Архивы за месяц Октябрь, 2025

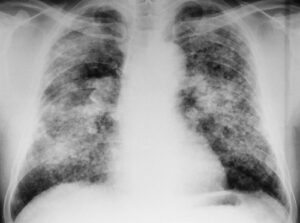
Каковы симптомы антракоза легких у шахтеров

Пневмокониоз — это классическое профессиональное заболевание, которое включает несколько разновидностей, в том числе пневмокониоз. Обычно, собирая анамнез и анамнез жизни, врач может поставить диагноз уже без результатов первичного обследования. Антракноз встречается у шахтеров, которые постоянно контактируют с углем. Как распознать болезнь на ранней стадии и избежать осложнений — об этом расскажет сегодняшняя статья. Общая информация …

Вывих фаланги пальца на руке или ноге

Вывих фаланги пальца Вывих фаланги — нарушение целостности сустава. Это происходит, когда головка кости смещается и выходит из вертлужной впадины. Вывихнутый палец может возникнуть как на руке, так и на стопе. Второй вариант гораздо менее популярен. Лечится вывих всегда только в условиях стационара, но стоит знать правила оказания первой помощи. Вывих фаланги пальца: причины Вывихи …

На что указывает цвет мокроты при пневмонии

Одним из основных клинических симптомов пневмонии является обильная мокрота, часто гнойного характера. Чтобы назначить наиболее эффективное лечение, анализ секрета трахеобронхиального дерева проводят в лабораторных условиях. В этой статье мы подробно обсудим специфику этого исследования, а также его эффективность и важность в диагностике пневмонии. Не забыли и примеры с фото. Как подготовиться к анализу? Важнейшую роль …

Этиология (причины) возникновения рака легкого

Рак легких считается наиболее распространенным видом рака, но его можно предвидеть и предотвратить. Это происходит по многим причинам, но наиболее распространенными являются воздействие табачного дыма, рабочая или домашняя пыль, а также некоторые сопутствующие заболевания. Их можно проследить в анамнезе большинства пациентов с раком легких, поэтому, чтобы избежать его развития, их воздействие на организм должно быть …

В метро Екатеринбурга начали проверять гаджеты

В екатеринбургском метрополитене усилили меры безопасности. Теперь во время досмотра пассажиров просят включать телефоны, фотоаппараты, ноутбуки и любые другие гаджеты. Подчеркивается, что сотрудники подземки не проверяют содержимое телефонов, им просто нужно удостовериться, что устройство рабочее. Дело в том, что террористы могут использовать гаджеты для проноса взрывчатки или запрещенных веществ. Как передает корреспондент РИА «Новый День», …

Первоуральские врачи заменили мужчине оба тазобедренных сустава

В Первоуральской горбольнице 54-летнему местному жителю заменили разрушенные тазобедренные суставы эндопротезами, чтобы поставить его на ноги и избавить от боли. «Боли днем и ночью, которые начались около двух лет назад, были ужасные, ни ходить, ни сидеть, ни спать не мог. Ноги болели полностью, прямо от ступней. Ситуацию усугубили лишний вес, возраст и перенесенный ранее ковид», …

Дышать в Челябинске станет еще труднее. Режим НМУ ужесточили

В Челябинске повысили степень опасности неблагоприятных метеоусловий. Как уже сообщали «Новый День» в челябинском гидрометцентре, метеоусловия, способствующие накоплению загрязняющих веществ в атмосферном воздухе, наблюдаются в регионе с 4 по 10 октября. В связи с этим, в Челябинске, Коркино, Златоусте, Сатке, Карабаше, Магнитогорске и Аше с 4 октября действовал режим НМУ первой степени опасности. Однако сегодня, …

В ГД предложили установить максимальный срок возврата денег на карту

Вице-спикер Госдумы (ГД) Борис Чернышов, член партии ЛДПР, направил обращение к главе Центробанка (ЦБ) Эльвире Набиуллиной с предложением об установлении предельного срока проведения операции по возврату денег на карту потребителя, размер которого составляет 24 часа. Это следует из документа, с которым 9 октября ознакомилось «РИА Новости». «Прошу вас рассмотреть возможность установления <…> предельного срока проведения …

Суд в Приморье отказался менять меру пресечения для велосипедиста из Франции

Апелляционный суд оставил без удовлетворения жалобу защиты французского велосипедиста Софиана Сехили, арестованного в Приморье по подозрению в незаконном пересечении границы. Об 9 октября сообщили в пресс-службе объединенной судебной системы Приморского края. «Постановление Уссурийского районного суда от 06.09.2025 оставлено без изменения, апелляционная жалоба — без удовлетворения», — приводит ТАСС сообщение пресс-службы. «Открытость страны не должна превращаться …

The Polo Lauren Company зарегистрировала в РФ еще один свой бренд

Фото: ozon.ru Федеральная служба по интеллектуальной собственности (Роспатент) провела процедуру регистрации торгового знака Ralph Lauren. Запрос на регистрацию был инициирован компанией The Polo Lauren Company из США в январе 2025 года.Согласно данным из базы ведомства, процесс регистрации завершен в октябре 2025 года. Срок действия товарного знака установлен на 10 лет, начиная с момента подачи заявки, …