Рубрика «Полезная информация»

Почему повышается эхогенность в поджелудочной железе?

Повышенная эхогенность поджелудочной железы, что это такое и на что указывает, — это первые два вопроса, которые возникают в сознании пациентов, которые получают это описание ультразвукового исследования. Так что же делать в этом случае? Во-первых, не паникуйте и найдите собственные способы избавиться от этого диагноза. В такой ситуации необходимо направить данное заключение на консультацию к …

Первые признаки и симптомы туберкулеза гортани

Туберкулез верхних дыхательных путей и челюстно-лицевого аппарата встречается редко в структуре этой инфекции. Однако недооценка возможности внелегочного туберкулеза в виде симптомов со стороны гортани и глотки, носа и его придаточных пазух значительно усложняет диагностику. Несвоевременное обнаружение вторичного повреждения верхних дыхательных путей приводит к серьезным осложнениям, таким как потеря голоса и затруднение дыхания из-за значительного рубцевания …

Перелом бедра

Поперечный перелом бедренной кости — это повреждение бедренной кости от шейки бедренной кости до линии, соединяющей большой и малый вертел. Эта травма очень серьезна и часто сопровождается значительной кровопотерей и обширным повреждением тканей. Подвертельные переломы бедренной кости чаще всего встречаются у пожилых людей. Перелом бедра: причины повреждения Как уже упоминалось, перелом диафиза бедренной кости наиболее …

Механизм развития и патогенез пневмонии у детей

Механизм развития пневмонии у детей обусловлен недоразвитием дыхательной системы. У маленьких детей иммунная система только учится реагировать на инфекционные раздражители. Степень реакции зависит от возбудителя и реактивности детского организма. Рассмотрим в этой статье, как начинается пневмония у ребенка, подробно рассмотрим патогенез, а затем течение различных форм заболевания с указанием периодов инкубации и выздоровления. Как начинается? …

Особенности питания, диеты и физиотерапии при раке легких

Основными методами лечения рака являются хирургическое вмешательство, лучевая терапия и лекарства. Рекомендации по соблюдению диеты и определенных видов физиотерапии при раке легких могут помочь ускорить выздоровление после операции и улучшить общее состояние пациента. При наличии рака запрещены многие методы физиотерапии. Чтобы не ухудшить состояние пациента, необходимо знать о влиянии на организм различных физических факторов, показаниях …

Психологическое бесплодие: как избавиться от навязчивых страхов и чрезмерного желания забеременеть?

Несмотря на достижения современной медицины, проблемы бесплодия не теряют своей актуальности. По статистике почти четверть пар имеют проблемы с естественным зачатием. Во время лечения репродуктологи, гинекологи и андрологи сосредотачиваются на поиске и исправлении анатомических, эндокринных и иммунологических причин бесплодия. Но, к сожалению, даже с помощью сложных многоступенчатых схем лечения, хирургии и вспомогательных репродуктивных технологий не …

Шиповник: лечебные свойства, противопоказания, как принимать

Из этой статьи вы узнаете, чем полезны плоды шиповника и чем они помогают, каковы противопоказания, как их использовать, а также каковы преимущества и вред от использования этого продукта. Общие сведения Плоды шиповника относятся к семейству розовых, и знаменитый терновник — одна из его разновидностей. Это поливитаминное полезное растение, сок которого в Древней Греции считался каплей …

Ушиб копчика — симптомы и лечение

Копчик — это нижняя часть позвоночника, входящая в крестцово-крестцовый переход. Копчик, хотя и рудиментарный орган, является важным функциональным элементом. К нему прикрепляются пучки средней ягодичной мышцы, связки и мышечные волокна органов малого таза. Он принимает участие в передаче нагрузок на кости таза и считается основной точкой опоры. Травма в результате падения копчика является распространенной и …

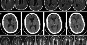
Что означают глиозные изменения головного мозга и сколько живут с заболеванием?

В этой статье вы узнаете о глиозе мозга и его разновидностях, механизме и причинах развития, симптомах, диагностике, лечении патологии, профилактике и прогнозе. Глиоз головного мозга — это проявление одного из заболеваний центральной нервной системы, которое невозможно вылечить, поскольку замена нервных клеток на клетки-помощники необратима. Однако можно остановить прогрессирование или предотвратить развитие патологического процесса. Механизм развития …

Считать ли инсульт смертельным для жизни

Инсульт, смертельное заболевание, занимает второе место после сердечно-сосудистых заболеваний по уровню смертности. В 2012 году Всемирная организация здравоохранения опубликовала печальную статистику — за этот период от инсульта умерло около 6,7 миллиона человек. Медицинские работники все чаще сталкиваются со случаями инсульта в раннем возрасте и даже в детстве. Инсульт — одно из самых смертельных заболеваний Помимо …