонолог ставит диагноз и назначает лечение.

Наличие пневмонии в организме ребенка можно подтвердить только после рентгенологического исследования и проведения лабораторных исследований. Если диагностирована колющая пневмония, необходим дифференциальный диагноз, чтобы отличить эту патологию от туберкулеза и онкологии бронхов.

Как диагностируется пневмония у детей? Выполняются следующие тесты:

  1. Рентген. На фото виден затемненный участок.
  2. Визуальный осмотр у врача.
  3. Аускультация — Выслушивание звуков дыхания, шепота.
  4. Общий анализ крови и мочи. Анализ газового состава крови.
  5. Микроскопическое исследование мокроты. Бронхоскопия.

Лечение

Детей до 1 года обязательно госпитализируют для лечения подострой пневмонии.

Патология не заразна, а коварна по развитию опасных последствий. Поэтому курс лечения выбирается сразу после постановки диагноза.

Общие принципы терапии — комплексность, устранение причины и купирование симптомов.

Препараты назначают в зависимости от возраста и веса ребенка:

  • антибиотики широкого спектра действия;
  • противовирусное или противогрибковое;
  • Жаропонижающие (от лихорадки);
  • витамины;
  • бронходилататоры.

Дополнительной мерой терапии является поддержание водного баланса и отказ от тяжелой пищи. Для устранения проблем с дыханием назначают небулайзер на травах. При улучшении состояния ребенка показана физиотерапия (УВЧ, массаж, согревание, обертывания). При сердечной слабости назначают сердечные гликозиды.

Прогноз благоприятный при своевременном и правильном лечении. Дети, перенесшие пневмонию, проходят регулярные осмотры в больнице (это сводит к минимуму рецидивы). После выздоровления родителям важно укрепить защитные силы ребенка и улучшить дыхательную функцию. Физиотерапия и санаторно-курортное лечение рекомендованы детям любого возраста в период выздоровления после болезней.

Особенности при правосторонней форме

Эта форма обычно возникает как вторичная пневмония на фоне плохо леченных острых респираторных инфекций.

Основой терапии правосторонней бронхопневмонии является прием антибактериальных препаратов и другие меры:

  1. Антибиотики. Цефалоспорины второго-третьего поколения, сульбактомакс. При обострении их вводят внутримышечно, а затем внутривенно.
  2. Инфузионная терапия. Растворы глюкозы (5%) и гидрохлорида натрия (0,9%) вводятся через внутривенный катетер. Цель — вывести токсины, остановить синдром гипертермии.
  3. Прием отхаркивающих средств.
  4. Обязательный прием пробиотиков для поддержания микрофлоры кишечника: специальные йогурты или продукты с лакто- и бифидобактериями.
  5. Сиропы на основе парацетамола или ибупрофена используются для снижения температуры. При отсутствии эффекта целесообразно вводить литическую смесь (растворы анальгина, папаверина и димедрола в одном шприце).

Во время лечения важно измерять уровень кислорода в крови. Если состояние ухудшается и уровень падает ниже 95%, ребенок должен получать кислород через маску. Если эффекта нет (если дыхательная недостаточность продолжается), необходима интубация и перевод на искусственную вентиляцию легких. Это предотвратит апноэ.

Справочные материалы (скачать)

Щелкните соответствующий документ, чтобы загрузить его:

# файл Размер файла
1

История болезни. Правосторонняя очаговая пневмония нижней доли. ДН — II степень. острый бронхит

143 КБ
2

История болезни на сегодняшний день. Тяжелая, острая внебольничная правосторонняя пневмония нижних долей

170 КБ
3

Методологическая разработка. Пневмония у детей раннего возраста 2016

605 КБ
4

Клинические рекомендации. Внебольничная пневмония у детей

1 МБ
5

Вакцинопрофилактика пневмококковых инфекцийу детей.Клинические рекомендации

649 КБ
6

Рациональная антимикробная фармакотерапия

4 МБ
7

Дифференциальная рентгенодиагностика заболеваний органов дыхания и средостения t1 1991 г.

7 МБ
8

Использование отхаркивающих средств

32 КБ

Заключение

В заключение, корешковая пневмония представляет особый риск для здоровья ребенка из-за сходства симптомов с острыми респираторными инфекциями и сложности последующего диагностического процесса.Если диагноз подтвержден, лечение является немедленным и комплексным.В период выздоровления следует проводить профилактические мероприятия.Качественное лечение ОРЗ, сбалансированное питание, закаливание организма, повышение иммунитета помогут предотвратить возможное рецидивирование болезни.

Источник

Добавить комментарий

Ваш адрес email не будет опубликован. Обязательные поля помечены *