Рубрика «Полезная информация»

Диета при остром панкреатите

Поджелудочная железа принимает непосредственное участие в пищеварении, вырабатывая необходимые для этого ферменты, и регулирует углеводный обмен. При остром панкреатите, когда железистый секрет накапливается в протоках и начинается некроз и аутолиз (самопроизвольное таяние) тканей органа, состояние пациента резко ухудшается. Не только из-за сильного болевого синдрома, но и в результате нарушения метаболизма глюкозы и формирования синдрома интоксикации. …

Что показывает размер Манту у взрослых

Успешное лечение туберкулеза зависит от ранней диагностики. Раннее выявление заболевания возможно при вакцинации и пробе Манту у взрослых. В этой статье мы объясним, кто имеет право на тест, как он проводится и каковы могут быть результаты. Кому делают тест на туберкулез Проба Манту (реакция Манту, PPD-проба, туберкулиновая проба) — это внутрикожное введение 2 единиц туберкулина …

Перелом кубовидной кости стопы

Перелом кубической кости стопы встречается довольно часто. Нередко человек испытывает удар по тыльной стороне стопы тяжелым предметом без особого страха, кроме боли и отека. Однако сильный удар — одна из основных причин перелома костей стопы. Поэтому очень важно как можно скорее обратиться за помощью к специалисту, так как лечение всегда должно проходить под руководством врача. …

Обзор всех стадий атеросклероза их молекулярные проявления

Атеросклероз является одним из немногих заболеваний, которая начинается в детстве или юности, и в продвинутой клинической картине раскрываются у пожилых людей. В течение этого времени, холестерин пластина из микроскопического жира корректировочных превращается в видимую массу, способную блокировать большое судно. Стадии заболевания Встреча холестерина блеске является долгосрочным процессом. За это время он растет и меняет свою …

Синдром Кушинга (Синдром гиперкортицизма): что это такое, причины и лечение патологии

В этой статье объясняется, что гиперклизолемия составляет (ленту), ее причины, симптомы и клинические проявления, лечение и прогноз. Общая информация Команда Cushing — это набор клинических симптомов, вызванных хронически повышенным уровнем кортизола или связанных кортикостероидов крови. Болезнь Кушинга является синдромом заболеваний, вызванные чрезмерным производством адренокортикокартограционного гормона (ACTH) головным головным гипофиром, обычно из-за аденомы гипофиза. Типичными симптомами …

Язвы на ногах при сахарном диабете, особенности лечения

Trofic язвы изменения кожи и более глубокие структуры в долгосрочной форме, незаживающих ран. Они возникают в результате нарушений в кровоснабжения определенной области тела. Популярные места для трофических язв пальцы на ногах, пятки и голени. Такая патология характерна для диабета, считается осложнением диабета и проявления диабетической стопы в сборе. Лечение трофических язв при сахарном диабете считается …

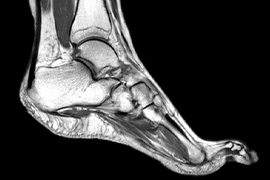
Диагностика заболеваний голеностопного сустава методом МРТ

Магнитно-резонансная томография — это неинвазивный диагностический тестовый метод, который позволяет провести детальное исследование внутренних структур тела. Послойное сканирование под воздействием электромагнитных волн позволяет выявить воспалительные и деструктивные процессы, последствия травм, врожденные дефекты костей и суставов. МРТ в диагностике заболеваний голеностопного сустава применяется для выявления травм, новообразований, оценки состояния связок, хрящей, суставов при дегенеративных заболеваниях или …

Наружный геморрой

Наружный геморрой или геморрой — это заболевания, которые характеризуются наличием геморроидальных узлов вокруг анального отверстия. Это вызвано воспалением вен. Сегодня многие пациенты страдают от этой деликатной проблемы. Обнаружив симптомы, не откладывайте и откладывайте визит к врачу, так как это усугубит ситуацию. Поэтому как можно скорее следует посетить специалиста, который проведет необходимую диагностику и назначит соответствующее …

Кукуруза при сахарном диабете 2 типа

Львиная доля продуктов в меню диабетика — растительного происхождения. Овощи и злаки богаты клетчаткой и витаминами. Они содержат медленно перевариваемые углеводы и мало жира. Диабетики знают об ограничениях в употреблении крахмалистого картофеля, особенно в виде кулинарного блюда — картофельного пюре. Можно ли широко использовать кукурузный крахмал при диабете 2 типа в рационе? Кукурузные продукты: каша, …

Полезен ли Панкреатин при изжоге, гастрите и других заболеваниях ЖКТ?

Pancreatin был замечен гастроэнтерологами как самые востребованные меры для лечения пациентов с медицинскими жалобами. Мы предупреждаем читателей, чтобы они не путают название лекарства с аналогичным компонентом ферментаческих препаратов при различных торговых названиях (Creon, Festal, Enzistal, Mesim и другие). В этой статье мы обсудим, как использовать панкреатин в заболеваниях пищеварительной системы. Поджелудочная железа производит сок поджелудочной …