
Легкое — это парный орган с 3 долями справа и 2 слева. Каждая доля имеет определенное количество сегментов (в правом и левом легких их по 10). В верхней части левого легкого расположены язычные сегменты (верхний и нижний).
Лингвальная пневмония — это подвид левосторонней высокодолевой пневмонии, то есть, в отличие от нижнедолевой пневмонии, поражаются тростниковые сегменты левого легкого. Редкий вид болезни.
Этиология и патогенез
Воспаление язычковых сегментов левого легкого возникает по следующим причинам:
- Бактериальная инфильтрация. Возбудителем обычно является Streptococcus pneumoniae, но иногда провокаторами являются:
- Стафилококки;
- Клебсиелла;
- Кишечная палочка;
- микоплазма;
- хламидии;
- легионелла.
- Вирусы. Патология может быть на фоне:
- вирус гриппа;
- парагрипп;
- цитомегаловирус.
- Грибковое воспаление тела. Это вызвано ..:
- Грибы рода Кандида;
- Histoplasma capsulatum;
- Blastomyces dermatitidis.
- Смешанный тип. Несколько патогенов могут действовать одновременно как триггеры.
Слабый иммунитет чаще всего становится причиной активного размножения возбудителей болезней, что вызывает воспаление легочной ткани. По статистике тростниковой пневмонией чаще страдают дети и пожилые люди.

В группе риска находятся следующие группы людей:
- курильщики с бронхитом;
- при наличии в анамнезе хронической патологии легких;
- при заболеваниях эндокринной системы;
- при сердечной недостаточности;
- при аутоиммунных процессах;
- астматики;
- с низким иммунитетом;
- вынужден находиться в горизонтальном положении долгое время.
Клиническая картина
Поскольку левостороннюю пневмонию трудно лечить, необходимо срочно обратиться к врачу. Заболевание начинается внезапно. Это характерная особенность данной формы болезни. Клиническая картина следующая:
- резкое повышение температуры до критического уровня — 40ºС;
- сильное потоотделение по ночам;
- кашель;
- высокая температура;
- одышка;
- Общая слабость.

Голубоватый оттенок носогубного треугольника и ногтей также считается специфическим симптомом глоссита.
Кашель при язычной пневмонии может быть сухим, но чаще с выделением мокроты. У взрослых эта патология часто протекает бессимптомно, что является риском, так как отсутствие терапии может привести к нежелательным осложнениям.
У детей тростниковая пневмония может проявляться одышкой, длительной икотой и болью в груди.
При вирусной этиологии наблюдается:
- судорожный кашель без выделения мокроты;
- слабость;
- мигрень;
- нарушения дыхательной системы.
Диагностика
Сначала специалист проводит внешний осмотр. Врач замечает одышку и учащенный пульс, в области поражения укорачивается звук барабанов. При аускультации выявляются шумы, усиливающиеся при вдыхании. Иногда возникает крепитация. Как правило, изменения можно заметить уже на третьи сутки болезни.
У пациента берут кровь на наличие различных показателей, подтверждающих воспалительный процесс. Тестирование на ВИЧ обязательно. Общий анализ крови позволяет врачу определить, какая инфекция была причиной инфекции, вирусной или бактериальной. При вирусных инфекциях всегда наблюдается значительное увеличение количества лимфоцитов. Что касается выявления конкретного возбудителя — это возможно только при бактериальном посеве отделенной мокроты. При отсутствии мокроты диагностика намного сложнее.

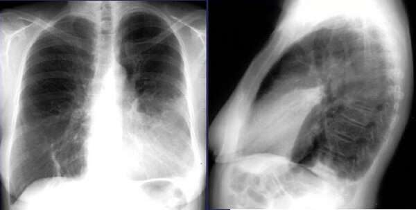
По мере прогрессирования патологии на рентгенограмме грудной клетки видна инфильтративная тень с нечеткими контурами.
Лечение
Целью терапии язычной пневмонии является:
- контроль очага инфекции;
- устраняет проблемы с дыханием;
- и рассасывание воспалительных участков;
- После выявления типа заболевания назначается лечение:
- препараты для борьбы с вирусами и бактериями;
- муколитические препараты;
- отхаркивающие средства;
- антикоагулянты;
- бронходилататоры;
- спазмолитики;
- иммуномодуляторы;
- витаминные комплексы.

Иногда назначают антибиотики и при заболеваниях этиологии.вирусный. Это делается при подозрении на возможное присоединение бактериальной инфекции.
Пациенту рекомендуется рационально питаться, а в его рацион обязательно должны входить продукты, содержащие много клетчатки, белка и витаминов. Не следует забывать о питьевом режиме — при пневмонии рекомендуется много пить. Дополнительно показаны физиотерапия и ингаляции.
Лечение заболевания осложняется анатомическими особенностями левого бронха — лекарствам сложно добраться до очага воспаления.
Что касается лечения лингвальной пневмонии у детей, то оно аналогично лечению взрослых, но дозирование препаратов будет другим. Также назначают:
- курс массажа груди;
- растирание;
- постукивание руками.
Показания к госпитализации больного:
- острая язычная пневмония;
- развитие дыхательной недостаточности;
- Детский или преклонный возраст пациента;
- показания критических температур;
- обезвоживание;
- наличие гнойной мокроты.
Продолжительность терапии зависит от множества нюансов — степени воспаления, сопутствующих хронических патологий, своевременности начатого лечения. Однако обычно болезнь начинает исчезать в течение 5 дней после начала приема лекарств. Что касается полного выздоровления, то потребуется 14-20 дней. Лечение пациентов с ВИЧ займет больше времени.
Профилактика

Чтобы не допустить развития воспалительного процесса в легких, следует соблюдать следующие меры профилактики:
- Избавиться от вредных привычек (курение и алкоголизм);
- Тщательно диагностировать и правильно лечить все заболевания, чтобы не было осложнений;
- Чаще гуляйте на свежем воздухе, обязательно восстанавливайте силы и иммунную защиту после длительного периода постельного режима;
- сопротивление управлению;
- делать физические упражнения;
- Выполняйте дыхательную гимнастику (для людей, склонных к заболеваниям нижних дыхательных путей).
Что касается профилактики языковой пневмонии у детей, то правила таковы:
- избавление ребенка от вирусных и бактериальных заболеваний;
- закаливание;
- пневмококковая вакцина;
- Правильное питание;
- контроль иммунной системы.
Справочные материалы (скачать)
Нажмите на выбранный документ, чтобы загрузить его: