Архивы за месяц Сентябрь, 2025

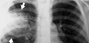
Как выглядит пневмония на снимке

Рентген грудной клетки по-прежнему является золотым стандартом в диагностике большинства респираторных патологий. Пневмония не исключение; признаки патологии обнаружить на рентгеновском снимке несложно. Рентгенологическое исследование важно для постановки точного диагноза, а также играет ключевую роль при дифференциальном обследовании. Важно иметь общее представление о том, как выглядит пневмония у взрослых и детей. Рентген снимок атипичной пневмонии Атипичная …

Как правильно оказать первую помощь при обмороке?

Обморок — это кратковременная потеря сознания, которая может быть вызвана психическим или органическим заболеванием. Если это длится дольше, это называется «комой». Обморок вызван временным нарушением кровообращения в головном мозге. В этой статье мы рассмотрим, как оказать первую помощь при обмороке. Обморок имеет код R55 в Международной классификации болезней (МКБ-10). Причины Разница между коллапсом, обмороком и …

Лечение и симптомы пневмонии у детей до года

Пневмония — серьезное заболевание легких, которое повреждает легочную ткань и влияет на газообмен. Наиболее опасен для детей первых лет жизни. Поэтому родителям маленьких детей полезно знать, каковы симптомы, правила лечения и куда обращаться. Следите за обновлениями, прочитав нашу статью. Общая картина и особенности Пневмония (как и пневмония) — это заболевание легких, сопровождающееся воспалением альвеол и …

Что такое плоскоклеточный рак легкого

Рак легких — одно из самых распространенных злокачественных новообразований. Для этого типа новообразования характерны быстрый рост, склонность к ранним метастазам и неблагоприятный прогноз. Плоскоклеточный рак занимает второе место по распространенности. Эта статья расскажет об особенностях этого сорта. Общие сведения Плоскоклеточный рак легкого — это рак, который развивается из клеток плоскоклеточного эпителия, выстилающего дыхательные пути. Эта …

Особенности диффузной милиарной пневмонии

Диффузная миллиардная пневмония — это разновидность пневмонии, характеризующаяся образованием миллиардных очагов инфильтратов в легочной ткани, образующих ретикулярную структуру. Эти пневмонии являются тяжелыми и хроническими, воспаление быстро распространяется на все легкое и в некоторых случаях бывает двусторонним. Диффузное поражение легких приводит к развитию фиброза и выраженной дыхательной недостаточности. Этиология (причины) Для развития столь тяжелого заболевания необходимы …

Перелом плеча

Перелом плечевой кости — это повреждение кости, вызванное определенной силой, действующей на эту часть тела. Травмы могут возникать одновременно в нескольких местах плечевой кости. Преждевременное их лечение может привести к серьезным осложнениям, в том числе к инвалидности. Анатомические особенности плечевой кости Плечевая кость условно делится на 3 части: Проксимальный корень. Он является частью плечевого сустава …

Долевая неуточненная пневмония

Дольчатая пневмония характеризуется воспалительным процессом в одной из двух долей легкого или в нескольких частях органа (она называется неопределенной, поскольку возбудитель болезни не может быть идентифицирован). Кроме того, воспаление часто носит инфекционный и аллергический характер. Дольковая пневмония имеет те же симптомы, что и обычная форма. Воспаление всей доли легкого или сразу нескольких наблюдается при дольковой …

Партия ЛДПР получила второе место на выборах в ЗС ЯНАО

Партия ЛДПР получила второе место по предварительным итогам выборов в Заксобрание на Ямале. По данным на 4:40 утра 15 сентября 2025 году у объединения 16% голосов. Лидер голосования – «Единая Россия» – набрал 65,6% голосов. Партия КПРФ получила поддержку 10,5% пришедших на участки. Справороссы набрали всего 6,4%. В 2020 году, пять лет назад, выбор у …

Авиакомпания «Ямал» в суде заявила о плохом обслуживании аэропорта Ноябрьска

фото – сайт «Аэропорт Сургут» Авиакомпания «Ямал» судится с аэропортом Ноябрьска из-за понесённых убытков в связи с тем, что аэропорт не смог принять рейсы. Инциденты случились ещё в 2023 году – в ноябре и декабре. Как в суде заявила АТК «Ямал», у АО «Аэропорт Сургут» (владеет аэропортом Ноябрьска) лётное поле было не готово к приёму …

Тагильчанин вместе со стопкой водки проглотил иголку

Врачи из городской больницы № 1 Нижнего Тагила спасли 54-летнего мужчину, который проглотил 5-сантиметровую иголку. Опасность крылась там, где уралец меньше всего ожидал еt встретить, – на дне рюмки водки. Как рассказали в пресс-службе областного минздрава, обнаружив на столе дома стопку с водкой, тагильчанин сразу ее выпил. Но оказалось, что водка была не для него …