Архивы за месяц Сентябрь, 2025

Стало известно, когда лучше всего пить кофе

Кардиолог Щербак: кофе не стоит пить натощак Врач-кардиолог А.Щербак сообщил, что кофе не стоит пить утром натощак. Об этом передает Pravda.Ru. По словам эксперта, в этот момент напиток может вызвать раздражение в слизистой желудка и пищевода. В итоге может образоваться изжога и боль в верхней части живота. Лучше всего выпить кофе через 1,5-2 часа после …

Как правильно применять Неосмектин

Неосмектин — абсорбирующий препарат последнего поколения, задача которого — стабилизировать слизистый барьер желудочно-кишечного тракта, а также абсорбировать и удалить из желудочно-кишечного тракта все вредные вещества, токсины и другие токсичные соединения, так или иначе попавшие в организм ребенка. Применение препарата заключается в приеме его в том порядке и дозе, которые были установлены лечащим врачом в соответствии …

Какие антибиотики из тетрациклинового ряда

Многие заболевания невозможно вылечить обычными лекарствами. В таких случаях так называемые тетрациклиновые антибиотики. Перед тем, как начать их использовать, желательно ознакомиться с особенностями препаратов, их списком, а также преимуществами и недостатками их названий. Что такое препараты-тетрациклины? Препараты из этой категории антибиотиков характеризуются широким спектром действия против микробов. Против них бессильны не только грамположительные и отрицательные …

Что такое кардиопатия (кардиомиопатия): описание симптомов, последствия, лечение и прогноз

Кардиопатия (кардиомиопатия) — это патология первичной ткани сердца, не связанная с сердечными заболеваниями, ревматизмом, раком, воспалением, ишемией, представляет собой перерождение сердечных клеток и возникает в любом возрасте. Общая информация Ежегодно около полутора миллионов человек умирают от тех или иных проблем с сердцем и кровеносными сосудами. Одно из них — кардиомиопатия, то есть изменения сердечной мышцы, …

Как проявляется пупочная грыжа у женщин

Эта приобретенная аномалия заключается в нарушении работы мышечного корсета брюшины, при котором внутренние органы начинают выпирать. Симптомы пупочной грыжи у женщин встречаются в пять раз чаще, чем у мужчин. Чаще всего возникает в возрасте от 30 до 40 лет. Из-за опасности этого патологического состояния стоит больше узнать о симптомах, причинах и других особенностях грыжи. Первые …

Что такое миокардит, симптомы патологии, особенности лечения

Миокардит — воспаление сердечной мышцы различного генеза с некрозом кардиомиоцитов. Общие данные Заболеваемость миокардитом намного выше статистической из-за поздней диагностики и латентных форм, когда заболевание протекает в легкой или полностью стертой форме. Симптомы миокардита обнаруживаются в 4-9% случаев только на вскрытии (по результатам патолого-анатомического обследования). Острый миокардит убивает от 1% до 7% пациентов, а у …

Новые горизонты стоматологии: Имплантация зубов

Имплантация зубов — это одна из самых значимых и впечатляющих технологий в области стоматологии, которая за последние десятилетия значительно изменила подход к восстановлению утраченных зубов. Многие считают, что обращение к данному методу позволяет не только вернуть эстетику улыбки, но и восстановить полноценные функции жевания. Однако, как и любое медицинское вмешательство, имплантация предполагает множество нюансов, о …

Надколенник коленного сустава

Повредить коленную чашечку в коленном суставе, широко известном как надколенник, несложно. Однако перелом надколенника — не частая травма (диагностируется только в 1,5% случаев). Это связано с тем, что это очень прочная кость, которая может сломаться только при приложении большой ударной силы к коленному суставу. Надколенник коленного сустава: причины Защищая коленный сустав от внешних сил, коленная …

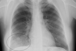
Как отличить пневмонию от бронхита

Бронхит — это воспаление бронхиол, а пневмония поражает альвеолы ​​в легких. Когда воспаление возникает в легких, часто поражаются бронхи, то есть концевые отделы бронхиол. В этой статье мы подробно и со всех сторон рассмотрим, чем отличается бронхит от пневмонии у детей. Отличие симптомов у детей Бронхит и пневмония у детей довольно распространены и доставляют массу …

Что такое мезотелиома плевры легких

Мезотелиома плевры — это рак, который на ранних стадиях развития не проявляет каких-либо специфических симптомов. Поэтому пациенты долгое время не обращают внимания на свое здоровье. Рак обнаруживается на запущенной стадии, когда эффективность лечения намного ниже. Чтобы вовремя заподозрить болезнь, важно знать ее основные симптомы. Общие сведения об этой онкологии Мезотелиома плевры — это редкое злокачественное …