Архивы за месяц Август, 2025

2 сентября Землю ждут сильные магнитные бури

2 сентября на Земле прогнозируются сильные магнитные бури. Они будут вызваны новым выбросом солнечной плазмы в сторону планеты. Выброс произошел в результате вспышки уровня M2.76 на Солнце, сообщает лаборатория солнечной астрономии Института космических исследований (ИКИ) РАН. Солнечное вещество придет к орбите Земли в течение вторника, 2 сентября, вызвав магнитные бури уровня G2-G4. В ИКИ РАН …

Эрдоган вылетел в Китай для участия в саммите ШОС

Президент Турции Реджеп Тайип Эрдоган вылетел в Тяньцзинь Китайской Народной Республики (КНР) для участия в саммите Шанхайской организации сотрудничества (ШОС) и встречах с лидерами других государств. Об этом 30 августа сообщило агентство Anadolu. «Эрдоган отправился в китайский город Тяньцзинь для участия в саммите Совета глав государств ШОС», — говорится в сообщении. Отмечается, что турецкого лидера …

В Израиле в ответ на вопрос о гибели премьера хуситов анонсировали новые атаки

Армия обороны Израиля (ЦАХАЛ) в ответ на удары по территории своей страны будет атаковать хуситов из повстанческого движения «Ансар Аллах». Об этом 30 августа сообщил постоянный представитель Израиля в ООН Дани Данон в беседе с телеканалом Fox News. «Вчера мы продемонстрировали свои силы. Мы показали свои возможности. И это будет продолжаться до тех пор, пока …

Восстановление после тяжелых заболеваний: эффективные методы и советы

В жизни каждого из нас могут наступить моменты, когда здоровье внезапно даёт серьёзный сбой. Тяжёлые заболевания — это испытание не только для организма, но и для души. После таких болезней начинается долгий путь восстановления, который требует терпения, знаний и правильного подхода. В этой статье мы подробно поговорим о том, как возвращаться к полноценной жизни после …

Главное за неделю: «Лента» хочет купить гипермаркеты «О’КЕЙ» и магазины «Рив Гош», новый бренд Lamoda, Владислав Бакальчук в «М.Видео-Эльдорадо»

Фото: Лента Ретроспектива минувшей недели в обзоре самых важных и интересных новостей российского рынка.«Лента» рассматривает возможность приобретения гипермаркетов «О’КЕЙ». По информации осведомлённых источников, сделка находится на стадии необязывающего предложения (Non-Binding Offer, NBO), которое предполагает определение условий между продавцом и покупателем. Стоимость этой сделки может варьироваться в пределах от 40 до 55 млрд рублей. Владельцы «Рив …

Президент ПХК ЦСКА Игорь Есмантович в ходе общения с журналистами высказался о поддержке со стороны компании «Роснефть» и доверии к тренерскому штабу

 Президент ПХК ЦСКА Игорь Есмантович в ходе общения с журналистами по окончании презентации команды высказался о поддержке со стороны компании «Роснефть» и доверии к тренерскому штабу. — Поддержка компании «Роснефть» для нас очень важна. Вы видите это по приобретениям статусных игроков, которые к нам перешли и из североамериканских клубов, и из российских. Конечно, мы благодарны …

СВО: обстановка и главные события на 30 августа

Российские войска взяли под контроль населенный пункт Камышеваха в ДНР, сообщило Минобороны России. Украинские войска потеряли около 1390 военнослужащих за сутки, следует из сводки Минобороны России. Ночью ВС России нанесли массированный удар по предприятиям ракетной и авиационной промышленности, а также военным аэродромам Украины. ВС России с марта 2025-го освободили более 3,5 тысячи квадратных км и …

Подмосковье атаковали тарантулы

Огромных и волосатых пауков замечают владельцы дачных участков. Эксперты-арахнологи уточняют, что умереть от укуса южнорусских тарантулов нельзя — укус этого паука может болеть несколько дней, но серьезного урона он не несет. Источник: argumenti.ru

Заболевания зубов и десен: симптомы, причины и методы лечения

В каждом из нас есть страх перед походом к стоматологу – и это нормально. Но ведь болезни зубов и десен – это не приговор, если знать, как с ними бороться и, главное, как их избежать. Сегодня я расскажу тебе о самых распространённых проблемах зубов и десен, почему они возникают, какие симптомы должны насторожить и что …

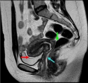
Эндометриоз на МРТ: как проходит обследование, что выявляет

Эндометриоз — распространенное заболевание у женщин детородного возраста. В диагностике используются лабораторные и инструментальные методы. Магнитно-резонансная томография при эндометриозе позволяет точно определить степень продвижения и площадь поражения. Описание и симптомы заболевания Эндометриоз — это доброкачественное разрастание ткани во внутреннем слое стенок матки. Изменения появляются в тканях яичников, маточных труб. Опасность заболевания заключается в следующем: разросшиеся …