Архивы за месяц Август, 2025

Влияние социально-экономического статуса на здоровье человека и общество

Когда мы говорим о здоровье, многие сразу думают о том, как важно правильно питаться, заниматься спортом и регулярно проходить медицинские осмотры. Но знаете ли вы, что на наше здоровье влияет не только то, что мы делаем, но и то, кем мы являемся в социальном и экономическом смысле? Социально-экономический статус, или сокращённо СЭС, — это совокупность …

Влияние стресса на развитие аутоиммунных заболеваний: ключевые факторы

Стресс – это часть нашей жизни, с которой сталкивается практически каждый. Он может быть разным: от напряжения на работе до переживаний из-за личных отношений. Но что если я скажу, что стресс способен не просто портить настроение, а действительно влиять на здоровье на клеточном уровне? Особенно это касается тех, кто подвержен аутоиммунным заболеваниям. В этой статье …

Влияние хронического стресса на здоровье: последствия и профилактика

Каждый из нас сталкивается со стрессом в повседневной жизни. Быстрые сроки на работе, проблемы в семье, непростые финансовые ситуации — всё это может стать причиной напряжения и волнения. Но что происходит с нашим организмом, когда стресс становится хроническим и не отпускает нас долгое время? Хронический стресс — это нечто большее, чем просто плохое настроение или …

Онкологические заболевания у детей: симптомы, лечение и профилактика

Когда речь заходит о детском здоровье, тема онкологических заболеваний всегда вызывает особую тревогу и беспокойство. Другие болезни могут показаться серьёзными, но рак у детей воспринимается особенно остро: ведь маленькие пациенты ещё только начинают свою жизнь. Важно не только понимать, что такое детский рак, но и разбираться в симптомах, методах диагностирования, лечения и, конечно, профилактике. Эта …

Анемия: основные причины, симптомы и методы эффективного лечения

Анемия — это состояние, которое встречается гораздо чаще, чем многие думают. И, несмотря на свою распространённость, не всегда вызывает достаточное внимание со стороны окружающих. Возможно, вы или кто-то из ваших близких уже сталкивались с этим диагнозом, или просто слышали об анемии, но не до конца понимаете, что это такое и чем она опасна. Сегодня мы …

Облитерирующий атеросклероз ног: стадии, диагностика, профилактика и лечение

Вы — мужчина лет сорока, заядлый курильщик и пьяница с обильным и жирным ужином. С тех пор вы заметили, что ваша походка стала тяжелой и хромой. Что происходит с вами? Если вы пройдете обследование, вам поставят один из диагнозов: атеросклероз, проникающий в сосуды нижних конечностей. На протяжении многих лет он находится на вершине списка наиболее …

Прогестерон в таблетках: анализируем препараты, их показания и побочные действия

Препараты прогестерона предписаны для замены недостаточной функции яичников в акушерстве и гинекологии. Одной из самых удобных форм использования этих лекарств является планшет. Механизм действия Менструальный цикл состоит из двух фаз, отделенных друг от друга. После освобождения яйца от яичника есть желтое тело, которое активно производит прогестерон. Этот гормон работает над маточной подкладкой, заставляя ее утолщение …

Лечение атеросклероза сосудов ног

Время от времени каждый из нас ощущает легкую боль в ногах, но, как правило, не обращаем на нее внимания. И делаем это зря, потому что это может быть не усталость или обычный дискомфорт, а серьезное заболевание. Один из них — атеросклероз сосудов нижних конечностей, самая частая патология, которая развивается в зрелом возрасте — примерно 65-70 …

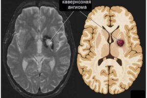
Лечение и диагностика ангиом головного мозга (кавернозная, венозная)

Заболеваемость опухолями головного мозга увеличивается с каждым годом, и этот факт настораживает врачей во многих странах. Доброкачественная опухоль, представляющая собой «клубок кровеносных сосудов», представляет собой церебральную гемангиому. Внешне данная патология напоминает бордовую или красную родинку. Образование наблюдается на слизистых оболочках и коже, при этом новорожденные составляют основную группу риска. Большинство гемангиом исчезают к десяти годам, …

Бесплодие неясного генеза – как докопаться до истины и найти причину?

Термины: идиопатическое или необъяснимое бесплодие и бесплодие неясного генеза относятся к состоянию, при котором, несмотря на всестороннее и полное обследование женщины и мужчины, причина не могла быть установлена. Условия диагностики идиопатического бесплодия Это может произойти в результате сбоя в ходе таких природных процессов, как: Движение сперматозоидов во влагалище или в цервикальной слизи. Созревание женской репродуктивной …