Архивы за месяц Февраль, 2025

Рак матки: как распознать заболевание на ранней стадии, методы и эффективность лечения

Первое место по заболеваемости среди онкогинекологических заболеваний занимает рак эндометрия. В России ежегодно выявляется до 16 тысяч новых случаев этого заболевания, и число заболевших постоянно растет. Эта патология в основном поражает женщин старше 60 лет, но может возникнуть и в более раннем возрасте. Около 40% пациенток болеют до наступления менопаузы. За последнее десятилетие заболеваемость больше …

Лечение тромбоэмболии легочной артерии (ТЭЛА)

Внезапная одышка, головокружение, бледность кожи, боли в груди сами по себе тревожные симптомы. Что это может быть — приступ стенокардии, гипертонический криз, приступ остеохондроза? Это возможно. Но среди подозреваемых диагнозов должен быть еще один серьезный и требующий неотложной медицинской помощи — тромбоэмболия легочной артерии (ТЭЛА). Что такое ТЭЛА и почему она развивается TELA — это …

Симло: инструкция по применению, аналоги, цена, отзывы

Симло — это индийское генерическое лекарство, которое содержит активное вещество лактон симвастатин. Относится к группе гиполипидемических препаратов. Согласно инструкции, он предназначен для нормализации уровня холестерина, триглицеридов, «вредных» липопротеидов. Из-за своего механизма действия он классифицируется как ингибитор HMG-CoA редуктазы (код C.10.A.A). Предупреждение: вы читаете упрощенные инструкции по использованию Simlo. Состав, форма выпуска Симло — это овальные …

Как убрать икоту при алкогольном опьянении

Икота неприятна всем. Чаще всего это происходит у людей, которые только что выпили спиртные напитки или находятся в процессе длительного возлияния. Икота длятся долго, сопровождается головными болями и дискомфортом в животе. Поэтому от него нужно обязательно сразу избавиться. Почему пьяный человек икает Икота не может быть самоограниченной и является следствием определенных заболеваний, в том числе …

Врач назвала йогурт и ягоды самыми полезными начинками для блинов

Специалист прокомандовала белковые начинки Врач-эндокринолог, нутрициолог Дарья Хайкина рассказала о вреде классических начинок для блинов, таких как сгущённое молоко, варенье, шоколадная паста и масло с сахаром. Эти высококалорийные начинки могут привести к упадку сил и желанию съесть больше. © Freepik.com Для сохранения здоровья и избежания чрезмерного потребления калорий Хайкина порекомендовала использовать альтернативные, более полезные начинки. …

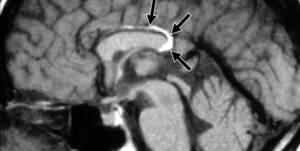
Какие последствия при кисте прозрачной перегородки головного мозга?

В этой статье вы изучите особенности кисты мозга, их причины, симптомы, возможные осложнения, диагностика, лечение и профилактика. Прозрачная киста разделения (Verga Cyst) представляет собой паутину различных размеров, заполненная жидкостью. Общие положения Человеческий мозг — это такой сложный орган, что он еще не был тщательно исследован. Современная наука п о-прежнему активно рассматривает особенности ее строительства и …

Свинка у детей и взрослых

Свинки являются очень популярными домашними животными как у детей, так и у взрослых. Они привлекают внимание своим милым внешним видом, умными глазками и нежным характером. Для детей свинки могут стать лучшими друзьями и надежными компаньонами. Они учат детей ответственности за другое живое существо, развивают эмпатию и заботу. Свинка может стать для ребенка настоящим другом, с …

Необходимо ли присвоение инвалидности после операции шунтирования на сердце?

Операция по имплантации шунтирования на сердце является серьезным медицинским вмешательством, которое может быть назначено при различных сердечных заболеваниях. После такой операции пациенты могут столкнуться с ограничениями в ежедневной жизни и работе, что может потребовать постановки на учет в качестве инвалида. Определение группы инвалидности после операции шунтирования на сердце зависит от многих факторов, таких как возраст …

Почему синяки чешутся, причины зуда кожи до гематом, лечение

Синяки, или гематомы, могут вызывать раздражение и зуд на коже, что может быть неприятным и вызывать дискомфорт. Хотя большинство синяков носит временный и безвредный характер, иногда появление зуда может указывать на более серьезные проблемы. Основная причина зуда после образования синяков заключается в местном воспалительном процессе. При синяках формируется кровоизлияние в тканях, что приводит к разрушению …

Причины отека подбородка

Отек подбородка – это состояние, при котором область подбородка и нижней части лица становится опухшей и набухшей. Может быть несколько причин, которые вызывают этот отек. 1. Неправильное питание Одной из причин отека подбородка может быть неправильное питание. Потребление большого количества соли и сахара может привести к задержке жидкости в организме, в том числе и в …