
Прочтите эту статью, чтобы узнать, зачем нужно делать рентген грудной клетки и легких, что он показывает и что означают результаты.

Суть ФЛГ – метода обследования легких
Флюорография является методом скрининга легких, а это значит, что она может применяться у огромного количества людей для выявления конкретной патологии, что особенно актуально в районах повышенной заболеваемости туберкулезом в России, где превышен средний порог инфицирования бациллами Коха. Это: Смоленск, Тверь, Псков, Коми, Калмыкия, Астрахань, Волгоград, Ингушетия, Кабардино-Балкария, Оренбург, Самара, Ульяновск, Пермь, Курган, Свердловск, Иркутск, Кемерово, Новосибирск, Алтай, Красноярск, Приморский, Приморский, Приморский. , Еврейский АО, Чукотский АО.
ФЛГ проста в исполнении и доступна в частных клиниках, а в государственных больницах и поликлиниках бесплатна и входит в перечень амбулаторных услуг.
Диагностическая ценность метода уступает рентгенографии, компьютерной томографии и МСКТ. На ФЛГ-изображении виден только очаг патологии, без уточнения значимых деталей. Суть диагностики заключается в использовании рентгеновских лучей, которые, отражаясь от тканей разной плотности, оставляют на специальной пленке специфические отпечатки. Флюорография – название методики, флюорограмма – изображение на рентгене. Он использовался давно, но его самым большим недостатком была и остается большая доза радиации. Поэтому чаще, чем раз в год, нежелательно делать флюорографию.
Неоспоримыми преимуществами флюорографии легких являются: простота, быстрота проведения процедуры, минимальные затраты времени и материальных затрат. Рентгеновские аппараты портативны и могут использоваться для полевых исследований в самых отдаленных местах.
Разновидности техники
В настоящее время существуют модификации известной устаревшей, но все еще используемой флюорографической пластины, где изображение с люминесцентного экрана представляет собой тень, воспроизводимую на специальной малогабаритной пластине, которая обрабатывается проявочным комплексом и высушивается. В последние десятилетия этот вид рентгеноскопии качественно улучшился, перейдя на более крупный формат изображения, расширив возможности интерпретации результатов. Недостатком этого метода является то, что дефекты выявляются только после обработки.
В основном новые фотографии относятся к низкодозовой цифровой флюорографии, когда изображение передается на экран компьютера в виде цифрового изображения с возможностью регулировки яркости, контраста, размера с помощью фильтров, его можно распечатать на бумаге, архивировать, хранить на электронные СМИ.
Приборы цифровой флюорографии могут быть матричного или сканирующего типа, различаясь по качеству и продолжительности процедуры. В каждом случае цифровая рентгеноскопия проводится на экране компьютера, что удобно как для пациента, так и для врача. Этот метод достаточно информативный, но дорогой.
Сканирование – это послойное исследование легочной ткани с минимальной дозой облучения, но с минимальной точностью.
Показания
Рентгенологическое исследование легких является в первую очередь профилактической процедурой. Их должен иметь каждый, хотя бы раз в два года, а лучше раз в год. При своевременной диагностике многие скрытые аномалии в легких могут буквально спасти человеку жизнь.
Кроме того, ответственный подход к своему здоровью может спасти жизни окружающих. Поэтому рентген входит в программу диспансеризации, обязателен при устройстве на работу, регистрации беременности, первичном посещении терапевта, плановой госпитализации, поступлении на учебу, оформлении санаторно-оздоровительной карты, регистрации на занятия спортом секции, фитнес-клубы, бассейны. Без флюорографии нельзя получить водительские права.
Помимо профилактики, флюорографию также рекомендуют при:
- подозрение на туберкулез, пневмонию, эмфизему;
- опухоли различного генеза;
- плеврит;
- постоянный кашель, одышка;
- сильное похудение;
- неясная слабость.
В случае костра легких инфекций различных этиологий в данном сообществе или в отрасли, скрининг населения должен быть проведен, чтобы не упускать из виду скрытые формы пневмонии, воспаления, рака, плеврия, средости, диафрагмы, основных судов, ребер и сердце. Если такие изменения диагностируются, обязательно выполнить пояснительный тест на грудь x -Ray.
Экспертиза в грудной клетке является обязательным для людей, живущих с беременными женщинами и новорожденными. Экспертиза в грудной клетке является обязательным для призывников.
Противопоказания
Как и любое инструментальное обследование, флуорография легких имеет ряд ограничений: возраст ниже 15 лет, тяжелое состояние пациента, неспособность остановиться на ногах, беременность и лактация, страх перед закрытыми комнатами. Однако все эти противопоказания являются относительными; В чрезвычайной ситуации, когда человек находится на грани между жизнью и смертью, специальная команда выполняется X-Ray легких.
Есть еще один нюанс. Сегодня пациенты подвергаются x -rays со многими показаниями: лечение зубов, синусит, удаление или предположение о металлопластике, подозрении на рак и т. д., Забывая о максимальной допустимой дозе x -Rays. FLG принадлежит к этим рутинным тестам. Поэтому мы еще раз подчеркиваем, что максимальная допустимая доза радиации x/час составляет 0,5 мсВ. SV Year — 150 MSV. В течение всей жизни — не более 700 MSV. Излучение накапливается в тканях и органах, поэтому вы также должны помнить о фоновом излучении, которое нас окружает, включая лекарства.
Безопасная доза излучения x во время флуорографии: от 0,150 до 0,250 MSV в течение одной процедуры (более старые устройства могут дать 0,8 MSV один раз). Цифровая флуорография: от 0,002 MSV. Пациенты, подозреваемые в раке (больные раком), могут подвергаться воздействию радиационных доз выше 0,2 MSV.
Подготовка и проведение процедуры
Там нет особых предварительных условий. За несколько часов до осмотра, не курите, удаляйте всю одежду над талией, удалите украшения, займите стоящее положение, кладите бороду на экране рентгеноскопия, грудь на экран. Сделайте глубокий вдох, задержите дыхание. Один -минутный сеанс. Лечение совершенно безболезненно.
Пока вы останавливаете их дыхание, луча x -Ray проходит через легкие из лампы X -Ray, которая находится за состоянием и переходит к фоточувствительной матрице (x -ray на пленке) или на экране компьютера (цифровой цифровой рентгеновский снимок). Иногда необходимо сфотографировать легкие в нескольких проекциях, поэтому для изменения мы нажимаем сторону, спину или грудь к экрану.
Анализ полученных данных
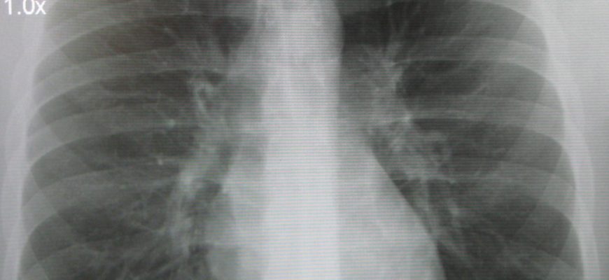
Обычно здоровый человек, у которого раньше не было заболеваний легких, у него есть нормальные FLG: чистые легочные поля без затемнения. В случае патологических изменений рекомендуются тесты: компьютерная томография, MSCT, МРТ.
Оценка флуорографии начинается с определения состояния изображения легких: усиленные или правильные, легочные корни: упорядоченные или рассеянные, плевральные пазухи: свободно или нет, средостенные тени. Повышенная легочная картина характерна для острого воспаления любого генезиса. Фиброз указывает на получение проникающих травм, хирургического вмешательства, туберкулеза, пневмонии. Фокусные тени в центральных и нижних долях указывают на очаговую пневмонию, в верхних долях для туберкулеза. Обнаруженные потомки указывают на изолированный кальцифицированный ниду более ранней инфекции, включая туберкулез или сифилис, черви, бактериальные атаки и не опасны.
Беспорядочные легочные корни предполагают воспаление или бронхит, ХОБЛ. Адгезии, слои на плеве — воспаление различной природы. Бесплатные отсеки или с экссудатом — важно для плевры. Расширенная тень средостения указывает на патологию сердца, но нет диагностической ценности. Движение металла указывает на накопление экссудата или воздуха в плеве, большие опухоли легких и требует срочной консультации с грудным хирургом.
Стоимость флюорографии
В государственных поликлиниках флюорография проводится бесплатно, на основании полиса ОМС.В частных медицинских диагностических центрах в Москве средняя стоимость услуги составляет 725 рублей, в Санкт-Петербурге – 500, а в Казани – 280 рублей.
Источник — http://mdc51.ru/chto-takoe-flyuorografiya-chto-pokazyvaet-obsledovanie-grudnoj-kletki.html