
Рентген грудной клетки по-прежнему является золотым стандартом в диагностике большинства респираторных патологий.
Пневмония не исключение; признаки патологии обнаружить на рентгеновском снимке несложно. Рентгенологическое исследование важно для постановки точного диагноза, а также играет ключевую роль при дифференциальном обследовании. Важно иметь общее представление о том, как выглядит пневмония у взрослых и детей.
Рентген снимок атипичной пневмонии
Атипичная пневмония — это собирательный термин, который включает инфекционные и воспалительные поражения легочной ткани. Причина — неспецифические возбудители — микоплазма, хламидиоз, легионелла, вирусы. Пневмония протекает с повышением температуры тела, одышкой, общим недомоганием.

Патологический процесс можно диагностировать с помощью рентгена. Таким образом, форма микоплазмы характеризуется гетерогенной инфильтрацией легочной ткани и может быть плохо выраженной или умеренной интенсивности.
При легионеллезе на снимке видны круглые инфильтраты, расположенные на поверхности одной доли легкого. В некоторых случаях инфильтраты сливаются.
Плеврит присутствует у 25% пациентов одновременно с пневмонией с небольшим скоплением секрета в плевральной полости.

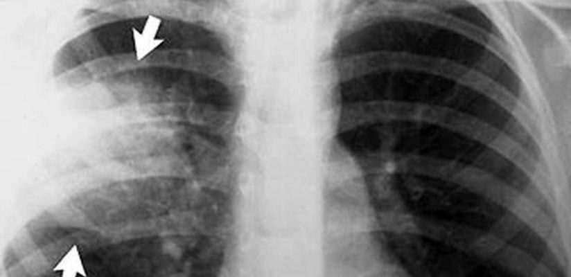
Правосторонняя бронхолегочная пневмония
Практически невозможно отличить Legionella pneumonia от других на основе этого метода тестирования. Наличие легионеллы или хламидиоза подтверждается серологическим анализом крови.
Отдельного внимания заслуживают воспаления неинфекционной этиологии. Одна из таких форм — инфаркт миокарда, который развивается из-за сгустка, попавшего в легкое из легочной артерии. На рентгеновском снимке он выглядит как очаговое поражение с относительно четкими очертаниями.
Другой вид неинфекционной пневмонии — аспирационная. Причина — попадание содержимого пищеварительного тракта в дыхательные пути. Этот вид патологии характеризуется множеством симптомов, имитирующих различные заболевания легких.
Как правило, изображение имеет равномерную резкость, контуры относительно четкие. Для контроля лечения аспирационной пневмонии рекомендуются повторные рентгенологические исследования.
Как выглядит заболевание на рентгеновском снимке
Признаки пневмонии на изображении называются «затемнениями», они отображаются белым цветом, потому что само изображение негативное.
Рентгеновские пятна и следы:
- До 3 мм — небольшой огонь.
- До 7 мм — среднее фокусное расстояние.
- До 12 мм — большое фокусное расстояние.
- От 12 мм и более — фокусное расстояние.
Пневмония на снимке, в частности затемнения, характеризуются следующим:
- Распространение. Визуализация в пределах одного сегмента.
- Промежуточный итог. Потемнение большей части поля органа или нескольких сегментов.
- Все вместе. Патологический процесс поражает всю площадь легочной ткани.

Тяжелая пневмония слева
Дифференциация пневмонии от других патологий лёгких
Важным этапом диагностики остается отличить его от других заболеваний легких, коронавирусов. Например, при бронхите на изображении не будет темноты, вместо этого будет усиление узора легких.

Усиление легочного рисунка
При наличии инородного тела появляется затемнение с отчетливыми краями, расположенное в нижней доле легкого. Его сложно спутать с воспалением типичного характера.
При плеврите на снимке видно скопление экссудата в пораженной области. Плевра возникает как осложнение нелеченой пневмонии.

Характерный уровень жидкости при пневмотораксе. На фото он виден как светлый, а легочный узор не виден.

Первичное обследование — рентген, при необходимости рекомендуется компьютерная томография.
Пневмония на детских рентген-снимках
Пневмония на рентгеновских снимках у пациентов детского возраста не имеет четких отличий от взрослых, патология также характеризуется очагами свечения и затемнения. У детей в воспалительный процесс вовлекаются нижние легкие.
Рентгенограммы показывают следующие особенности:
- очаговые затемнения диаметром 1-2 мм;
- увеличенные лимфатические узлы внутри груди;
- деформация и усиление сосудистого изображения легких;
- повышенная плотность затемнения (запущенная патология);
- изменение структуры и размеров легочного корня в области патологического очага.

Хотя общая картина детского рентгеновского снимка не отличается от таковой у взрослого, есть некоторые отличия. Во-первых, это повышенная чувствительность функций иммунной системы. Следовательно, даже небольшая инфильтрация может вызвать воспалительную реакцию в обеих долях легкого.
При диагностике ребенка можно ошибиться, что связано с небольшим объемом легочной ткани и повышенным наличием изображения легкого.
Могу ли я отказаться от рентгеновского обследования в случае пневмонии? Это правда, что диагностика при подозрении на пневмонию не является обязательным обследованием. Однако отказ от рентгеновского снимка не позволит врачу установить диагноз, а значит — назначить соответствующее лечение. Альтернативные методы диагностики — компьютерная томография и магнитно-резонансная томография.
Источник — http://mdc51.ru/kak-vyglyadit-pnevmoniya-na-snimke.html