Рубрика «Полезная информация»

Бывает ли тошнота и рвота при коронавирусе?

В этой статье вы узнаете, можете ли вы заболеть коронавирусом, что вызывает рвоту при инфекции и каковы варианты лечения и профилактики. Можно ли назвать подташнивание первым симптомом коронавирусной инфекции? да. Кишечные расстройства, вызванные коронавирусом, могут быть первым, а иногда и единственным симптомом заболевания. Ощущение тошноты появляется за несколько дней до появления основных симптомов инфекции. Это …

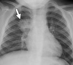
Лечение гнойной (абсцедирующей, септической) пневмонии

Гнойная пневмония — это не болезнь сама по себе, а осложнение первичной пневмонии. Сам процесс характеризуется ограниченными гнойно-деструктивными изменениями легочной ткани, т.е. образованием абсцесса. При неблагоприятном течении может перерасти в септическую пневмонию. В МКБ-10 гнойная пневмония не выделяется как отдельное заболевание, но может быть классифицирована как «пневмония без определенного возбудителя» (J18). Этиология абсцедирующего воспаления легких …

Медицинский клей для ран и порезов

Даже самые мелкие порезы, царапины и ссадины вызывают дискомфорт и мешают дальнейшей работе. Остановить кровотечение поможет специальный клей для ран, который продается в любой аптеке. Медицинское название препарата — «БФ-6». Он отлично дезинфицирует рану и способствует более быстрому заживлению. Состав «БФ-6» Медицинский клей для различных ран — довольно известное средство, способное склеивать порезанные ткани. Таким …

Раны при сахарном диабете

На конечностях располагаются диабетические раны. Сахарный диабет — хроническое заболевание, вызывающее множество осложнений в организме, в том числе кожных. Кожа становится шершавой, шелушится, на ней появляются болезненные трещинки. Малейшая царапина может долго не заживать и доставлять пациенту дискомфорт. Почему при диабете плохо заживают ранки Нормой заживления ран при сахарном диабете считается период 1-2 недели. У …

Почему развивается очаговая (сливная) пневмония

Очаговая пневмония — это воспалительный процесс легких, в основном альвеолярной или интерстициальной ткани, который, в отличие от лобулярной пневмонии, поражает только ограниченный участок легочной ткани: один или несколько сегментов легкого. Небольшие поражения могут сливаться вместе и образовывать сливную пневмонию, которую сложнее лечить. Классификация МКБ-10: позиции J12-J18. Причины возникновения Этиология пневмонии делится на несколько форм. Первичные …

Прогревания при бронхите

Для снятия сухого кашля, разжижения и отхаркивания мокроты при продуктивном кашле, выведения токсинов из организма к медикаментозной терапии подключаются вспомогательные методы лечения. При отсутствии лихорадки, обструктивного синдрома, гнойных выделений в бронхах применяют согревание в виде компрессов и компрессов. По окончании острого периода и нормализации температуры полезными становятся горячие ножные ванны. Он приносит большую пользу и …

Альбумины: что это такое, норма в крови, причины повышения и снижения уровня белков

Альбумин — это название, данное простым белкам в организме человека, которые являются основным компонентом крови, составляя до 65% общего белка, синтезируются в печени, циркулируют в кровотоке всего 20 дней, а затем становятся сломан. Уровень альбумина можно определить с помощью биохимического анализа. Что показывает альбумин в биохимическом анализе? Альбумин крови в основном выполняет транспортную функцию, доставляя …

Особенности терапии геморроя в 3 триместре беременности

Из этой статьи вы узнаете, почему геморрой появляется в третьем триместре, каковы его триггеры, а также как их лечить и предотвращать. Причины и симптомы геморроя в третьем триместре Третий триместр начинается на 27 неделе беременности и длится до 40 недель. В эмоциональном плане это наиболее комфортный период без пугающих перепадов настроения. В итоге малыш растет …

Что такое Синдром Рейно: описание симптомов, причины и лечение

Синдром Рейно является патология характеризуется сужением кровеносных сосудов в руках из-за холода или стресс, нарушение кровотока в ее руках. Общие данные феномен Рейно является заболеванием вторичного выращивания на подложке ряд заболеваний: патологии диффузной соединительной ткани (склеродермия, красная волчанка), системный васкулит, ревматоидный артрит, симпатических ганглиев и гематологических расстройств, эндокринных расстройств, diencefalicznych, вазоконстрикция пучки нерва. Кроме того, …

Диффузные изменения поджелудочной железы

Диффузные изменения поджелудочной железы — это деформации структуры органа, видимые на УЗИ. Об особенностях этих изменений, их причинах, симптомах и лечении речь пойдет ниже. Что входит в понятие диффузии Изменения ткани поджелудочной железы могут быть локальными (локальными) и диффузными, охватывая весь орган. Что такое диффузия и каковы ее свойства, мы узнаем на уроках физики в …