Архивы за месяц Март, 2025

Серные (ушные) пробки — симптомы, причины и удаление серных пробок из ушей

Доброе утро вам, уважаемые посетители раздела «Хорошая еда» проекта «Медицина». Сегодня мы поговорим о том, как правильно чистить уши, о восковых пробках и способах их удаления. Так… Что такое ушная сера? В наружном ухе имеется около 2000 серных желез, которые производят примерно 15-20 мг ушной серы в месяц. Ушная сера представляет собой композицию выделений восковых …

Тошнота и рвота при инсульте – причины, первая помощь, прогноз

Рвота является распространенным симптомом, возникающим в 14,5% случаев инсульта. Чаще встречается при геморрагической форме (23,4%), реже при ишемической форме (8,7%). Врачи считают, что появление этого симптома связано с неблагоприятным прогнозом (1). Смертность у больных с рвотой при инсульте значительно выше средней. Давайте разберемся, почему он возникает и какие особенности оказания первой помощи следует учитывать. Механизм …

Кашель на нервной почве – как избавиться от спазмов

Кашель является симптомом многих заболеваний. Если она длительное время не переходит во влажную продуктивную форму, врачи рекомендуют провести обследование организма. Иногда постоянный кашель свидетельствует о проблемах с нервной системой, переутомлении или длительном истощении. При этом основной формой лечения является назначение консервативных седативных препаратов и средств народной медицины. Причины появления Нервный кашель может быть любым искусственно …

Какие лекарственные препараты используют при коронавирусе у человека?

В этой статье будет рассказано, какие препараты используются для лечения коронавирусов и можно ли получить их бесплатно, препараты, которые оказались бесполезными для лечения COVID-19. Препараты потенциально пригодные для борьбы с коронавирусной инфекцией Поскольку патогенетических препаратов против коронавирусов сегодня нет, речь идет только о симптоматических препаратах. Их сочетание – на усмотрение врача с учетом рекомендаций Минздрава …

Можно ли парить ноги при температуре, кашле, насморке или гайморите

При первых признаках простуды необходимо срочно реагировать на тревожные симптомы, иначе насморк и кашель могут стать хроническими. Когда основной причиной недомоганий является переохлаждение, лучшим средством является отпариватель для ног. Он помогает при кашле, успокаивает озноб, облегчает дыхание, устраняет заложенность носа и улучшает качество сна. На самом деле такое проверенное средство вызывает много споров в современной …

Когда при панкреатите можно есть помидоры и пить томатный сок?

Помидоры – одни из самых вкусных и любимых овощей для многих людей. Они содержат много питательных веществ, но многие из них могут быть вредными, если у вас проблемы с пищеварением. Помидоры при панкреатите считаются относительно разрешенной пищей. Вводить их нужно постепенно, в зависимости от выраженности симптомов панкреатита и способа приготовления томатов. Влияние томатов на больной …

Кровь в мокроте (кровохарканье): что это может быть, причины, лечение

Общая информация Кровь в мокроте (она же кровохарканье, кровохарканье) – симптом, который может быть вызван многими заболеваниями. На самом деле мокрота со следами крови может исходить из трахеи, бронхов, легких или какого-либо другого отдела дыхательной системы. Наиболее частыми патологиями, вызывающими кровохарканье, являются бронхит, бронхоэктатическая болезнь, хроническая обструктивная болезнь легких, инфекционные заболевания органов дыхания. Однако кровь …

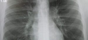
Что такое флюорография, что показывает обследование грудной клетки?

Прочтите эту статью, чтобы узнать, зачем нужно делать рентген грудной клетки и легких, что он показывает и что означают результаты. Суть ФЛГ – метода обследования легких Флюорография является методом скрининга легких, а это значит, что она может применяться у огромного количества людей для выявления конкретной патологии, что особенно актуально в районах повышенной заболеваемости туберкулезом в …

Какими травами можно понизить уровень холестерина в крови

Умеренно повышенный уровень холестерина можно нормализовать с помощью однокомпонентных настоев, отваров из лекарственных растений. Для того чтобы подобрать схему терапии, стоит узнать, какие травы снижают уровень холестерина в крови. Травы от холестерина могут употреблять люди, имеющие противопоказания к приему аптечных препаратов. цветки календулы; льняное семя; овсяные зерна; корневища диоскоры; цветы липы; семена банана; листья артишока; …

Инструкция по применению таблеток Индапамид, при каком давлении его пить и дозировка

Гипертония считается распространенной патологией, связанной с нарушением работы сердечно-сосудистой системы. Для борьбы с ним существует множество препаратов, одно из них — Индапамид, в инструкции по применению указано, что это мочегонное средство. Многих интересует, при каком давлении принимать агента. Препарат должен назначать только врач, имеющий повышенное артериальное давление, так как он может негативно повлиять на организм …