
Повреждение плечевого конца ключицы — очень частая травма, возникающая в результате падения или неудобного движения во время тренировки. Ключица — одна из относительно незащищенных и хрупких костей в человеческом теле, и для ее повреждения или вывиха не требуется больших усилий.
Классификация и причины возникновения
Гиппократ уже описал травмы плеча и различал внешний (акромиальный) и внутренний (стернальный) концы ключицы.

Вывих наружного конца ключицы
Вывих внешнего конца ключицы классифицируют на:
- Неполный (или подвывих): разрыв одной из опорных связок;
- Полный — разрыв обеих связок.
Такие травмы плеча могут быть легко вызваны падением через вытянутые руки, например, на скользкой поверхности, или падением на бок с плечом вперед. Другой причиной наружного вывиха плеча может быть сильный удар в грудь или плечо. В группе риска спортсмены и люди с коренастым телосложением с плохо развитыми мышцами, защищающими кости плечевого пояса.
При сложных родах, когда ваш врач должен помочь вашему ребенку пройти по родовым путям, повернув руку, ребенок может вывихнуть. Его легко перемещать, и для лечения обычно достаточно герметичной повязки.
Особую группу причин вывихов составляют генетические заболевания, повреждающие костную и мышечную ткань. Это может произойти у людей любого возраста (от новорожденного до старика).
Симптомы вывиха внешнего (акромиального) конца ключицы
При данной травме плечевого пояса больной жалуется на боли в области плечевого сустава, имеется некоторое ограничение подвижности суставов. Иногда боль мешает любой попытке пошевелить рукой. На месте травмы всегда есть припухлость. Наблюдается деформация суставов. Часто можно увидеть участок кости, который выступает вверх или назад. Однако сильный отек может скрыть этот симптом.
Специфическим симптомом вывиха акромиального конца ключицы является так называемый «ключевой» эффект. Когда выступающий конец ключицы сжимается, он возвращается на место, но когда давление сбрасывается, он снова начинает неестественно выступать над поверхностью. Он используется для определения того, была ли ключица вывихнута или сломана.
Если пальпировать место травмы, можно почувствовать повышение местной температуры, усиливаются болевые симптомы. При повреждении мягких тканей может образоваться гематома.
Акромиальный конец ключицы: первая помощь
При оказании первой помощи пострадавшему, у которого вывих ключицы, первым делом необходимо обездвижить и обездвижить поврежденную конечность. Это можно сделать с помощью бинта или тряпичной повязки. Рука подвешивается в согнутом положении, а небольшой мягкий валик помещается в подмышки.
Поскольку травма очень болезненная, можно прикладывать к больному месту холодный компресс. Оберните лед тканью, чтобы предотвратить обморожение кожи. Такой компресс можно использовать не более четверти часа с получасовым перерывом между последующими процедурами.
Важно знать! Категорически запрещено пытаться самостоятельно расправить растяжение связок, так как недостаток опыта может привести к негативным последствиям. До приезда скорой помощи пациенту также нельзя давать сильные обезболивающие, способные изменить клиническую картину.
Акромиальный конец ключицы: диагностика
Распознать вывих достаточно просто на основании ярко выраженных внешних симптомов и собеседования с пациентом. Рентгенологическое обследование проводилось для уточнения диагноза и выявления повреждений кровеносных сосудов, нервных окончаний и близлежащих тканей.Если у врача возникают дополнительные вопросы и сомнения по поводу диагноза, рекомендуется компьютерная томография. Этот тест позволяет послойно осмотреть поврежденный участок.
Только после внимательного изучения изображений врач ставит окончательный диагноз и назначает соответствующее лечение.
Лечение вывиха акромиального конца ключицы может проводиться двумя способами: консервативным и оперативным. Однако, прежде всего, необходимо вправить вывихнутую кость. Для этого пациента кладут на плоскую поверхность и подкладывают мягкий валик (например, свернутое полотенце) под сустав.
Лечение
Для снятия боли используется местная анестезия. Конечность тянется вдоль своей оси, и в то же время хирург-травматолог нажимает на ключицу, чтобы вернуть ее на место.
Восстановленная конечность должна быть должным образом иммобилизована, чтобы травма зажила. При консервативном лечении для этого используют неэластичные или эластичные повязки.
Консервативный метод
Самым распространенным из них является неэластичная гипсовая повязка. При этом используются различные виды гипсовых повязок, а также повязка дополняется пелоттом — мягкой вставкой, которая давит на плечевой сустав и обездвиживает его.
В последнее время все чаще используются эластичные повязки при лечении вывихов. Хорошо работает повязка Desaut, торакально-бронхиальная повязка с эластичной повязкой.
Однако, как и в случае с гипсом, необходимо использовать пелотт и ватный диск, помещенный в подмышечную впадину. При подвывихе ключицы плеча можно использовать повязку МакКоннелла, при этом кости фиксируются гипсом.
При консервативном подходе к лечению вывиха конечность иммобилизируется на 4-6 недель с последующей реабилитацией.
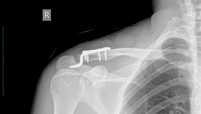
Если консервативное лечение неэффективно и травма носит хронический характер, пациента направляют в больницу и оперируют вывихнутый конец ключицы. Во время него разорванные связки сшиваются, а части поврежденного сустава иммобилизуются различными способами.
Хирургическая операция
Фиксация кости спицами. Этот метод несколько устарел и менее эффективен. При его употреблении болезнь часто рецидивирует.
Наиболее распространены следующие оперативные методы лечения.
- Крепление саморезами. Этот метод более надежен, но снижает подвижность конечностей в период его использования. Рецидивы случаются гораздо реже.
- Пришивание пуговиц. Этот метод охватывает основные моменты первых двух. Ограничения движения в суставе нет, но пуговицы оставляют следы (рубцы). Бывают и рецидивы.
- Пластическая хирургия связок. Этот способ самый эффективный. Травмированную или порванную связку заменяют искусственной связкой.
- После применения любого из описанных методов хирургического лечения вывиха ключично-крестцового сустава проводится иммобилизация с наложением пластыря на срок до полутора месяцев.
Выбор метода и используемого материала подбирается врачом индивидуально с учетом состояния пациента и степени тяжести травмы.
Народная медицина богата рецептами, излечивающими многие болезни. Также существует ряд проверенных мер по лечению вывихов. Они способствуют уменьшению отека, уменьшению боли и способствуют заживлению поврежденного связочного аппарата. Однако все они могут быть использованы только после заделки кости. Вот лишь некоторые из них.
Лечение травмы народными средствами
Лук

Тесто замешивают в уксусе и прикладывают к месту ушиба. Это помогает уменьшить болевые симптомы.
- Свежесобранные листья полыни растирают и прикладывают к руке примерно на тридцать минут.
- Обмакнуть марлевый тампон в теплое молоко, немного отжать, приложить к больному месту и укутать чем-нибудь теплым.
- Из обычного лука (свежего или жареного) приготовить кашицу и смешать ее с сахаром в соотношении 1:10, а полученное средство нанести на место растяжения, перевязав его. Компресс нужно менять каждые 5-6 часов.
- Девясил издавна известен своими лечебными свойствами. Подготовленоиз корня этого растения настой используют в примоочках. Способствует быстрому заживлению связок.
- Важный! Лечение вывиха народными средствами можно проводить только после консультации с врачом.
Вне зависимости от метода лечения вывиха наружного (акромиального) конца ключицы после длительного периода иммобилизации конечности необходимы реабилитационные процедуры. Они необходимы для того, чтобы вернуть травмированную руку на предтравматический уровень.
Реабилитация после вывиха ключицы
Пациентам с такими травмами проводится комплексная физиотерапия, массаж и лечебная физкультура. Физиотерапия способствует нормализации обмена веществ и ускоряет процесс выздоровления. Однако они противопоказаны людям, имеющим в теле металлические конструкции (например, спицы).
Массаж не противопоказан. Поддерживает отток лимфы из поврежденного сустава, улучшает кровообращение, укрепляет мышцы, атрофированные после периода иммобилизации.
Акромиальный конец ключицы: массаж
Лечебную гимнастику рекомендуется проводить со второго дня после процедуры репозиции сустава до выздоровления. Упражнения при растяжении ключицы сначала выполняются с небольшой амплитудой, постепенно увеличивая нагрузку на травмированное плечо.
Все упражнения сочетаются с дыхательными упражнениями, что необходимо для снятия напряжения отдельных групп мышц. Рекомендуется использовать различные клюшки, гантели и мячи. Хорошие результаты приносят упражнения, выполняемые в воде (в бассейне или ванне).
Во время реабилитации важно обращать внимание на качество питания. Организм должен получать все необходимые витамины и минералы. Кальций и коллаген особенно необходимы для восстановления суставных тканей.
Акромиальный конец ключицы: процесс реабилитации
Реабилитационный процесс, в зависимости от тяжести травмы, может длиться от полутора до трех месяцев. При неукоснительном соблюдении всех рекомендаций специалистов работоспособность полностью восстанавливается.
Никто в жизни не застрахован от травм, но своевременное обращение к врачу и начало правильного лечения минимизируют продолжительность заболевания и предотвратят негативные последствия.