Архивы за месяц Октябрь, 2025

Почему ощущается вкус железа в ротовой полости

Внезапное появление сильного привкуса железа во рту может быть вызвано недавним употреблением продуктов, содержащих большое количество оксида железа. Это включает говядину, немного рыбы, яблочный сок, гранатовый сок и виноградный сок. Если это ощущение длится несколько часов или день, а затем исчезает само по себе без каких-либо специальных лекарств или других терапевтических мер, нет причин для …

Растяжение связок голеностопного сустава

Растяжение связок голеностопного сустава — одна из самых частых травм у детей. Лодыжки состоят из трех костей и связок (твердой, гибкой ткани, которая скрепляет кости). Связки помогают остановить слишком много движений в голеностопном суставе. Растяжения связок голеностопного сустава обычно возникают при внезапном движении или растяжении связок — часто при опрокидывании стопы — и при чрезмерном …

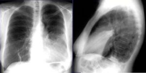
Что такое язычковая (лингвальная) пневмония

Легкое — это парный орган с 3 долями справа и 2 слева. Каждая доля имеет определенное количество сегментов (в правом и левом легких их по 10). В верхней части левого легкого расположены язычные сегменты (верхний и нижний). Лингвальная пневмония — это подвид левосторонней высокодолевой пневмонии, то есть, в отличие от нижнедолевой пневмонии, поражаются тростниковые сегменты …

Лабораторные анализы при бронхите

Чтобы диагностировать причины и определить клиническую форму бронхита, необходимо провести лабораторные исследования крови и мокроты. По результатам исследования бронхита у взрослых устанавливается дальнейшая тактика лечения. Диагностика позволяет выявить и исключить серьезные инфекционные заболевания, предотвратив тем самым развитие опасных для жизни состояний. Кровь Бронхит — полиэтиологическое заболевание, развитие которого может быть вызвано многими причинами. Основное лабораторное …

Особенности реабилитации после пневмонии

После того, как острые симптомы пневмонии остались позади, человеческий организм сильно ослаблен и нуждается в помощи для восстановления. Чтобы ускорить процесс, сами пациенты должны соблюдать несколько внебольничных правил. О них и пойдет речь в этой статье. Что принимать, когда принимать, как долго и что вообще делать. Что принимать после воспаления легких? Реабилитация после пневмонии — …

Что такое односторонняя и двусторонняя пневмония

Двусторонняя пневмония у ребенка — опасная форма пневмонии, поражающая обе стороны легких, в отличие от односторонней пневмонии. Он может иметь бактериальную или вирусную природу. В нашей статье мы обсудим, что такое односторонняя и двусторонняя пневмония (ее еще называют двусторонней), симптомы, методы диагностики и лечения. Что это такое? Это инфекционно-воспалительный процесс в тканях легких, вызываемый атакой …

Писатель-иноагент Быков* заочно приговорен в России к 7 годам колонии

Черемушкинский суд Москвы вынес заочный приговор признанному в России иноагентом писателю Дмитрию Быкову* по уголовному делу о распространении фейков о российской армии и неисполнении обязанностей иностранного агента. Как уточняет «Интерфакс», ему назначено наказание в виде лишения свободы на 7 лет в колонии общего режима. Ранее в столичной прокуратуре сообщали, что в 2023 году писатель-иноагент разместил …

В Госдуме хотят ввести новую разовую выплату для пенсионеров старше 70 лет

В Госдуме выступили с предложением ввести к Дню пожилых людей, который отмечается 1 октября, единоразовую федеральную выплату для пенсионеров старше 70 лет. Как полагают парламентарии, сумма этого пособия может составлять пять тысяч рублей. С такой идеей обратились к вице-премьеру РФ Татьяне Голиковой глава думской фракции «Справедливая Россия – За правду» Сергей Миронов и председатель комитета …

Евгений Кузнецов подписал контракт с магнитогорским «Металлургом»

Остававшийся с апреля без контракта Евгений Кузнецов стал игроком лидера Восточной конференции КХЛ. Как сообщили РИА «Новый День» в пресс-службе ХК «Металлург» (Магнитогорск), соглашение с нападающим Евгением Кузнецовым рассчитано на один год – до конца сезона 2025-26. 33-летний Евгений Кузнецов – воспитанник хоккейной школы «Трактор». Начал профессиональную карьеру в 2009 году. Завоевал в составе «черно-белых» …

Актер Калюжный рассказал о творческих планах после дембеля

Российский актер и музыкант Глеб Калюжный 1 октября рассказал «Известиям», что после прохождения срочной службы в Российской армии планирует продолжать сниматься в фильмах. По словам актера, его ждет огромное количество работы в медиаиндустрии. «Мы планируем снимать свое кино. У нас молодой продакшен. Планируем концертный тур, планируем сниматься в кино, снимать кино, выпускать прекрасные песни», — …