Архивы за месяц Октябрь, 2025

Федеральный резерв проведет конференцию по биткоину, цифровым активам и криптовалютным платежам

Федеральная резервная система США проведет конференцию по инновациям в сфере платежей 21 октября 2025 года. Обсуждения будут охватывать стейблкоины, платежи на базе искусственного интеллекта и токенизированные финансовые продукты. В мероприятии примут участие лидеры отрасли из Chainlink, Coinbase, Circle и BlackRock. Завтра, во вторник, 21 октября, Федеральная резервная система США проведет в Вашингтоне (округ Колумбия) конференцию …

Рынок NFT частично восстановился после падения на $1,2 млрд 10 октября

Рынок NFT начал восстанавливаться после резкого падения, в результате которого его капитализация сократилась примерно на $1,2 млрд во время обвала криптовалютного рынка в пятницу 10 октября. Согласно данным CoinGecko, общая стоимость сектора упала с $6,2 млрд в пятницу до $5 млрд в субботу. Это привело к снижению рыночной капитализации невзаимозаменяемых токенов во всех блокчейнах почти …

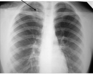
Снимки легких при туберкулезе

С момента открытия рентгеновских лучей (рентгеновских лучей) он активно внедряется во все области медицины, и фтизиология не является исключением. Поскольку легкие у больных туберкулезом имеют отличительные особенности, радиологические методы стали применяться для диагностики, наблюдения за динамикой процесса и профилактики. Перечень визуализационных методов исследования Для диагностики туберкулеза используются следующие анализы: флюорография; Рентгеновская радиография; компьютерная томография (КТ). …

Симптомы, диагностика и лечение туберкулезной интоксикации

Туберкулезное отравление — это форма первичного туберкулеза легких, предшествующая развитию локальных очагов инфекции. Сопровождается нарушением функции различных органов и систем, ухудшением общего самочувствия и самочувствия. Развитие туберкулезного отравления чаще фиксируется в детском и подростковом возрасте. В зависимости от длительности течения и выраженности симптомов выделяют 2 формы туберкулезного отравления: Ранняя форма — патологический процесс развивается впервые …

Что можно и что нельзя при пневмонии

Пневмонию часто лечат в условиях больницы, чтобы обеспечить постоянный уход за пациентом и избежать заражения здоровых людей вокруг него. Однако пневмонию также можно лечить дома. Помимо методов лечения, в таких случаях очень важно иметь четкое представление о том, что можно, а что нельзя делать при пневмонии, о которой пойдет речь в этой статье. Особенности диеты …

Все о скрытой (бессимптомной, вялотекущей) пневмонии у детей

Младенцы и дети в возрасте до одного года наиболее подвержены риску развития бессимптомной пневмонии, которую очень трудно обнаружить или заметить, потому что она протекает бессимптомно (без явных признаков заболевания). Обычно это вызвано сильно ослабленной иммунной системой, которая не может бороться с возбудителями пневмонии. Из-за того, что ребенок не может рассказать родителям о боли в груди …

Особенности бронхиальной астмы у детей

Особенности заболевания Бронхиальная астма — одно из самых распространенных заболеваний у детей раннего возраста. Заболеваемость увеличивается с каждым годом. Патология — хроническое воспаление. Точные причины заболевания неизвестны. К предрасполагающим факторам относятся: наследственность; курение у матери при беременности; Аллергические реакции — пищевые, поллинозы и другие виды; частые простуды; Проживает в районах с неблагоприятным климатом или плохими …

Рубио заявил Лаврову о важности устойчивого разрешения конфликта на Украине

Госсекретарь США Марко Рубио. Фото из архива сайта CNN Государственный секретарь США Марко Рубио в разговоре с министром иностранных дел России Сергеем Лавровым заявил о важности устойчивого решения российско-украинского конфликта. Об этом говорится в сообщении американского Госдепартамента. «Госсекретарь отметил важность предстоящих контактов. Это – возможность сотрудничества Москвы и Вашингтона ради продвижения устойчивого решения российско-украинского конфликта …

Трамп не верит в победу Киева в конфликте с Россией

Президент США Дональд Трамп не верит в способность Украины одержать победу в конфликте с Россией. Об этом американский лидер заявил сегодня, отвечая на вопросы журналистов. «Они все еще могут выиграть. Я не думаю, что это случится, но они могут», – сказал Трамп (цитата по РИА «Новости»). Американский лидер считает, что многие «заплатят большую цену», если …

Эксперт Пироговского Университета развеял миф о безопасной дозе алкоголя

Всем известно, что алкоголь негативно влияет на организм человека. Но существует распространенное заблуждение, что небольшая доза спиртного не нанесет вреда. В Пироговском Университете Минздрава России опровергли этот миф. «Если мы говорим об этиловом спирте, то есть о веществе, которое входит состав любого алкогольного напитка, то у него множество различных отрицательных действий на организм можно увидеть, …