
Бронхит — это воспаление бронхиол, а пневмония поражает альвеолы в легких. Когда воспаление возникает в легких, часто поражаются бронхи, то есть концевые отделы бронхиол.
В этой статье мы подробно и со всех сторон рассмотрим, чем отличается бронхит от пневмонии у детей.
Отличие симптомов у детей
Бронхит и пневмония у детей довольно распространены и доставляют массу неприятностей хотя бы потому, что различить непросто. Простуды различаются по вирусу — возбудителю и особенностям течения болезни.
Бронхит и пневмония у детей имеют разные симптомы. Давайте посмотрим на них ниже.
Воспаление легких (пневмония) — это инфекционное заболевание, при котором поражаются ткани легких. Затем повреждаются бронхи и бронхиолы. Это вызвано респираторной инфекцией, которая распространяется через дыхательные пути.

Заболевание имеет бактериальную этиологию, здоровье ребенка находится под угрозой и требует немедленного лечения у специалистов. Чем отличается пневмония по симптомам:
- боль в области груди при вдохе или кашле;
- одышка;
- сердцебиение;
- утомляемость и головная боль;
- развитие неглубокого голоса;
- тремор связок при разговоре;
- бледное и голубоватое изменение цвета кожи.
При бронхите воспалительный процесс поражает слизистую бронхов, начальная стадия — это сухой кашель, который вскоре переходит во влажный кашель. По всей груди слышен хрип.
Дополнительные символы:
- небольшое повышение температуры;
- тяжелое дыхание с тяжелыми хрипами;
- давящая боль в груди.
Не следует забывать, что пневмония может быть разной и зависеть от характера возбудителя и основного состояния пациента. При микоплазменной пневмонии симптомы характерны для бронхита, только с помощью рентгена можно диагностировать заболевание.
Как отличить одно от другого?
Пневмония обычно возникает в результате попадания в организм бактерий, а бронхит — вируса. В некоторых случаях эти заболевания могут дополнять друг друга, но на начальной стадии понятно, как отличить пневмонию от бронхита у детей.
Бронхит и пневмония — отличия у детей в зависимости от клинической картины:
| Пневмония | Бронхит |
| Боль в груди при дыхании, кашле, боль в боку — болезненного, длительного характера | Боль в груди спастического характера |
| Сухой шелушащийся кашель с выделением крови или гноя при кашле. | Сухой кашель с постепенным откашливанием слизи |
| Температура выше 39 ° C | Температура до 38 ° C |
| Дыхание тяжелое, поверхностное, хрипящее, может быть сухим или влажным. | Дыхание затруднено, с хрипом и свистом. |
| Состояние больного ухудшается, появляется озноб, одышка, недомогание и головные боли. | Состояние пациента улучшается через 1-2 недели. |
| Отек кожи — бледно-голубой оттенок | Без изменений |
| Дребезжащие звуки в определенных местах | Шепот слышен по всей груди |

Характерные отличия бронхита от пневмонии у детей:
- Анализ крови для выявления возбудителя — бронхит чаще вызывается вирусами, а пневмония — бактериями.
- При бронхите наблюдается локальный отек и другие симптомы воспаления дыхательных путей, а при пневмонии — изменения альвеол.
- Специалист выслушает грудную клетку и определит, где возникает воспаление.
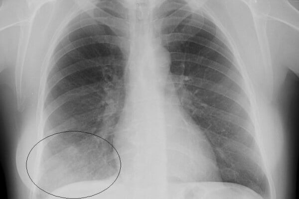
- На рентгенограмме виден участок поражения — местное потемнение при пневмонии.
- Мокрота при бронхите — более редкое явление, но при пневмонии — частый симптом.
При инфекции в легких слизь смешивается с кровью, гноем и выделяет неприятный запах — это не характерно для симптомов бронхита. Повышение температуры тела резкое, трудно устранить жаропонижающими средствами.
Осложнения после ОРВИ и Гриппа

При отсутствии леченияили неэффективный подбор препаратов, бронхит может перерасти в пневмонию. Наблюдается сильная интоксикация организма, снижение аппетита, тошнота, рвота, повышение температуры тела до 39 ° С и выше.
После лечения ОРЗ кашель сохраняется более 2-3 недель, мокрота из легких не выводится, при кашле немного гноя или крови, снова повышается температура — это свидетельствует о вторичной инфекции.
Правильный диагноз может поставить только специалист после рентгенографии легких — затемнения могут наблюдаться при пневмонии. Ухудшить положение пациента могут различные факторы:
- самолечение;
- неэффективный подбор препаратов;
- неправильный диагноз;
- низкий иммунитет;
- несоблюдение врачебных рекомендаций;
- хронические аномалии дыхательных путей.
Избежать осложнений можно, если на первой стадии болезни посетить врача-специалиста, педиатра или детского пульмонолога и следовать всем указаниям врача. Дополнительно необходимо укреплять иммунную систему ребенка различными методами — правильным питанием, приемом фармакологических и народных средств для укрепления защитных сил организма.
Профилактика

Чтобы не бояться бронхита и пневмонии, ребенку необходимо предоставить полный комплекс родительской заботы.
Профилактические мероприятия должны включать комплексный уход за всем телом и органами дыхания.
Поддержание в квартире оптимального влажностного режима около 60%, температуры воздуха в жаркие дни до +20 ° C, употребление достаточного количества жидкости для легкого отхождения мокроты и различных инфекций.
Профилактика хронического бронхита должна проводиться в специализированных лечебных комплексах — санаториях с горным и степным ландшафтом. Однако следует помнить, что резкое изменение температуры может привести к обострению болезни.
Лекарственными средствами являются вакцины «Превенар», действие которых заключается в облегчении передачи болезни при воздействии на организм инфекционных патогенов.
Что такое бронхопневмония?
Бронхопневмония — это инфекция нижних дыхательных путей, бронхов и альвеол. Это следствие бронхита или острых респираторных инфекций, чаще всего при запущенном лечении. Симптомы у детей часто расплывчатые и легкие:
- лихорадка от 35 до 37,5 ° С;
- одышка;
- одышка;
- снижение активности, ребенок становится апатичным;
- отсутствие аппетита.

Строение дыхательной системы у детей способствует проникновению инфекции непосредственно в бронхи и легкие. В результате развивается бронхит и пневмония, включающая проявление двух заболеваний — бронхита и пневмонии.
При бронхопневмонии воспалительный процесс локализован, характеризуется болезненными ощущениями на месте отека — тянущими болями в бронхах, особенностью заболевания является длительное лечение, исключающее возникновение рецидивов.
Заключение
Диагностировать пневмонию или бронхит у ребенка в домашних условиях и подобрать правильное лечение очень сложно. Чтобы избежать всевозможных осложнений, ребенку необходимо посетить врача, который поставит правильный диагноз и подберет эффективное лечение.