
Инфильтративный туберкулез легких — клиническая форма вторичной туберкулезной инфекции с тенденцией к быстрому прогрессированию и распространению специфического воспаления. Считается, что выявление этого вида туберкулеза — результат нераспознанной первичной инфекции.
Высокая частота инфильтративной формы среди трудоспособного социального класса диктует необходимость знать основные симптомы и особенности диагностики заболевания.
Что такое инфильтративный туберкулез?
Инфильтративный туберкулез развивается после первичного туберкулеза легких (бессимптомного или клинически выраженного). Причины реактивации первичной вспышки возникают на фоне снижения иммунитета и устойчивости к инфекции. Чаще всего инфильтративная форма заболевания возникает у людей молодого и среднего возраста.
Выявлено, что при недостаточной организации работы по выявлению первичных форм туберкулеза легких многократно возрастает риск развития инфильтративного варианта. Поэтому в фитологии анамнез больного инфильтративным туберкулезом легких в подавляющем большинстве случаев позволяет предположить, что первичное инфицирование произошло раньше.
Описанная форма туберкулеза выявляется у 65-75% впервые выявленных больных. В то же время пациенты с инфильтративным вариантом составляют 50% больных активным туберкулезом.
Туберкулез в фазе инфильтрации — воспалительный очаг с интенсивной экссудативной реакцией на окружающие ткани, в результате чего процесс болезни быстро распространяется. Инфильтрат может включать в себя свежий очаг туберкулеза — следующую стадию очаговой формы, а также обширную область перифокального воспаления старого, реактивированного очага туберкулезной инфекции.

Инфильтративный туберкулез заразен почти во всех случаях. Пациенты с таким диагнозом представляют опасность для окружающих, особенно если речь идет о кариозной полости.
Бактериальные посевы, бактериоскопия и гистологическое подтверждение патологии являются основанием для определения кода заболевания. Таким образом, код МКБ-10 для положительного бактериоскопического инфильтративного туберкулеза с любым результатом посева — A 15.0; при племенном росте — А 15,1; при положительном гистологическом исследовании — А 15.2. При отрицательном результате анализа заболеванию присваивается код А 16.1 или А 16.2.
Заразен или нет?
Длительный, прямой и тесный контакт с бактериостатическим пациентом имеет особое значение для развития первичной инфекции. Заражение чаще всего происходит в семье или в социальной среде.
Микобактерии в каплях слюны, мокроте и пыли проникают в легкие здорового человека. Макрофаги в альвеолах поглощают стержни Коха. Более того, если иммунные функции макрофагов не нарушены, бактерии погибают внутри клеток. Если макрофаги не могут убить микобактерии, развивается первичный туберкулез.
Постепенно в легких образуется очаг, у большинства пациентов вырабатывается достаточный иммунитет, а инфекционный процесс подавляется на протяжении всей жизни. Прекращается размножение бактерий, в первичном очаге остаются небольшие остаточные следы, заметные на рентгеновских снимках.
В случае недостаточной иммунной активности туберкулез развивается в первичном очаге. Инкубационный период с момента воздействия на организм неблагоприятных факторов до реактивации старой вспышки может длиться несколько месяцев.
Патогенез повышенного экссудата вокруг очага туберкулезного воспаления основан на:
- массивная суперинфекция палочками Коха;
- Тяжелые сопутствующие заболевания (сахарный диабет, ВИЧ-инфекция, декомпенсированные эндокринные заболевания, вирусные гепатиты, онкологические заболевания);
- Психоэмоциональное напряжение;
- алкоголизм;
- вредные условия труда;
- естественные гормональные изменения в организме (половое созревание, беременность);
- односторонние диеты, неправильное питание, голод;
- прием глюкокортикоидов, иммунодепрессантов, цитостатиков;
- недостатки в тактике лечения.
Традиционно инфильтративная форма развивается в 1, 2 или 6 сегментах верхней доли правого или левого легкого, как и другие туберкулезные поражения.
Инвазивный TBC подвергается следующим клиническим и радиологическим состояниямэтапы развития:
- Бронхоальвеолярная инфильтрация. Снижение активности клеточного иммунитета приводит к очень быстрому размножению микобактерий, характеризующихся наличием высокоинфекционных форм палочек. Тканевые реакции вокруг существующего очага туберкулезного воспаления представлены чрезмерной экссудацией. Отросток выходит за пределы дольки, образуя бронхоальвеолярный инфильтрат более 1 см в диаметре.
- При относительно нормальном иммунном ответе образуется круговой инфильтрат, способный до некоторой степени ограничивать экссудат.
- Мутный туберкулезный инфильтрат — результат быстро прогрессирующего экссудативного воспаления с выраженным иммунным нарушением. Процесс может быть для одного сегмента или для нескольких сегментов. При этом виде патологии образуется полость некроза казеина. В стадии распада создаются условия для дальнейшего распространения микобактерий по бронхам и лимфе. Так в легких образуются новые очаги туберкулеза.
- Дольковая инфильтрация — это поражение, охватывающее всю долю легкого (лобит).
Симптомы и признаки
Стандартные симптомы туберкулезной инфекции типичны для инфильтративного туберкулеза. При этом чем крупнее инфильтрат, тем более выражена клиническая картина.
Как при бронхоальвеолярных, так и при круглых инфильтратах обнаруживаются симптомы:
- снижение работоспособности, утомляемость;
- подавление аппетита;
- периодическое повышение температуры тела после тренировки, по вечерам до незначительных значений;
- Иногда сухой кашель.
Инфильтративный туберкулез на начальных стадиях относится к тем формам заболевания, которые выявляются случайно при проведении флюорографии.
Мутный инфильтрат в процессе развития характеризуется наиболее значительными клиническими симптомами:
- Резкое начало (гриппоподобное) с выраженной интоксикацией и ухудшением общего самочувствия;
- кашель с мокротой;
- появление полосок крови и примеси свежей крови в мокроте в случае некроза и казуистического разложения;
- Боль при дыхании, если поражена плевра;
- субфебрилитет.
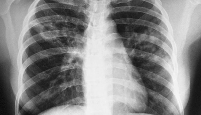
Диагностика включает физикальное, лабораторное и инструментальное обследование, рентгенографию и компьютерную томографию, а также бактериоскопические и микробиологические исследования.
В начальный период изменений перкуссии и аускультации не выявлено. У пациентов с мутными инфильтратами может наблюдаться задержка дыхания на пораженной стороне грудной клетки, а также напряжение и боль в мышцах над лопатками. При перкуссии шум в легких укорачивается, а при аускультации выслушиваются неглубокие альвеолярные шумы. Срыв сопровождается кашляющим звуком вдоха. Эти изменения характерны для верхних долей легких.
Бактериопсия, бактериальный тест и ПЦР используются для выявления бактериурии. При бронхиолобулярных и круглых инфильтратах посев и люминесцентная микроскопия чаще бывают положительными, а для мутного очага характерны положительные результаты всех видов тестов.
Бронхоальвеолярный инфильтрат на рентгенограмме выглядит как очаговая штриховка в верхней доле неправильной формы, интенсивность небольшая, диаметр не превышает 3 см. Эта область вытянута в сторону корня легкого, контуры ее размыты. Компьютерная томография показывает экссудативное воспаление вокруг небольших разделяющих бронхов, которое образует инфильтрат.
Периферический инфильтрат подходящего оттенка по форме, средней интенсивности и четких контуров.
Инфильтративный туберкулез легких в фазе распада и инфильтрация на рентгенограмме показывает кавернозное просветление в центре инфильтрата, а в нижних частях видны очаги бронхогенного распространения микобактерий.
Мутный инфильтрат на рентгеновском снимке имеет вид неравномерного затенения, локализованного в одном или нескольких сегментах. Контуры размыты, на пораженном участке могут быть небольшие полости.

При общем исследовании крови в связи с экссудативным воспалением количество лейкоцитов увеличивается до 15-25 * 10⁹ / л, скорость оседания — до 40 мм / ч, увеличивается количество палочковидных нейтрофилов и моноцитов, и номерколичество лимфоцитов увеличивается.
Лечение
Основа лечения — химиотерапия. В зависимости от чувствительности палочек Коха к антибиотикам назначается особая терапевтическая схема, заключающаяся в назначении разного количества препаратов в разное время лечения. Продолжительность химиотерапии при инфильтративном туберкулезе в среднем составляет 1,5 года.